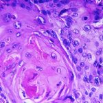
Плоскоклеточный рак, или плоскоклеточная карцинома – это гистологический тип злокачественных опухолей, такой диагноз устанавливают по результатам биопсии после исследования образца опухолевой ткани под микроскопом. Новообразование формируется из плоских клеток эпидермиса, которые выглядят как чешуйки. Оно может возникать на коже, в полости рта, в гортани, трахее, бронхах, пищеводе, на половых органах, в прямой кишке.
В Европейской онкологической клинике диагностикой и лечением плоскоклеточного рака занимаются врачи экспертного уровня, за плечами которых обширный опыт работы в ведущих онкологических центрах Москвы. С пациентом работает команда, в которую входят онкологи, дерматоонкологи, хирурги, химиотерапевты, радиотерапевты и другие специалисты. Мы применяем инновационные методы лечения, препараты последних поколений, проводим противоопухолевую терапию в соответствии с ведущими международными рекомендациями. Европейская онкологическая клиника – первый российский частный онкологический центр, в котором можно получить эффективное паллиативное лечение на поздних стадиях, даже в случаях, когда от пациента отказались в других клиниках.
- Причины возникновения плоскоклеточного рака
- Какие бывают виды плоскоклеточного рака?
- Виды диагностики заболевания
- Лечение плоскоклеточного рака
- Прогноз выживаемости при плоскоклеточном раке
- Профилактика
Плоскоклеточный рак кожи. Что это?
Классификация видов плоскоклеточной карциномы шейки матки
Классификация зависит от степени дифференциации патологии. В медицинской практике могут встречаться виды:
- Высокодифференцированный рак (карцинома) – тип рака, при котором атипичность клетки минимальна.
- Умереннодифференцированный рак – представляет собой промежуточный этап между высоко дифференцируемой карциномой и низко дифференцируемой. При этом возникает ситуация, когда сложно установить первоначальное место очага патологии в связи с тем, что наблюдается различная клеточная структура.
- Низкодифференцированный рак – различие между здоровой и атипичной клеткой наблюдаются на тканевом и клеточном уровнях. При формировании онкологии по низкодифференцированному виду можно делать самый худший прогноз выживаемости для пациента.
Применяют классификацию видов:
- Плоскоклеточный ороговевающий рак шейки матки – при этом виде низкодифференцированной карциномы наблюдается повышенная агрессивность по отношению к организму пациентки. Скопление очагов атипичных клеток развивается с тенденцией к ороговению клеток эпителия, расположенного под ним.
- Плоскоклеточный неороговевающий рак шейки матки – меньшая агрессивность. Эпителий под очагами не переживает этап с ороговением. Развитие происходит без ороговения эпителия.
Для плоскоклеточного рака шейки матки характерны две формы:
- Инвазивный рак. Форма сопровождается острым воспалительным процессом при проникновении новообразования через стенки шейки матки в полость органа, прилегающую ткань.
- Неинвазивная форма рака – опухоль не покидает пределы шейки матки пациентки.
- Микроинвазивный.
Формы плоскоклеточного рака кожи

- Бляшечная форма — данный вид поражения кожи внешне выглядит как резко окрашенная область с выделяющимся над поверхностью тела, на которой могут быть заметны даже невооруженным глазом небольшие по размеру бугорки. На ощупь область шероховатая, кожа становится более плотной, чем в других областях, а скорость разрастания у нее достаточно большая. По мере развития бляшечной формы рака происходит ее прорастание в ткани соседних областей, возможно появление кровоточивости и выраженной болезненности;
- узловая форма — внешне такой вид плоскоклеточного рака напоминает большое скопление узелков различного размера, при большом их скоплении внешняя часть пораженной ткани напоминает соцветие цветной капусты. На ощупь плоскоксть такого новообразования плотная, цвет выраженный коричневый, основание его значительное, а верхняя часть бугристая. Часто узловая форма рассматриваемой разновидности онкологического заболевания возникает в местах расположения рубцом и места старых травм.
- язвенная форма — для этого типа злокачественного поражения поверхности кожи характерно появление на верхнем слое эпидермиса кратероподобных язв, которые немного приподняты над поверхностью тела, края имеют вид валика, а углубление плавно опускается вниз. Язвы имеют свойство быстро разрастаться, и рост их наблюдается и в ширину, и в более глубокие слои эпидермиса. Характерной особенностью данной формы плоскоклеточной разновидности онкологии является появление специфического запаха — именно этот симптом должен насторожить и стать поводом для обследования поверхности всего тела. При надавливании на поверхности кратерной язвы могут появляться кровянистые выделения.
Мнение эксперта
Сакания Луиза Руслановна
Врач-дерматовенеролог, врач-косметолог, трихолог
Все перечисленные виды данной разновидности онкологии имеют общую специфику: скорость их распространения очень велика, поэтому для возможно быстрого излечения следует обратиться к врачу при малейших изменениях в состоянии кожи.
Также следует отдельно выделить условное разделение плоскоклеточного рака на неороговевающий дифференцированный рак, который имеет свойство образовываться из клеток, которые не подвергаются ороговеванию, и ороговевающий вид.
- Неороговевающий тип может быть высокодифференцированным, который распространяется не слишком быстро, поскольку в организме появляется небольшое количество атипичных клеток.
- Низкодифференцированный неорговевающий плоскоклеточный тип заболевания развивается быстро, число агрессивных атипичных клеток в организме много.
- Ороговевающий дифференцированный рак кожи рассматриваемой формы сложнее диагностируется, поскольку новообразования не имеют выраженной окраски, а скорость его разрастания достаточно велика.
Характеристика патологии по стадиям развития
Любой злокачественный онкологический процесс состоит из 4-х стадий развития. Каждый из этапов развития имеет чёткую характеристику и отличительные черты от предыдущих стадий размерами опухоли и вероятностью метастазирования организма. Первый этап наиболее восприимчив к лечению, последний неизлечим.
Переходный этап
Переходный этап мутации клеток от здоровых к атипичным носит название интраэпителиальной неоплазии. При этом отсутствует сформированное новообразование, а изменившиеся клетки выстилают поверхностный слой ткани.
Первая стадия онкологического процесса
G1. Первая стадия онкологического процесса начинается с момента разрастания атипичных клеток и консолидации в онкологический очаг (опухоль) размерами, не превышающими 4 сантиметров. Происходит поражение слизистой оболочки шейки матки – опухоль разрастается и проникает вглубь повреждённой ткани. Однако за границы цервикального канала не выходит. Отсутствуют признаки метастазирования.
На первой стадии при проведении своевременных лечебных процедур вероятность полного излечения составляет 95%. При этом возможно сохранить репродуктивные функции женщины.
Вторая стадия онкологического процесса
G2. На второй стадии происходит распространение онкологического процесса внутрь полости матки. Страдает внутренний эпителий маточного тела (основной репродуктивный орган), но при этом не затрагиваются ткани влагалища и органов малого таза. Метастазирование организма не происходит. Лимфатические узлы не повреждены.
Но при распространении онкологического процесса, характерного для второй стадии, вероятность выживаемости в долгосрочной перспективе и сохранения здоровья сокращается до 75%.
Третья стадия онкологического процесса
G3. Опухоль демонстрирует значительный рост в размере. Появляются первые метастазы в лимфатической системе местных органов. Начинается поражение тканей влагалища и органов малого таза, мочеполовой системы женщины.
Прогноз выживаемости и излечения от недуга сокращается до уровня в 35%.
Четвёртая стадия онкологического процесса – термальная
G4. При запущенной форме карциномы шейки матки начинают формироваться метастазы в отдалённых и ближних органах, повреждены ткани влагалища и органов малого таза. Распространение метастазов вызывает полиорганную недостаточность, в том числе дисфункцию жизненно важных органов человеческого организма. Метастазы проникают в:
- печень;
- почки;
- лёгкие;
- сердце;
- головной мозг.
