Из этой статьи вы узнаете:
- что такое периодонтит – фото, схема,
- как он выглядит на рентгеновском снимке,
- симптомы и лечение периодонтита.
Периодонтит зуба – это заболевание, характеризующееся возникновением очага острого или хронического воспаления у верхушки корня зуба. Применительно к периодонтиту стоматологи часто используют термин «апикальный» – это и подразумевает локализацию воспаления именно у верхушек корней зубов (от латинского слова «apex» – верхушка).
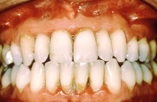
Апикальный периодонтит чаще всего возникает – 1) при отсутствии своевременной терапии пульпита, 2) как следствие некачественного пломбирования корневых каналов в прошлом. При периодонтите у верхушки корня зуба формируется так называемый «периодонтальный абсцесс», который поначалу может представлять из себя лишь очаг инфильтрации костной ткани вокруг верхушки корня зуба – гноем (рис.1). На данном этапе разрушения целостности кости еще не происходит, но все это сопровождается сильной болью – особенно при накусывании на зуб.
Но при отсутствии лечения – острый гнойный периодонтит может перейти в хроническую форму, при которой у верхушки корня зуба сформируется очаг хронического воспаления – в виде так называемых «гнойных мешочков» (рис.2-3). В таких очагах воспаления происходит разрушение костной ткани, а также волокон периодонта, обеспечивающих прикрепление зуба к кости. Хроническая форма периодонтита может годами протекать практически бессимптомно (пациенты иногда отмечают лишь периодический дискомфорт, возникающий при накусывании на зуб).
Апикальный периодонтит зуба: что это такое
Сравнение пульпита и периодонтита (схема 1) – при пульпите расположенный внутри зуба сосудисто-нервный пучок (пульпа) – является инфицированным, но при этом он все же еще сохраняет свою жизнеспособность. При периодонтите – пульпа полностью некротизирована и является источником инфекции для окружающих зуб тканей. Инфекция выходит в окружающие ткани через корневые каналы, которые открываются отверстиями в области верхушек корней зуба. Вокруг последних и формируются очаги воспаления при периодонтите. Так выглядят основные отличия пульпита от периодонтита.
Общие сведения
Периодонтит — это болезнь, для которой характерно распространение воспалительного процесса с десны на подлежащие ткани. Заболевание проявляется прогрессирующей деструкцией периодонта, а также ткани кости в межзубных перегородках.
Периодонт имеет небольшую толщину (только 0,2-0,25 мм), однако при воспалительном процессе в этой ткани человек страдает от очень сильных болей. К тому же у него расшатывается зуб и рассасывается ткань окружающей кости.
Токсическая форма
Есть несколько основных препаратов, которые вызывают токсический или медикаментозный периодонтит при попадании в ткани, окружающие зуб. Это мышьяк, трикрезол или формалин.
Сейчас такие случаи довольно редки, так как при лечении сложных стоматологических заболеваний используются более современные препараты.
Токсическая форма периодонтита практически во всех случаях протекает так же, как и острая. Симптоматика идентична, что вызывает большие сложности при диагностике:
- очень сильная чувствительность зуба и боль при нажатии, характер боли – почти всегда ноющая, длительная;
- ощущение, что зуб вырос и при этом сильно выдается из общего ряда;
- часто появляется подвижность (обычно первая, реже вторая степень).
Одним из специфических проявлений считается общее увеличение чувствительности со стороны, где располагается воспаление.
Одним из симптомов, который можно назвать общим, является неприятный запах, появляющийся в результате воспаления. Такое проявление является характерным практически для всех видов и форм заболевания.
Виды периодонтита
Специалисты подразделяют периодонтит на несколько разных видов. В зависимости от локализации недуга диагностика определяет верхушечный или апикальный периодонтит (в данном случае воспалительный процесс поражает область верхушки корня зуба), а также маргинальный (эта форма болезни предполагает поражение ткани периодонта вдоль корня зуба) и диффузный (поражается связочный аппарат в целом) периодонтит.