В зависимости от локализации метастазов развивается сопутствующая патология, относящаяся к повреждённому метастазами органу.
Происходит распад опухоли, пациентка начинает наблюдать признаки общей интоксикации организма. Появляются такие симптомы, как повышение температуры, тошнота, рвота. Происходит дисфункция центральной нервной системы.
Прогноз выживаемости при термальной стадии составляет 5%.
Причины развития патологии

- Повреждении клеточного ДНК под влиянием определенных факторов, вследствие чего возникает мутация гена «ТР53», которым кодируется белок «р53». Последний как регулятор клеточного цикла предотвращает опухолевую трансформацию клеток. «ТР53» является одним из основных генов, участвующих в блокировке развития злокачественных новообразований.
- Расстройстве функций иммунной системы, направленной против опухолевых образований (противоопухолевый иммунитет). В организме человека постоянно возникают множество клеточных мутаций, которые распознаются и уничтожаются клетками иммунной системы — макрофагами, Т- и В-лимфоцитами, натуральными киллерами. За формирование и функционирование этих клеток также отвечают определенные гены, мутация в которых снижает эффективность противоопухолевого иммунитета и может передаваться по наследству.
- Нарушении канцерогенного метаболизма. Его суть заключается в мутации генов, регулирующих интенсивность функции определенных систем, которые направлены на обезвреживание, уничтожение и быстрое выведение из организма канцерогенных веществ.
Благоприятным фоном для развития плоскоклеточного рака кожи служат:
- Возраст. Среди детей и молодежи заболевание встречается крайне редко. Процент заболевших резко возрастает среди лиц старше 40 лет, а после 65 лет эта патология встречается достаточно часто.
- Тип кожи. Заболеванию больше подвержены люди с голубыми глазами, рыжими и светлыми волосами и со светлой кожей, плохо поддающейся загару.
- Мужской пол. Среди мужчин плоскоклеточный рак развивается почти в 2 раза чаще, по сравнению с женщинами.
- Длительное снижение общего иммунитета.
Рак может развиваться и на клинически здоровой коже, но значительно чаще — на фоне веснушек, телеангиоэктазий и остроконечных кондилом, предраковых заболеваний, в области рубцов, сформировавшихся в результате ожогов и лучевой терапии, после которых рак может возникать даже через 30 и более лет, посттравматических рубцов, трофических изменений кожи (при варикозной болезни) и т. д.
Основные факторы заболевания
- Ультрафиолетовое излучение при интенсивном, частом и длительном его воздействии — солнечные ванны, ПУВА-терапия с псораленом, проводимая в целях лечения псориаза а также десенсибилизации при аллергии на солнечные лучи. УФ лучи вызывают мутацию гена «ТР53» и ослабляют противоопухолевый иммунитет организма.
- Ионизирующее и электромагнитное виды излучения.
- Длительное влияние высоких температур, ожоги, механическое длительное раздражение и повреждение кожи, предраковые дерматологические заболевания.
- Местное воздействие на протяжении длительного времени (в связи со спецификой профессиональной деятельности) канцерогенных веществ — ароматических углеводородов, сажи, каменноугольной смолы, парафина, инсектицидов, минеральных масел.
- Общая терапия глюкокортикоидными препаратами и иммунодепрессантами, местная терапия препаратами мышьяка, ртути, хлорметилом.
- ВИЧ и папилломавирусная инфекция 16, 18, 31, 33, 35, 45 типов.
- Нерациональное и несбалансированное питание, хроническая никотиновая и алкогольная интоксикация организма.
Мнение эксперта
Сакания Луиза Руслановна
Врач-дерматовенеролог, врач-косметолог, трихолог
Прогноз без лечения неблагоприятный — частота развития метастазов составляет в среднем 16%. Их них в 85% метастазирование происходит в регионарные лимфатические узлы и в 15% — в костную систему и внутренние органы, чаще всего в легкие, что заканчивается всегда летальным исходом.
Наибольшую опасность представляют собой опухоли головы и кожи лица (поражается в 70%), особенно плоскоклеточный рак кожи носа (спинка носа) и новообразования, локализованные в области лба, в носогубных складках, периорбитальных зонах, в области наружного слухового прохода, красной каймы губ, особенно верхней, на ушной раковине и за ней.
Определение
Плоскоклеточный рак представляет собой развивающееся в эпителии либо слизистой новообразование злокачественного свойства. Это относительно редкая форма онкозаболевания (порядка 25 процентов от всех случаев) и характеризуется высокой агрессивностью протекания.
Развиваясь в эпителиальных тканях, опухоль распространяется на прилегающие лимфатические узлы и способна проникать в рядом находящиеся здоровые места. В ходе отсутствия лечения, на фоне плоскоклеточного рака возможно развитие полиорганной недостаточности, ведущей к летальному исходу.
Стадии плоскоклеточного рака кожи
Стадий заболевания четыре. Для точного определения стадии существует система TNM. Комбинация признаков в этой системе дает основание отнести плоскоклеточный рак кожи к какой-либо стадии. Самой начальной стадией считается нулевая или первая. Через нулевую стадию опухоль может и не проходить. От определения стадии зависит прогноз на эффективность лечения и выживаемость.
- Начальная (первая и нулевая) стадия лечится достаточно легко и эффективно. Однако, расположение очага может быть труднодоступным. В таких областях, как в ушной раковине, человек сам может вовремя не заметить заболевание, что приведет к быстрому прорастанию в хрящ и переходу в третью стадию. В области глаза плоскоклеточный рак кожи способен быстро прорасти в глазницу, что предельно затрудняет лечение и приводит к потере зрения. Встречаются и проблемы, связанные с длительным ожиданием медицинской помощи, сдачей множества дополнительных обследований и очередями.
- До второй стадии люди выращивают опухоль сами, либо под присмотром врачей. В последнем случае врачи проводят лечение от воспалительных заболеваний кожи, лучевого дерматита, трофических язв, проводят «пластику рубцов». В условиях труднодоступной квалифицированной медицинской помощи в России, экономии на всем в системе ОМС, такое — не редкость.
- Третья стадия может быть установлена, когда плоскоклеточный рак кожи прорастает в хрящ или кость, поражает регионарный лимфоузел или дорастает до размеров свыше 5 см. Прорастание в хрящ чаще всего случается в ушах и на носу. Свыше 5 см люди любят выращивать опухоли на спине и на животе.
- В четвертую стадию плоскоклеточный рак кожи переходит в случае метастаза во внутренние органы, отдаленные лимфоузлы. Однако, чаще всего – из-за отказа в хирургическом лечении по причине тяжелого общего состояния человека (противопоказание к наркозу). Для того, чтобы не допустить перехода в четвертую стадию наиболее рационально лечиться при помощи криодеструкции. Ее можно проводить пациентам в любом состоянии, она не требует наркоза.
Причины
Как и в случае с иными злокачественными образованиями, точных причинно-следственных связей наукой не установлено. Вероятно, наиболее сильным фактором возникновения выступает угнетение защитного функционала организма человека, а также воздействия ряда внешних факторов. К ним можно отнести:
- Предрасположенность к заболеванию на генетическом уровне.
- Воздействие ультрафиолета на эпителий и слизистые.
- Активный прием пациентом иммуносупрессоров.
- Воздействие ионизирующего радиоактивного излучения.
- Курение табака либо прием алкогольных напитков.
- Нарушение режима питания.
- Работа на вредных производствах.
- Высокий уровень загрязнения окружающего воздуха.
- Воздействие различных инфекций и вирусов.
- Возрастные характеристики пациента.