Классификация в зависимости от причины возникновения болезни определяет инфекционную, травматическую и медикаментозную формы заболевания. Инфекционная форма — результат поражения тканей периодонта патологическими микроорганизмами. Иногда так выражается обострение запущенного кариеса или пульпита.
Медикаментозный периодонтит – последствие попадания в периодонт лекарственных средств, агрессивно воздействующих на ткани. Такие лекарства применяются в процессе лечения зуба. В данном случае часто диагностируется и так называемый аллергический периодонтит. Травматический периодонтит проявляется как последствие острых и хронических травм зуба. Это может быть как удар или вывих, так и результат неправильного установления коронки.
Оценивая клиническую картину при периодонтите, специалисты выделяют острую и хроническую форму недуга. В свою очередь, острый периодонтит подразделяют на серозный и гнойный, а хронический – на гранулематозный, гранулирующий и фиброзный. Все эти формы имеют характерные особенности, которые можно рассмотреть даже на фото.
Из-за чего появляется?
При развитии всех видов периодонтита могут быть свои отдельные факторы, которые приводят к его возникновению и развитию. Именно по ним и идет дифференциация разных форм заболевания. Однако можно составить короткий общий список причин, охватывающий все характерные виды болезни.
В этом перечне указаны обе группы причин – инфекционные и неинфекционные.
- Недолеченный кариозный процесс.
- Несвоевременное лечение пульпита зуба – уже в той стадии, когда воспалительный процесс проникает в околозубные ткани из корневого канала.
- Плохо проведенная пломбировка каналов после лечения. Инфекция может развиться в той части, которая не была запломбирована. Практически всегда это верхушки корней.
- Протезирование при некачественно проведенной депульпации или пломбировке.
- Образование очень глубокого пародонтального кармана, который является «проводником» инфекции изо рта.
- Травма (возможно, просто удар), при которой повреждается нерв и сосудистый пучок в корне.
- Попадание инфекции из лимфы или крови.
- Постоянный травматический фактор. Например, это может быть привычка сильно зажимать что-либо между зубами или просто неправильно поставленная пломба, завышающая коронковую часть и создающая перманентное давление.
- Попадание в область периодонта различных сильнодействующих веществ, в основном лекарственного назначения.
Зачем производится шинирование зубов при пародонтите, и каких результатов можно в итоге добиться?
В этом обзоре вам расскажут, из чего складывается цена на адгезивный мостовидный протез.
Здесь: https://www.vash-dentist.ru/lechenie/desnyi/kyuretazh-parodontalnyih-karmanov-vidyi-osobennosti-provedeniya-i-otzyivyi.html — описана процедура проведения открытого кюретажа пародонтальных карманов.
Причины
Чаще всего периодонтит у детей и взрослых проявляется как последствие воздействия на организм инфекции. В более редких случаях причиной периодонтита становится травма либо влияние токсинов на организм. Если инфекция поражает пульпу настолько сильно, что та не может служить барьером для проникновения инфекции внутрь, то далее патологические процессы распространяются вглубь десны. Как следствие, бактерии легко проникают к верхушке зуба, поражая окружающие его ткани.
Наиболее часто в качестве возбудителей этого заболевания выступают стрептококки, в более редких случаях оно проявляется под воздействием стафилококков, пневмококков, а также других пагубных микроорганизмов. Они выделяют токсины, которые вместе с продуктами разложения пульпы оказываются в периодонте, попадая туда сквозь корневые каналы или образовавшийся зубодесневой карман. Кроме того, патологические микроорганизмы могут проникать туда гематогенным или лимфогенным путем.
Периодонтит иногда развивается в качестве осложнения вовремя не вылеченного кариеса либо пульпита.
Диагностика

- опрос врачом пациента;
- визуальный осмотр ротовой полости;
- зондирование входа в зуб;
- прохождение температурных тестов;
- пальпация (ощупывание);
- если присутствует подвижность, то определение ее степени.
Довольно большие сложности вызывает диагностика у детей, так как они часто не могут по разным причинам точно описать свои ощущения. В этом случае желательно сделать рентгеновский снимок.
Рентген при периодонтите делают не только детям, так как он четко показывает локализацию процесса и состояние тканей.
Симптомы
Симптомы периодонтита при острой форме болезни обуславливаются локализацией патологического процесса, а также проявлением защитных реакций, которые окружают пораженный участок тканей. Больной отмечает проявление умеренных болевых ощущений в области зуба, который был поражен. Болеть это место может как время от времени, так и постоянно. Иногда отмечается реакция на горячую пищу. Часто боль усиливается, когда человек надкусывает что-то на этот зуб. Когда тело пребывает в горизонтальном положении, может отмечаться ощущение «выросшего зуба», так как в лежачем положении усиливается отек и увеличивается давление в пораженном участке. Как следствие, больной часто не может полноценно высыпаться и принимать пищу, поэтому ощущает себя разбитым и уставшим. Однако при острой форме заболевания интоксикации организма не наблюдается. Внешние признаки, как правило, отсутствуют. Зуб может быть только слегка подвижным, а в коронке есть кариозная полость либо пломба, которую поставили недавно.
Если воспаление переходит в гнойную стадию, то симптомы становятся более выраженными. Человек уже практически постоянно ощущает интенсивную боль ноющего характера, ему сложно жевать. Часто при такой форме болезни человеку непросто сомкнуть челюсть из-за боли, поэтому он постоянно приоткрывает рот. У пациента на фоне воспалительного процесса повышается температура до субфебрильных цифр.
Больные острым периодонтитом ощущают постоянную слабость ввиду плохого сна, стресса и невозможности нормально есть. Проводя осмотр, можно выявить небольшой отек на месте поражения. Также отмечается увеличение и болезненность одного или нескольких лимфоузлов. При перкуссии зуба наблюдается проявление резкой боли. Зуб становится более подвижным. При установлении диагноза важна дифференциальная диагностика, так как некоторые симптомы являются характерными и для других заболеваний.
Хронический периодонтит иногда развивается, минуя острую стадию болезни. Но часто именно первоначальное обострение сменяется хроническим течением недуга. В некоторых случаях клиника заболевания является невыраженной. В таком случае симптомы отсутствуют, что и становится причиной несвоевременного обращения к врачу.
Хронический фиброзный периодонтит имеет вялое течение. Пациент не жалуется на боль, а если болевые ощущения и возникают, то и у детей, и у взрослых они имеют ноющий характер. Поэтому диагностировать эту форму заболевания легче всего по данным рентгенографии. В таком случае наблюдается наличие деформации (умеренное утолщение периодонта) вокруг верхушки корня зуба (апикальный периодонтит).
Гранулематозный периодонтит выражается появлением оболочки из соединительной ткани, которая выглядит как мешочек, прикрепляется к верхушке корня зуба и заполняется грануляционной тканью. Это образование называется гранулемой. Боль при такой форме недуга, как правило, отсутствует. Только во время надкусывания могут иногда появляться неинтенсивные болевые ощущения. Ввиду отсутствия симптомов больные могут длительное время не обращаться за помощью. Как следствие, состояние ухудшается, и со временем могут проявиться стадии обострения периодонтита, когда придется применять уже хирургическое лечение.
Течение гранулирующего периодонтита предполагает появление грануляционной ткани в периодонте. Данная форма заболевания является наиболее активной. Такая ткань растет очень быстро, поэтому со временем кортикальная пластинка альвеолы разрушается, и сформированные грануляции выходят наружу. Появляется открытый канал, через который выходит гной, который выделяется при гранулирующем периодонтите. Таких свищей бывает и несколько, причем через них в организм могут попадать микробы, и хроническое течение недуга усугубляется. Если свищевой ход закрывается, то гранулирующий периодонтит прогрессирует, и пациент страдает от сильных болей и отеков мягких тканей.
Для начала гранулирующей формы заболевания характерно появление периодических болей в десне, которые могут исчезать и появляться произвольно. Боль может становиться интенсивнее при надкусывании еды, в холоде, при простуде. Зуб немного двигается. При наличии свищей и гнойных выделений наблюдается неприятный запах.
При хроническом гранулирующем периодонтите периодически наблюдаются периоды обострения и ремиссии болезни. Обострение провоцирует проявление заметных симптомов, описанных выше, а при ремиссии боль или дискомфорт в области пораженного зуба проявляются незначительно. Свищевые ходы в это время могут закрываться.