Разберем основные из факторов более подробно:
Генетическая предрасположенность к заболеванию выявлена рядом специалистов. Проявляется она на уровне нарушений в механизме защиты от новообразований клеток эпителия. Как правило, в теле человека у каждой клетки имеется антионкоген, который «ответственен» за защитные функции.
В случае, если у генома клеточного типа не наблюдается нарушений, то тогда он находится в неактивном состоянии, предохраняя при этом клетки от повреждений. Если же наблюдается нарушение генома ДНК, то в этом случае ген активизируется, полностью выполняя защитные функции.
В случае генетических нарушений происходят мутации антионкогена, в результате чего он перестает выполнять свою функцию.
Мутация геномов передается, если человек имеет предрасположенность к развитию плоскоклеточного рака либо иной формы онкологического заболевания.
Воздействие ультрафиолетового излучения также отрицательно сказывается на организме, способствует развитию плоскоклеточного ракового заболевания. Связано это с тем, что происходит воздействие на геном человека, приводя к мутациям на генетическом уровне и, как результат, ослаблению защитных функций антионкогена.
Оказываемое воздействие излучения способно привести к тому, что ослабленный противоопухолевый иммунитет не может гарантировать защиту от злокачественных клеток и происходит развитие заболевания.
Иммуносупрессоры способны стать причиной появления плоскоклеточного рака. Такие медпрепараты, как меркаптопурин, а также азатиоприн, могут угнетать защитные свойства организма, в том числе и функцию противоопухолевой генетической защиты. Прием препаратов сам по себе или в совокупности с другими факторами, влечет за собой развитие плоскоклеточного рака.
Ионизирующее радиационное облучение, включая гамма-излучение и рентгеновское облучение, также приводит к повреждению генетического аппарата человека. Здесь мутация клеточной ткани и генома происходит в активной фазе, и противоопухолевый иммунитет предельно ослабляется.
Вероятность развития рака в данном случае возрастает в несколько сотен раз, и плоскоклеточная форма заболевания не является исключением.
Курение табака и воздействие алкоголя. Данные факторы способствуют снижению иммунитета и являются своеобразным «поставщиком» в организм канцерогенов, которые вкупе с иными факторами могут разрушить иммунную систему и вызвать изменение формы генома.
Неправильное питание также является дополнительным фактором, увеличивающим риск возникновения плоскоклеточного рака. Дело в том, что баланс питательных веществ, которые поступают в организм, прямо влияет на функционирование иммунной системы.
Сбои в системе питания провоцируют общее снижение генетического механизма иммунной защиты и могут служить дополнительным фактором, увеличивающим вероятность образования опухоли. Также негативное воздействие оказывает обильное употребление жиров животного происхождения.
Еще одним серьезным фактором, повышающим риски появления плоскоклеточного рака, является работа на вредном производстве. Оказываемое в подобной ситуации негативное воздействие вызывается канцерогенами, а именно их длительным воздействием на организм.
Оно оказывается гораздо более губительно для клеток иммунной системы, нежели единовременно оказанное влияние и способно практически полностью разрушить защитные функции, вызвав мутацию антионкогенов.
Сходное воздействие оказывается и при сильной загрязненности окружающего воздуха.
Фактором, побуждающим развитие плоскоклеточного рака, выступает наличие различных инфекций в организме человека. Развитие заболевания может быть обусловлено:
Наличием вируса папилломы человека. Он способствует возникновению в организме ряда доброкачественных опухолей в слизистых и эпителии (папиллом и кондилом). Их распространение вкупе с активным размножением вируса благоприятствует изменению кода ДНК и ослаблению защиты организма.
Присутствием ВИЧ. В виду того, что вирус поражает клетки, составляющие иммунную систему, он является основным элементом, способным привести к появлению онкологических новообразований.
Еще одной причиной, в ходе которой существенно возрастает риск заболеть онкологией, является возраст человека. Плоскоклеточный рак чаще всего возникает у людей, чей порог биологического возраста перешел за черту в 65 лет.
Ученые объясняют это снижением в процессе старения защитных свойств эпителия и общим состоянием организма, при котором практически отсутствуют естественные барьеры на пути развития заболевания.
Заболевания-предшественники
Существует целый ряд заболеваний, которые специалисты относят к предраковым. По сути, они не считаются болезнями онкологического характера, но именно эти болезни существенно повышают риски развития плоскоклеточного рака.
Условно предраковые заболевания подразделяют на две категории – облигатные и факультативные. К ним относятся болезни кожи, которые в случае отсутствия лечения способны трансформироваться в злокачественные образования.
Облигатные
К облигатным предраковым заболеваниям относят:
- Пигментную ксеродерму. Она встречается достаточно редко и носит наследственный характер. Следует отметить, что передается она новорожденному младенцу только если ген дефектного типа имеется в организме обоих родителей. Болезнь проявляется у ребенка в возрасте от двух до трех лет.
Наблюдается покраснение кожи, эпидермис, могут появляться на открытых частях тела образования, напоминающие бородавки. Связано это с тем, что клетки кожи не имеют достаточной устойчивости к воздействию ультрафиолета.
- Болезнь Боуэна. Заболевание возникает при длительном воздействии негативных факторов, включая хроническую травматизацию, долговременное нахождение под солнцем, а также воздействие на кожу канцерогенных соединений (скажем, на химических производствах).
Проявляется посредством одного или нескольких пятен красного цвета, которые располагаются на туловище человека. В случае развития болезни возможно изъязвление покрасневших участков, их шелушение.
- Болезнь Педжета. Это заболевание, относящееся также к предраковым, характерно для женщин. Наблюдаются покраснения в районе наружных половых органов и подмышек с четкими границами. Поверхностная часть образований может шелушиться или иметь высокую влажность. В течение нескольких лет данные области способны перерождаться в плоскоклеточную форму раковой опухоли.
Факультативные
Факультативные предраковые болезни не ведут непосредственно к образованию злокачественных новообразований, но они способствуют возникновения риска заболевания онкологией. К таким болезням относят:
- Старческий кератоз. Болезнь характерна для пожилых людей, она развивается на участках тела, не защищенных одеждой, в результате воздействия на кожу ультрафиолетового излучения. Симптомы болезни — это образование бляшек красного цвета, размер — от нескольких миллиметров до сантиметра. Риск возникновения плоскоклеточного рака при болезни составляет порядка 25 процентов.
- Кожный рог – патологическое утолщение роговой части эпидермиса с отложением роговых масс, похожих на чешуйки. Переход в раковую стадию происходит в 7-15 процентах случаев.
- Кератоакантома. Болезнь наблюдается у пациентов старше 60 лет. Переход в стадию рака относительно редок.
- Контактный дерматит, возникающий от воздействия на кожу косметических и химических веществ. Способен при длительном присутствии вызывать нарушения в клеточном слое кожи и, как результат, провоцировать появление раковых образований.
Симптомы заболевания
Одним из первых симптомов болезни может выступать красноватое или белое пятно (бородавка или выпуклость), которое образовалось на коже само по себе. Пятно может быстро увеличиваться в размерах. В других случаях новообразование может иметь вид раны с выпуклыми краями, которая долго не заживает и кровоточит в течение нескольких недель. Иногда плоскоклеточный рак может иметь вид сухого, шершавого пятна, покрытого ороговевшими чешуйками кожи. Обычно формируется единичный очаг поражения, но иногда бывают и множественные очаги.
Плоскоклеточный рак развивается в двух формах: экзофитной; эндофитной. В первом случае опухолевое новообразование возвышается над уровнем нормальной кожи, имеет широкое основание и плотную консистенцию. Иногда опухоль покрывает слой ороговевших частиц кожи. При эндофитной форме рака (язвенной) первоначальный очаг быстро подвергается изъязвлениям.