Таким образом, каждая из форм периодонтита имеет собственные особенности течения. Все это необходимо учитывать при установлении диагноза, причем, очень важным моментом является дифференциальная диагностика. У людей в пожилом возрасте очень редко диагностируются острые формы заболевания. Но при этом как апикальный, так и маргинальный периодонтит может проходить у пожилых пациентов остро – с сильной болью, отеками и ухудшением общего состояния.
Травматический периодонтит протекает у пожилых людей хронически, так как болезнь развивается под действием постоянного травмирующего фактора. Как правило, это результат неправильного протезирования либо отсутствия большого количества зубов.
Отличия от пульпита
Не следует путать пульпит с рассматриваемым заболеванием. Они имеют существенное различие в локализации, несмотря на зачастую схожие симптомы.
Дело в том, что пульпит также является воспалительным заболеванием, однако все процессы протекают исключительно в пульпе зуба. Пульпой называют мягкие ткани, которые расположены внутри зубов.
При любой форме пульпита в близлежащих тканях не наблюдается совершенно никаких изменений, а зуб прочно держится в десне. Периодонтит может возникнуть, как осложнение пульпита, когда инфекция проходит вниз к верхушке корня и через корневые каналы выходит наружу.
Лечение
Если у пациента развивается острый периодонтит зуба, то изначально следует определить, целесообразно ли удаление зуба, или его следует сохранить. Если в причинном зубе целая коронка, проходимый канал корня, и определяются благоприятные условия для эндодонтической терапии, то зуб пытаются сохранить. В таком случае проводится раскрытие гнойного очага, после чего он опорожняется. Важно создать условия для оттока экссудата. Перед началом лечения практикуется проводниковое или инфильтрационное обезболивание.
Как правило, практикуется удаление временных зубов, зуба мудрости, коронковая часть которого сильно разрушена, а также тех зубов, которые оказываются сильно подвижными. Также удаляются те зубы, лечение которых оказывается неэффективным.
После удаления зуба образовавшуюся лунку нужно промыть антисептиками и сделать 2-3 новокаиновые блокады. Практикуется также полоскание антисептиками или отварами трав. Иногда назначаются физпроцедуры.
Общее лечение периодонтита необходимо проводить комплексно. Консервативное лечение предполагает применение анальгетиков, гипосенсибилизирующих препаратов, нестероидных препаратов с противовоспалительным эффектом. Современные методы лечения включают прием витаминов и иммуностимуляторов.
Как правило, течение острого периодонтита или обострение хронической формы болезни происходит с воспалением по нормергическому типу. Именно поэтому терапия антибиотиками и сульфаниламидами не практикуется.
Лечение антибиотиками проводят только в том случае, если развивается осложнение болезни, сопровождаемое интоксикацией организма, или отмечается вялая воспалительная реакция. Это позволяет предупредить распространение болезни на ткани, расположенные рядом. Если лечение периодонтита зубов было проведено своевременно и правильно, то человек полностью выздоравливает. Но если в ходе терапии были допущены грубые ошибки, или больной вообще не обращался к врачу, практикуя исключительно лечение народными средствами, то процесс может перейти в хроническую форму. Как следствие, цена такого промедления может быть очень высокой.
Лечение хронического периодонтита длительное. Однако иногда консервативная терапия является неэффективной и требуется хирургическое вмешательство. В данном случае наиболее радикальный метод – удаление зуба. После этого врач выполняет тщательный кюретаж дна лунки, чтобы полностью убрать части грануляционной ткани. Оставаясь, они могут стать причиной последующих воспалительных процессов, а также роста кист.
Практикуется также проведение некоторых зубосохраняющих операций. Это ампутация корня зуба, резекция верхушки корня зуба, реплантация, гемисекция или трансплантация зуба.
Травматическая форма
Эта разновидность также имеет две формы течения – хроническую и острую. Хроническая проявляется практически так же, как и общая инфекционная разновидность. Это несущественные болевые ощущения при надавливании или накусывании.
Более разнообразна по симптоматике острая форма, которая может появиться вследствие спортивной или какой-либо другой травмы. Практически всегда это либо перелом корня, либо вывих.