На периферии язвы кратерообразной формы могут образовываться вторичные элементы, которые постепенно распадаются и сливаются с основным очагом. Опухоль начинает внутренний и внешний рост, разрушая окружающие ткани (кости, сосуды). Если клетки раковой опухоли поражают лимфатические узлы, то те сначала уплотняются, затем становятся неподвижными, прирастают к коже и вызывают болевые ощущения.
Встречается ороговевающий и неороговевающий рак плоскоклеточного типа. Первый тип иногда имеет вид очень плотного образования, напоминающего частицу ногтя (медики называют такое образование кожным рогом). Общим симптомом для всех новообразований плоскоклеточного типа является их стремительное развитие.
Мнение эксперта
Сакания Луиза Руслановна
Врач-дерматовенеролог, врач-косметолог, трихолог
Боли возникают в результате вторичного инфицирования очагов. Плоскоклеточный рак достаточно быстро даёт метастазы – обычно они возникают, когда опухоль достигает более 2 см в диаметре.
Как и любая другая разновидность онкологического заболевания, плоскоклеточный рак имеет 4 стадии развития:
- на 1 стадии первичный очаг не превышает диаметра 2 см, новообразование распространяется только на поверхностные участки кожи, а сама опухоль практически безболезненна;
- на 2 стадии размеры превышают 2 см, новообразование проникает во все слои кожи, но близлежащие ткани ещё не поражены (на данном этапе может появиться одиночный метастаз в близлежащем лимфатическом узле);
- 3 стадия характеризуется значительным увеличением размеров, опухоль поражает соседние ткани, но пока не достигает костной и хрящевой ткани (для этого этапа характерно наличие отдалённых метастаз);
- на 4 стадии плоскоклеточный рак проникает в кости и хрящи, диагностируются множественные метастазы в отдалённых участках тела.
Симптомы
Самый распространенный тип — узелковый. Для него характерно безболезненное течение патологии. Сначала появляется несколько бугорков до 3 мм, которые имеют желтый цвет. Затем размер увеличивается, а внутри развивается углубление, прикрытое коркой из кожи. При удалении начинается кровотечение. Инфильтративный тип внешне напоминает узелок, который постепенно растет. Через 5 месяцев появляются язвы с приподнятыми краями. Они болят и кровоточат при прикосновении. Появляется неприятный гнилостный запах. Бляшечный рак быстро развивается и заражает другие ткани. Выглядит как красный болезненный бугорок.
Диагностика
Первичный осмотр проводится при помощи дерматоскопа – оптического прибора, который позволяет получить увеличенное изображение пораженного участка кожи и просветить верхний слой ороговевшей кожи. Для проведения диагностики данного типа рака применяется три основных метода:
- гистологическое исследование — для этого под микроскопом изучается взятый небольшой кусочек ткани, и это исследование позволяет определить как наличие атипичных клеток в ткани, так и принадлежность их к определенному типу злокачественного новообразования;
- цитологический соскоб — здесь также исследуется ткань, взятая метолом соскоба с поверхности язвы или ранки;
- лабораторные методы.
Мнение эксперта
Сакания Луиза Руслановна
Врач-дерматовенеролог, врач-косметолог, трихолог
Сочетание этих методов позволяет определить как вид злокачественной опухоли, так и стадию ее развития.
Типы
Плоскоклеточный рак имеет несколько типов, в зависимости от которых изменяется симптоматика и подходы к лечению. К основным типам такого рака относят:
- Акантотический. Этот гистологический тип рака чаще всего встречается у людей пожилого возраста. Характеризуется высокой частотой метастазирования в результате ослабления имунной функции генома человека в силу возрастных изменений.
- Боуэноидный. Боуэноидный тип рака отличается отсутствием роговых образований, характерных для иных форм заболевания. Также при данном типе наблюдается выраженный дискератоз.
- Веретеноклеточный. Этот тип схож с саркомой и обладает наиболее активным среди плоскоклеточных раков метастазированием как в соседние, так и удаленные органы, а также лимфатические узлы. Рост опухоли ярко выражен.
Лечение
При лечении плоскоклеточного рака кожи применяется комплексный подход, который может сочетать несколько методов терапии, основным из которых становится хирургия. После проведения хирургической операции, которая подразумевает удаление опухоли в пределах здоровых тканей, применяется высокоточная лучевая терапия IMRT и электронотерапия. В некоторых случая пациентам показана химиотерапия и/или таргетная терапия. Выбор метода лечения плоскоклеточного рака кожи зависит от стадии, локализации, распространенности процесса, наличия метастазов, возраста и общего состояния больного.
Электрокоагуляция, кюретаж, криодеструкция чаще используются при мелких и множественных опухолях, однако последняя не применяется при расположении опухоли на волосистой части головы. Лечение плоскоклеточного рака кожи подразделяется на несколько основных вариантов.
Это может быть: хирургическое лечение (включая метод Моса), лучевая терапия, криодеструкция и фотодинамическая терапия.
Хирургическое лечение и метод Моса
Хирургическое лечение используется наиболее часто. Оно дает возможность избавиться не только от очага плоскоклеточного рака кожи, но и от его метастазов в регионарные лимфоузлы. Хирургическое лечение осуществляется, чаще всего, под местной анестезией.
Когда плоскоклеточный рак кожи находится на начальной стадии и, для того, чтобы закрыть рану — достаточно натянуть ее края. В случае более объемных операций потребуется наркоз. Когда, путем дополнительных разрезов, перемещаются кожные лоскуты. Или, когда необходимо вырезать регионарные лимфоузлы.
Частота рецидивов после хирурургического лечения первой (начальной стадии) составляет 8 %.
Для второй стадии частота рецидива выше в два раза, для третьей – в три. Вариантом хирургического лечения является метод Моса. Уже во время операции проводят гистологическое исследование, определяя, есть ли клетки плоскоклеточного рака кожи в краях вырезанного кусочка кожи. Если есть – операцию продолжают в направлении оставшейся опухоли.
Лучевое лечение
Лучевая терапия плоскоклеточного рака незаменима для пожилых, ослабленных пациентов. Для них проведение наркоза опасно. Она позволяет избавиться от достаточно объемных опухолей. Но, у нее гораздо выше риск рецидива по сравнению с хирургическим лечением.
На начальной — первой стадии частота рецидивов после лучевого лечения 10 %. Вторая и третья стадия дает в 2-3 раза больше рецидивов. Часто случаются отдаленные побочные эффекты в виде развития хронического дерматита в области лучевого рубца и в виде появления новых очагов плоскоклеточного и базальноклеточного рака кожи из видимо здоровой кожи вокруг, от повреждения ее ДНК во время облучения.
Вид лучевого рубца со временем портится. Лучевое лечение не стоит проводить относительно молодым пациентам до 70 лет из-за риска появления нового рака кожи, уже от самого облучения.
Криодеструкция жидким азотом
Криодеструкция (заморозка, криолечение, лечение жидким азотом) плоскоклеточного рака кожи встречается достаточно редко. Ее эффективность зависит от используемого оборудования и от навыков врача. В самом примитивном варианте – при помощи ватной палочки, смоченной жидким азотом, для лечения плоскоклеточного рака кожи она не эффективна.
В случае использования современного надежного оборудования ее эффективность сравнима с хирургическим лечением. Частота рецидивов около 4 % для начальной стадии. Кроме того, рубцы от криодеструкциии со временем выглядят гораздо лучше лучевых.
Фотодинамическая терапия – лечение светом лазера
Фотодинамическая терапия может использоваться только для лечения нулевой стадии плоскоклеточного рака кожи — болезни Боуэна. В отличие от лечения обычным лазером, перед процедурой внутривенно вводятся специальные вещества – фотосенсибилизаторы.