- Внезапно и беспричинно появляющаяся боль.
- Подвижность коронковой части.
- Неприятные ощущения, возникающие при смыкании челюстей.
- Окрашивание видимой (коронковой) части в светло-розовый цвет. Это происходит обычно при разрыве пульпы в области шейки и кровоизлияния. Позже возможно изменение светло-розового цвета на желтоватый.
Среди осложнений периодонтита есть много таких, которые приводят к удалению зуба. Поэтому при появлении даже незначительных симптомов следует обращаться в стоматологическую клинику.
Если вы нашли ошибку, пожалуйста, выделите фрагмент текста и нажмите Ctrl+Enter.
Теги периодонтит симптомы
Понравилась статья? Следите за обновлениями
Предыдущая статья
Бюгельный протез на верхнюю челюсть: особенности, достоинства, цены
Следующая статья
Все об удалении зуба под общим наркозом
Профилактика
Основной метод профилактики для предотвращения периодонтита – это своевременное устранения всех заболеваний, связанных с состоянием зубов. Правильный подход к санации полости рта позволяет предупредить развитие пульпита и кариеса, а, следовательно, и не допустить периодонтита. Если кариес все же поражает зуб, то необходимо как можно раньше вылечить его, так как периодонтит развивается, когда твердые ткани зуба разрушаются, и происходит гибель пульпы.
Важно уделить особое внимание рациону питания, включая в него как можно меньше сахаросодержащих продуктов и как можно больше необработанных овощей, фруктов, а также молочных продуктов. По возможности следует избегать любых травм зубов, чтобы избежать травматического периодонтита.
Не стоит забывать и о гигиене полости рта. Чистить зубы нужно вечером и утром, а после приема еды необходимо полоскать полость рта и использовать зубную нить. Особенно важно полоскать рот после сладких блюд и продуктов. Специалисты рекомендуют пить много жидкости, ведь обезвоживание может стать одним из факторов, способствующих развитию периодонтита.
Первая помощь в домашних условиях
В домашних условия воспаление периодонта вы не вылечите – обязательно обращайтесь за квалифицированной врачебной помощью. Что можно сделать дома – так это унять боль и облегчить свое состояние. Примите обезболивающее – подойдет ибупрофен или парацетамол. Затем осторожно почистите зубы нейтральной пастой (без абразивных частиц, мятных добавок), прополощите рот содой.
Не нужно обматывать больную щеку платком – как минимум это не поможет, а как максимум сделает только хуже. И не тяните с обращением к врачу – воспалительный процесс сам по себе не пройдет, а со временем только начнет усиливаться.
Греть область, в которой расположен больной зуб, ни в коем случае нельзя.
Осложнения
При периодонтите у больного могут наблюдаться осложнения общего характера. Это, признаки общего отравления организма, постоянные головные боли, ощущение слабости, повышенная температура тела. В качестве осложнений могут впоследствии развиваться аутоиммунные болезни сердца, суставов, почек. Такие процессы происходят из-за стабильного увеличения в организме больного клеток системы иммунитета, которые впоследствии могут уничтожать клетки своего организма.
Частыми осложнениями являются кисты, свищи, реже у больных могут развиваться абсцессы, остеомиелит челюсти, флегмона шеи. Вследствие открытия свища в гайморову пазуху туда могут попадать гнойные выделения, что способствует развитию гайморита.
Влияние вредных привычек
Вредные привычки также могут оказывать постоянную усиленную нагрузку. Или привести к образованию трещины, скола, уходящих в зубной корень. Раздвоенный зуб травмирует ткани периодонта и вызывает их воспаление. К вредным привычкам относятся удерживание в зубах курительного мундштука, гвоздей, откусывание ногтей, ниток, разгрызание семечек, орехов.
Трещины на зубах из-за вредной привычки грызть семечки и орехи
Если периодонт поврежден или значительно разрушен во время патологического рассасывания пародонта, даже обычная нагрузка при пережевывании пищи или чистке зубов станет травмирующей.
Отзывы
Всегда боялась стоматологов, поэтому состояние зубов запустила. Периодонтит был тяжелый, обратилась при появлении сильных болей. Лечилась около месяца, несколько раз прочищали каналы, ставили 2 временные пломбы. Сейчас все нормально.