На более поздних стадиях фотодинамическая терапия дает слишком большое количество рецидивов по причине низкой проникающей способности используемого света.
Мнение эксперта
Сакания Луиза Руслановна
Врач-дерматовенеролог, врач-косметолог, трихолог
Лечение народными средствами раковых образований недопустимо. Это может привести лишь к потере времени и развитию метастазов. Использовать народные средства как вспомогательные можно только по рекомендации врача для лечения лучевого дерматита.
Лечение заболевания
Онкологию лечат в зависимости от расположения и стадии заболевания. Важно вовремя выявить проблему, так как недуг склонен к быстрому метастазированию. Сначала врачи хирургическим методом удаляют злокачественные новообразования, а далее проводят терапию для уничтожения остатков раковых клеток.
Медикаментозные препараты
На ранних этапах, когда онкопатология еще не разрослась и не появились второстепенные очаги, проводят химиотерапию. Это лечение сильнодействующими химическими препаратами, которые вводятся с помощью инъекций в организм. Метод также используется перед операцией, чтобы уменьшить раковые образования. Для терапии используются следующие лекарства:
- «Фторурацил»;
- «Цисплатин»;
- «Блеомицин»;
- «Интерферон-альфа».
Лучевая терапия
Облучение воздействует пагубно на атипичные клетки, поэтому применяется в комплексной терапии. Применяют вместе с химией на первых этапах либо до хирургического вмешательства. А также этот способ благоприятно воздействует на очаги, которые находятся глубоко под кожными покровами. Если рак определен на последней стадии и необходимо приостановить его развитие, также применяют лучевую терапию. Она влияет на клетки и останавливает распространение возможных метастазов.
Хирургическое вмешательство
Опухоль удаляют вместе с кожей на расстоянии 2 см от нее, чтобы устранить возможные злокачественные клетки в области патологии. Если образование находится в доступном месте, применяют криодеструкцию, кюретаж или электрокоагуляцию. Но такие методы неэффективны, если плоскоклеточный рак расположен в волосяном покрове. Если надо сохранить участок кожи возле опухоли, применяют криохирургию.
Народные средства
Это дополнительные меры терапии, которые назначаются совместно с медикаментами и хирургией. Нельзя использовать традиционную медицину в качестве единственного способа избавления от рака. Но для улучшения состояния можно обрабатывать язвы мазью из гранатовых семечек и меда. Очаги протирают лосьоном из вербены с уксусом или из березовых почек. Точечно применяют средство из масла и перетертых грецких орехов.
Питание
После постановления этого диагноза необходимо сразу же поменять свой рацион, чтобы улучшить обмен веществ, иммунитет и дать организму все полезные вещества и витамины.
- Старитесь есть больше растительную пищу: овощи, фрукты, зелень, ягоды, бобовые.
- Из белков лучше принимать: нежирное мясо, курицу, рыбу, кальмары, малосольную икру, китайские и японские грибы.
- Откажитесь от алкоголя, сигарет, покупных соков, консервов, пищи с консервантами, красителями и усилителями вкуса.
- Ешьте 5-6 раз в день, маленькими порциями.
- Откажитесь от сладкого, мучного: булочек, тортов, печеней и т.д.
- Не жарте, а варите еду, чтобы не нагружать печень и не увеличивать интоксикацию организма.
Причины возникновения
Причины плоскоклеточного рака полости рта это комплекс неблагоприятных факторов биологического, физического и химического происхождения, которые могут влиять на перерождение тканей, как из внешней среды, так и изнутри.
В их число входят:
- Злоупотребление алкогольными напитками.
- Курение или жевание табака.
- Длительное воздействие ультрафиолетовых лучей и ионизирующей радиации.
- Кариозные зубы, неправильная гигиена ротовой полости.
- Некачественные или плохо подогнанные зубные протезы.
- Механические травмы слизистой оболочки.
- Неполноценное питание с низким содержанием овощей и фруктов.
- Регулярное употребление острой, жирной и горячей пищи.
- Угнетение иммунной системы вследствие приема иммунодепрессантов.
Отдельно выделяют патологии, относящиеся к предраковым, повышающим риск перерождения тканей слизистой оболочки в раковые:
- Лейкоплакия.
- Эритроплакия.
- Папилломатоз.
- Эрозии на фоне системной красной волчанки.
- Стоматит, вызванный облучением.
- Гиперкератоз.
- Глубокие микозы.
Во многих случаях, причины плоскоклеточного рака полости рта выявить не удается, так как он может возникнуть у полностью здорового человека, не имеющего вредных привычек. Иногда при тщательной диагностики удается выявить наследственную предрасположенность, вызывающую мутации генов p53 и ras, отвечающих за размножение и деление клеток.
Клиническая картина
Для плоскоклеточного рака легких характеры неспецифические симптомы, которые могут говорить о самых разных заболеваниях дыхательной системы. Все же есть признаки, позволяющие предположить онкологию:
- Кашель неясного происхождения, при котором идет выделение мокроты с кровью;
- Затрудненное дыхание;
- Боли в загрудинной области;
- Снижение аппетита;
- Резкая потеря веса без объективных причин;
- Незначительное, но стойкое повышение температуры;
- Слабость и утомляемость.
Однако и эти проявления могут дать подозрения о наличии у пациента бронхита, пневмонии или туберкулеза. Достаточно часто такие больные начинают получать симптоматическую терапию, а опухоль тем временем увеличивается в размерах, и к симптомам добавляется затрудненное глотание, обусловленное сдавливанием пищевода. Во многом течение болезни обуславливается формой рака легких и локализацией опухоли.
Протекание и метастазирование
Протекание плоскоклеточного рака характеризуется прогрессивными явлениями с инфильтрацией тканей, непосредственно прилегающих к опухоли, а также ростом болезненности и дисфункцией подверженного злокачественному образованию органа. В течение времени у больного развивается анемия, общая слабость, а обильный рост числа метастазов приводит к летальному исходу.
Разные формы заболевания имеют разную склонность к образованию метастазов. Наибольшая активность метастазирования отмечается у веретеноклеточного рака, при том что другие типы менее агрессивны.
Риск возникновения метастазов растет пропорционально увеличению размера опухоли, а также ее локализации. Наиболее агрессивное метастазирование наблюдается в случаях локализации злокачественного образования в районе половых органов и перианальной области, а также ротовой полости.
Питание и диеты
Плоскоклеточный рак полости рта требует изменений в питании, чтобы слизистая оболочка не подвергалась раздражению. Необходимо исключить раз продуктов:
- Специи, приправы.
- Острые соусы.
- Газированные напитки.
- Горячие напитки.
- Жирные блюда.
- Консервы, маринады.
- Сладости, дрожжевую выпечку.
- Кислые фрукты.
В период лечения плоскоклеточного рака полости рта, и после операции требуется особая диета, состоящая из жидкой и перетертой пищи — вязких каш, супов-пюре, мягкого творога, кисломолочных продуктов. Возвращение к твёрдой пище возможно после полного заживления тканей и восстановления функций жевания и глотания.
Что делать после операции?
Режим активного наблюдения после лечения рака шейки матки 1 стадии:
- В первые 2 года после операции или комбинированного лечения пациентка должна каждые 3 месяца обследоваться: — анализ крови на SCC (только при плоскоклеточном раке), — осмотр гинекологом-онкологом, — мазок на цитологию, — УЗИ органов малого таза, органов брюшной полости, забрюшинного пространства
- На 3-5-й год после операции эти же исследования проводятся 1 раз в 6 месяцев
- С 6-го года эти же исследования 1 раз в год
- Рентген грудной клетки – 1 раз в год на протяжении всей жизни
- МРТ/КТ малого таза и брюшной полости, КТ грудной клетки – по показаниям (появились жалобы, растут показатели SCC)
Сколько живут после операции по поводу РШМ 1 стадии
Если объём радикальной операции выполнен адекватно и удалось удалить все до единой клетки опухоли, то пациентка выздоравливает и проживает долгую жизнь.
По истечению реабилитационного периода после органосохраняющей операции (широкая конизация, расширенная трахелэктомия) женщина может забеременеть и родить ребёнка естественным путём (или прибегнув к ЭКО).
Инвалидность при раке шейки матки 1 стадии
- Инвалидность не выдаётся — при успешном радикальном законченном лечении РШМ, прошедшем без негативных осложнений и последствий (1 стадия болезни)
- 3 группа инвалидности – выдаётся, если в результате законченного радикального лечения РШМ есть объективная необходимость трудоустройства женщины со снижением её прежней квалификации или объёма труда
- 2 группа инвалидности – выдаётся при сомнительном прогнозе после проведённого лечения: — при нерадикальном оперативном лечении 1В стадии и выше (более тяжёлых стадий РШМ); — при нерадикальном лечении 2В стадий и выше; — когда радикальная операция сделана в полном объёме, но требуется дальнейшее лучевое лечение; — при развитии выраженных осложнений проведённого лечения, которые требуют длительной реабилитации
- 1 группа инвалидности – выдаётся: — при 4А стадии РШМ, если больная нуждается в постоянном постороннем уходе; — при 4В стадии РШМ, если больная признана некурабельной
Способы диагностики
Поскольку давно доказана прямая зависимость эффективности проведенного лечения от стадии злокачественного новообразования, на которой оно было обнаружено, выделяют два уровня диагностики плоскоклеточного рака кожи: раннюю и позднюю.
Ранним считается постановка диагноза на I-II стадии. В этом случае возможно полное выздоровление больного при условии выбора правильной тактики лечения. Позднее выявление — это постановка диагноза на III и IV стадии. Прогноз, как правило, неблагоприятен по причине сложности проведения или невозможности оперативного лечения.
«Золотой стандарт» диагностики плоскоклеточного рака кожи — биопсия с последующим гистологическим исследованием. Особенно информативным считается иммуногистохимический метод. Так как опухоль является наружной и получить биоматериал для проведения гистологии несложно, новообразование верифицируется в 99% случаев.
Также широко применяется метод дерматоскопии. В этом случае в пользу рака кожи говорит наличие центральных кератиновых пробок, расширенных и разветвленных сосудов на поверхности.
При любой форме плоскоклеточного рака, наряду с тщательным сбором анамнеза и физикальным осмотром, специалист должен провести оценку состояния лимфоузлов. При подозрении на наличие метастатических очагов, основным диагностическим методом служит тонкоигольная аспирация. Также возможно назначение дополнительных методов визуализации (УЗИ, рентгенография, КТ, ангиография) для выявления регионарных и отдаленных метастазов.
Этиология
На данный момент точных этиологических факторов не установлено, отчего нет и целенаправленных методов профилактики. Однако клиницисты выделяют такие возможные предрасполагающие факторы для развития этого недуга:
- генетическая предрасположенность – если в семейном анамнезе есть такие заболевания, то существенно повышается риск развития онкологии у потомства;
- работа в особенно вредных условиях;
- хронический алкоголизм и длительное курение табачных изделий;
- частое инфицирование организма, механические повреждения бородавок;
- облучение;
- повышенная восприимчивость к ультрафиолетовым лучам;
- приём иммуносупрессоров длительное время;
- вирус папилломы человека;
- кожные патологии, которые имеют предрасположенность к переходу в злокачественную форму (наиболее вероятный этиологический фактор);
- неправильное питание на постоянной основе;
- проживание в крайне неблагоприятном экологическом районе;
- занесение инфекции в кожные покровы.
Отдельно следует выделить группу риска:
- работники угольных шахт, металлургической и химической промышленности;
- возраст – старше 65 лет;
- перенесённые ранее заболевания онкологического типа.
Ввиду того что однозначных этиологических факторов до сих пор не установлено, нельзя рассматривать вышеприведённые причины как 100% предрасположенность к данному заболеванию, поскольку на его развитие влияет и общее состояние здоровья, история болезни пациента и предрасположенность к такого рода недугам.
Крупноклеточный рак
Крупноклеточный рак — это злокачественная эпителиальная опухоль, клеточные элементы которой характеризуются крупными ядрами, выраженными ядрышками, обильной цитоплазмой и выраженными границами, но без типичных признаков клеток плоскоклеточного рака, аденокарциномы или мелкоклеточного рака.
Крупноклеточный рак, составляющий около 9% всех раковых опухолей легкого, относят к недифференцированным формам рака (Travis W.D. et al., 1995). Он наблюдается и при центральной, и при периферической клинико-анатомических формах рака легкого.
Микроскопически нередко определяют компоненты малодифференцированной аденокарциномы или плоскоклеточного рака, особенно при исследовании операционных препаратов, и в подобных случаях устанавливают общий диагноз: рак легкого, немелкоклеточный тип.
С помощью электронной микроскопии и иммуногистохимии удается окончательно установить морфологический тип рака. Если крупноклеточный рак сочетается с мелкоклеточным, то опухоль относят к смешанному типу мелкоклеточного и крупноклеточного рака.
Согласно Международной гистологической классификации опухолей легких (ВОЗ, 1999), выделяют 5 вариантов опухоли.
Гигантоклеточный рак
— опухоль с преобладанием крайне полиморфных многоядерных клеток причудливой формы. На цитограммах создается впечатление, что они содержат нейтрофильные лейкоциты (рис. 2.15). К этому подтипу не относят аденокарциномы и плоскоклеточный рак с гигантскими клетками.
Рис. 2.15. Цитограмма мокроты при крупноклеточном (гигантоклеточном) раке. Окраска по Паппенгейму. х 400.
Светлоклеточный рак
— редкий вариант крупноклеточного рака, представленный клеточными элементами со светлой или пенистой цитоплазмой без слизи. Опухолевые клетки могут содержать гликоген (рис. 2.16). К этому подтипу не относят аденокарциномы и плоскоклеточный рак со светлыми клетками.
Рис. 2.16. Крупноклеточный (светлоклеточный) рак. Окраска гематоксилином и эозином. х 200.
В последние годы выделяют и другие подтипы крупноклеточного рака: крупноклеточный веретеноклеточный рак (Matsui К. et al., 1991), который называют саркоматоидным раком (Ro J.Y. et al., 1992; Nappi O., Wick M.R., 1993), лимфоэпителиоподобный рак (Butler A.E. et al., 1989; Weiss I.M. et al., 1989) и крупно-клеточный нейроэндокринный рак — Large cell neuroendocrine carcinoma (LCN EC) (Travis W.D. et al., 1991).
Прогноз при этих подтипах крупноклеточного рака плохой (Rush W. et al., 1995), и только при I-II стадиях операция дает относительно удовлетворительные отдаленные результаты.
Эти варианты крупноклеточного рака представлены в последней Международной гистологической классификации опухолей легких (1999):
1.3.4. Крупноклеточный рак 1.3.4.1. Крупноклеточный нейроэндокринный рак 1.3.4.1.1. Комбинированный крупноклеточный нейроэндокринный рак 1.3.4.2. Базалоидный рак 1.3.4.3. Лимфоэпителиоподобный рак 1.3.4.4. Светлоклеточный рак 1.3.4.5. Крупноклеточный рак с рабдоподобным фенотипом
Осложнения
На запущенных стадиях заболевания рак шейки матки может стать причиной перечисленных ниже осложнений:
- Мочеполовая система: в результате патологического давления растущей опухоли на мочевой пузырь и мочеточник органы перестают функционировать нормально — моча застаивается и выводится с трудом наружу, на фоне чего возможно развитие острых воспалительных и гнойных процессов, сопровождаемых болями и повышением температуры тела.