Алина, 32 года
Мне периодонтит вылечили за один сеанс. Обратился сразу, не стал ждать ухудшения. Пришлось еще неделю принимать антибиотики и полоскать рот раствором, но осложнений не было.
Михаил, 27 лет
У меня периодонтит протекал скрыто, на признаки внимания не обращал. Спасти зуб не удалось, но соседние болезнь не затронула. Более 6 недель лечился, принимал антибиотики, обезболивающие. Обошлось без осложнений.
Александр, 45 лет
Хроническая гранулирующая разновидность
При хроническом виде образуется свищ в полости рта, на шее или в носовой полости. Именно через него вытекает гнойная жидкость. Благодаря ее оттоку притупляются боли. Они слегка усиливаются при давлении на зуб.
При гранулирующей разновидности внутри поврежденного зуба ощущается распирание и дискомфорт. Наблюдается покраснение участка десны вокруг зуба. Соединительная ткани периодонта заменяется на грануляционную. На рентгене дефект имеет нечеткие контуры. Размер периодонтального «кармана» около апикального отверстия колеблется от одного до восьми миллиметров.
Как проводится терапия?
Выявить степень патологического процесса позволяет рентгенография или компьютерная томография. Поэтому лечение периодонтита и цена зависят от формы протекания и степени запущенности. На начальной стадии острого типа выполняется расширение канала корня, его очистка, устранение отмерших тканей. Затем устанавливается временная пломба и, если контрольная рентгенография показывает улучшение динамики, ‒ постоянная. При появлении гноя назначается антибиотикотерапия. Чтобы подавить инфекцию и ускорить регенерацию тканей, прописывают магнитотерапию или лечение лазером. Если зуб частично разрушен, но сохранен, требуется реставрация, поэтому стоимость лечения может возрасти.
Хронические гранулематозная и фиброзная разновидности
Гранулематозная разновидность сопровождается образованием гранулемы — разрастанием воспаленных клеток в виде узелков маленького размера. Грануляционная полость окружает ткани периодонта. В отдельных случаях через полость может прорастать фиброзная ткань. На рентгене очаг воспаления имеет четкие границы. Эта разновидность может осложниться появлением кисты около корня зуба – полой опухоли, наполненной жидкостью.
Гранулематозный периодонтит
При фиброзной разновидности наблюдается равномерное разрастание тканей периодонта. Болевые ощущения отсутствуют, изо рта пахнет гнилостью. Периодонтальный «карман» сильно деформирован.
Место локализации и интенсивность распространения
Помимо вышеперечисленных классификаций различают два вида заболевания по месту локализации: апикальный и маргинальный. В первом случае очаг воспаления локализуется около апикального отверстия. Обычно такой вид называют верхушечный периодонтит. Если воспалительный очаг захватил часть или весь зубной корень, значит, начался маргинальный периодонтит.
По интенсивности распространения патологии разделяют единичный и множественный виды. При единичном виде наблюдается поражение периодонта в районе одного зуба. При множественном – воспаление захватывает несколько зубов.
С классификацией периодонтита по ВОЗ можно ознакомиться в таблице:
Классификация периодонтита по ВОЗ
Если вам есть, что добавить, оставьте, пожалуйста, комментарий.
Поддержите, пожалуйста, наш сайт лайком и поделитесь статьей с друзьями.
Общие понятия
Чаще всего периодонтит развивается из пульпита – воспаления зубного нерва, либо из-за некачественного пломбирования каналов уже пролеченной зубной коронки.
Дополнительные признаки
Цвет эмали меняется, становясь темно серым, иногда с синим или фиолетовым отливом. Изо рта начинает плохо пахнуть, прикосновение к увеличенным лимфатическим узлам под челюстью болезненно.
В некоторых случаях отекают ткани лица и десен. Выделение гноя часто сопровождается признаками отравления: слабостью, диареей, тошнотой, рвотой, нарушением сна, ознобом, увеличением температуры. Патология длится одну-две недели, а потом принимает хроническую форму.
Гранулирующий периодонтит