- Печень: огромная концентрация токсинов, образуемых при распаде злокачественной опухоли, не может обезвреживаться клетками печени в полном объеме, в связи с чем страдают ее функции.
- Почки: в результате интенсивного метастазирования карциномы поражаются ткани почечных лоханок, а в канальцах данных органов образуются свищи, все это провоцирует развитие острой почечной недостаточности.
- Метастазы: первоначально атипичные клетки распространяются опухолью в регионарные лимфоузлы, а уже из них злокачественные элементы могут циркулировать по всему организму, вызывая развитие вторичных новообразований.
Варианты локализации
Плоскоклеточный рак кожи чаще всего представлен одиночным очагом, гораздо реже — множественными. В подавляющем большинстве случаев поражается кожа лица (нос, ушные раковины, периорбитальная область). Излюбленная локализация — переходы между слизистой оболочкой и плоским эпителием, которые наблюдаются на красной кайме губ, в перианальной области, на наружных половых органах.
В полости рта данный вид рака часто располагается на слизистой оболочке неба и языка. Для такой опухоли свойственно длительное бессимптомное течение. Она постепенно превращается в твердый узел или со временем приобретает картину перитонзиллярного абсцесса.
Плоскоклеточный рак на нижней губе возникает на фоне таких предраковых образований, как лейкоплакия, актинический и абразивный хейлит. Вначале он проявляется плотно сидящими чешуйками, под которыми образуется небольшое растущее уплотнение. Реже заболевание начинается с эрозии, которая имеет плотное основание. По мере увеличения новообразования, губа может деформироваться или уплотняться.
Для локализации рака в области вульвы, характерна локализация на переходной складке больших и малых губ, клитора. Болезнь имеет неблагоприятный прогноз, отличается быстрым метастазированием. Образованию плоскоклеточного рака кожи данной локализации может предшествовать склероатрофический лихен, болезнь Бовена, эритроплакия.
Рак кожи полового члена, как правило, возникает у мужчин старше 40 лет. Типичной локализацией для него служит задняя поверхность тела полового члена, область препуциального мешка и коронарной борозды. Предрасполагающими факторами к образованию данной опухоли служат хронические воспалительные процессы, баланит с врожденным фимозом, скопление смегмы. Именно поэтому рак полового члена практически никогда не возникает у мужчин, которые подверглись циркумцизии.
Виды
Видов плоскоклеточного рака существует довольно много и они разделяются в зависимости от области локализации опухоли. Каждый характеризуется собственной симптоматикой, в чем и является особенность данного типа онкологического заболевания.
Кожи
Данный тип новообразований встречается наиболее часто. В 90 процентах случаев является ороговевающим и развивается, чаще всего, на открытых участках. Возможно развитие опухолевой или язвенно-некротической форм. К симптомам такого рака относят:
- Болезненные ощущения.
- Отечность тканей, прилегающих к опухоли.
- Появление жжения и зуда.
- Снижение чувствительности.
- Покраснение тканей вблизи от зоны поражения.
Губ в районе красной каймы
Рак губы является распространенной формой заболевания. Чаще всего наблюдается появление новообразования на нижней губе, однако, в отдельных случаях, злокачественная опухоль образуется и на верхней.
Подобная форма обладает большей агрессивностью и опасным для здоровья пациента протеканием. Рак губы более характерен для мужчин и встречается у них в три раза чаще, нежели чем у женщин.
Чаще всего наблюдается ороговевающая форма, однако часто присутствует и инфильтративно-язвенная форма, которая обладает большей агрессивностью.
Полости рта
Данный вид заболевания характеризуется наличием злокачественного образования в эпителии слизистой во внутренней части губ, десен, щек или неба. Нередко заболевание провоцируется, помимо обозначенных в статье причин, частым употреблением горячих блюд либо напитков. Отличительной чертой рака данного вида является его агрессивность, быстрый рост опухоли и активное ее прорастание в соседние ткани.
К симптомам данной разновидности относят:
- Болевые ощущения на поздней стадии, которые обуславливаются давлением новообразования на соседние ткани.
- Увеличенное слюноотделение и чувство инородного тела в ротовой полости.
- Наличие неприятного запаха изо рта, обусловленного разрушением раковых клеток.
- Ухудшение речи и трудности при выполнении жевательных действий (наличествуют на поздней стадии болезни).
Пищевода
В пищеводе чаще встречается опухолевидная форма плоскоклеточного рака, которая провоцируется рядом факторов, среди которых основным выступает неправильное питание. Кроме того, онкологическая опухоль нередко развивается на фоне рефлюксзоофагита в виду заброса желудочного сока во внутреннюю часть пищевода.
При развитии наблюдается высокая скорость роста опухоли, которая в итоге может перекрывать пищеводное отверстие. К симптомам заболевания относится:
- Трудности глотания или так называемая дисфагия. Ее причиной служит рост опухоли непосредственно в пищеводный просвет, ввиду чего возникают сложности движения пищи. Первоначально наблюдается сложность заглатывания твердой пищи, а затем и мягкой (в процессе увеличения опухоли).
- Наличие грудных болей у пациента, которые наиболее выражены на поздней стадии.
- Срыгивание пищи.
- Неприятный запах из ротовой полости вследствие разрушения раковых клеток опухоли и их некроза.
- Наличие следов крови в рвотных массах и стуле. Подобный симптом представляет собой опасность для жизни пациента.
Гортани
Плоскоклеточный рак гортани встречается в 60 процентах случаев от всех злокачественных образований данного органа. Доминируют обе формы рака, включая как инфильтративно-язвенную, так и опухолевую. В первом случае развитие заболевания происходит быстрее, с сильным распространением и метастазированием. Для болезни характерны:
- Трудности дыхания в результате роста опухоли.
- Перемены в голосе человека.
- Боль при глотании.
- Рефлекторный кашель и кровохаркание.
- Ощущение в горле наличия инородного тела.
Трахеи и бронхов
В трахее и бронхах плоскоклеточная форма рака встречается достаточно часто и нередко вызвана метаплазией эпителиальных тканей (заменой эпителия реснитчатого типа на плоский). Катализатором заболевания может выступать курение либо высокая загрязненность воздуха химическими токсинами.
Симптомами плоскоклеточного рака трахеи и бронхов выступают:
- Кашель и кровохаркание.
- Ощущение нехватки воздуха при дыхании.
- Частые случаи заболевания пневмонией.
Шейки матки
В большинстве случаев плоскоклеточный рак шейки матки у женщин провоцируется вирусом папилломы человека. В большинстве случаев развитие опухоли происходит в области перехода эпителия многослойного плоского типа в цилиндрический, то есть выстилающий внутреннюю полость матки.
Опасностью заболевания выступают неспецифические симптомы, характерные также для иных заболеваний мочеполовой системы женщин. К ним относят:
- Внеменструальные кровотечения из влагалища.
- Возникновение кровотечений после полового акта.
- Болезненные ощущения во время полового акта.
- Наличие болей ноющего характера в нижней части живота.
- Трудности при мочеиспускании либо дефекации.
Профилактика
Ввиду того что точных этиологических факторов не установлено, целенаправленных методов профилактики нет, следует придерживаться только общих рекомендаций:
- при длительном нахождении на солнце использовать качественные защитные косметологические средства;
- своевременно и правильно лечить все заболевания кожи;
- укреплять иммунитет;
- отказаться от вредных привычек;
- проходить профилактический осмотр у дерматолога, если есть факт генетической предрасположенности.
Профилактические медицинские осмотры помогут диагностировать недуг на ранней стадии, что существенно повышает шансы на полное выздоровление. Но к сожалению, полностью исключить рецидив онкологии, нельзя.
Механизм развития
Специалистами выделяется четыре степени развития плоскоклеточного рака. Их разделение производится в зависимости от глубины проникновения опухоли в соседние ткани, наличия метастазов и по ряду иных признаков.
1 стадия. На первичной стадии опухолевый тяж имеет проникновение только до уровня потовых желез. Происходит множественное образование роговых жемчужин. Контакт здоровых клеток с опухолью приводит к возникновению вокруг нее зоны, в которой происходят воспалительные реакции.
2 стадия. Характеризуется обилием клеток с гиперхромными ядрами. Число роговых жемчужин при этом невелико.
3 стадия. Наблюдается большое число атипичных клеток при слабовыраженном ороговении.
4 стадия. Признаки ороговения полностью отсутствуют, воспалительный процесс крайне слаб либо его нет совсем. Все клетки, из которых состоит опухоль, являются атипичными.
Почему развивается патологический процесс?
Рак кожи, как и большинство онкологических заболеваний, считается полиэтиологичным состоянием. И достоверно выяснить основной пусковой механизм появления злокачественных клеток удается далеко не всегда. В то же время доказана патогенетическая роль ряда экзо- и эндогенных факторов, выявлены несколько предраковых заболеваний.
Основные причины возникновения рака кожи:
- воздействие УФ лучей, их происхождение может быть естественным или искусственным (от солярия);
- влияние ионизирующих (рентгеновского и гамма) излучений, что приводит к развитию раннего или позднего лучевого дерматита;
- воздействие инфракрасных лучей, что обычно связано с профессиональными вредностями в стеклодувной и металлургической промышленности;
- заражение определенными типами вируса папилломы человека (ВПЧ);
- регулярный или продолжительный контакт с некоторыми веществами, оказывающими канцерогенный эффект (нефтепродуктами, каменным углем, инсектицидами, гербецидами, минеральными маслами), частое использование красок для волос;
- хроническая мышьяковистая интоксикация;
- механическое повреждение кожи, сопровождающееся патологическим рубцеванием или запускающее скрытый посттравматический канцерогенез;
- термические ожоги, особенно повторные;
- хронические воспалительные процессы различной этиологии, захватывающие кожу и подлежащие ткани (свищи, лепра, глубокий микоз, трофические язвы, туберкулез кожи, гуммозная форма сифилиса, системная красная волчанка и другие).
Наиболее значимым этиологическим фактором считается УФО, получаемое преимущественно от солнца. Именно этим объясняется повышение процента заболеваемости раком кожи у людей, переехавших на ПМЖ ближе к экватору или часто отдыхающих в южных странах.
Причины, предрасполагающие факторы
Точные причины появления неороговевающего плоскоклеточного рака не определены. Существует определённая взаимосвязь между онкологией и некоторыми провоцирующими факторами, в частности:
- фоновыми патологиями шейки матки, например, псевдоэрозией и эктропионом;
- ранней половой жизнью;
- беспорядочным характером интимных отношений;
- травматизацией шеечного эпителия;
- воздействием смегмы канцерогенного характера;
- неблагоприятной наследственностью;
- курением;
- половыми инфекциями, особенно в их сочетании.
Однако данные факторы рассматриваются лишь как дополнительный риск развития неороговевающего плоскоклеточного рака шейки матки. Единственной доказанной причиной появления онкологии является заражение ВПЧ.
После проникновения половым путём вируса папилломы в клетку, некоторые штаммы могут вызывать её мутацию. Как правило, данный риск наблюдается при заражении типами ВПЧ высокой степенью онкогенности. Например, неороговевающий плоскоклеточный рак шейки матки могут вызывать 16 и 18 тип вируса.
Гинекологи подчёркивают, что неороговевающий плоскоклеточный рак развивается в исключительных случаях, когда у женщины отмечается иммунные нарушения. Здоровый иммунитет удаляет вирус из организма через несколько месяцев. Длительное нахождение ВПЧ в организме говорит о различных патологиях, в частности, иммунного характера. Такие женщины находятся в группе риска.
Стадии
Различают четыре стадии течения патологии, отличающиеся друг от друга клинической картиной, симптоматикой и степенью поражения организма женщины:
- 1 стадия – опухоль уже образована и успела частично проникнуть внутрь тканей органа. Размеры образования хорошо контролируются, аномалия практически латентна. Такое ее состояние трактуют как цервикальное. Симптоматика отсутствует, диагностируется сложно. Величина образования порядка 4-5 мм;
- 2 стадия – патология проникает глубоко в тело матки. Часто покидает ее пределы уже на данном этапе. Не переходит на влагалищные ткани и область малого таза. Размеры опухоли увеличиваются, ее уже можно заметить в процессе обследования. Лимфоузлы чистые, метастазы отсутствуют;
- 3 стадия – рак поражает малый таз, область влагалища, симптоматика выраженная. Запущены процессы метастазирования. Лечение затруднительно, аномалия уже не контролируется. Образование закупоривает мочеточник, препятствуя отходу мочи. Требует кардинального врачебного вмешательства;
- 4 стадия — завершающая стадия течения болезни. Опухоль поразила практически весь орган, покинула его пределы и активно распространяется по организму. Метастазами поражены соседние отделы, кровеносная и лимфатическая системы. Лечение не эффективно. Симптоматика тяжелая и болезненная.
Течение и лечение заболевания у детей, беременных и кормящих, пожилых
Дети. Рак шейки матки иногда встречается в детском возрасте. Диагностика патологии на ранних стадиях затруднена ее бессимптомным течением. Но при внимательном наблюдении за девочкой можно отметить необычные гнойные и/или кровянистые выделения из половых путей постоянного характера, которых в норме не должно быть. При этом специалисты отмечают, что кровотечение является поздним симптомом рака шейки матки. Диагноз ставится на основании тщательного ректального исследования, биопсии тканей с предполагаемых очагов поражения и гистологического анализа. Для полноценного осмотра требуется нарушить целостность девственной плевы и провести клиновидную эксцизию для дальнейшей цитологии. После подтверждения диагноза подбирается оптимальная тактика лечения, в каждом случае она индивидуальна. При первой и второй стадии рака шейки матки рекомендуется радикальная гистерэктомия. В неоперабельных ситуациях показана радиотерапия и химиотерапия с назначением доз препаратов, соответствующих возрасту ребенка. После выписки из стационара все девочки должны наблюдаться у гинеколога.
Беременность и лактация. От рака шейки матки не застрахованы будущие и кормящие мамы. Если заболевание диагностировано в период грудного вскармливания, рекомендуется прервать лактацию и приступить к необходимому лечению. В случае обнаружения карциномы цервикального канала в период беременности женщины, специалисты предлагают два выхода из положения: искусственный аборт и роды или проведение специфической терапии. На раннем сроке врачи настаивают на прерывании беременности, так как дальнейшее вынашивание плода часто оборачивается различными осложнениями в виде угрозы выкидыша, преждевременного начала родовой деятельности и внутриутробной гибели ребенка. В редких случаях женщинам удается сохранить и выносить малыша, обычно это происходит при условии, что речь идет о первой или второй стадии высокодифференцированного плоскоклеточного рака, локализующегося в шейке матки. Основные методы лечения — расширенная гистерэктомия без предварительного удаления плодного яйца в первой половине беременности или после кесарева сечения — на поздних сроках гестации. Результаты хирургического лечения обязательно подкрепляются лучевой терапией.
Преклонный возраст. Плоскоклеточный рак цервикального канала, согласно статистике, чаще поражает женщин старше 50 лет. Основная причина данной патологии — гормональный дисбаланс в организме. Заболевание на ранних стадиях может протекать бессимптомно, поэтому многие пациентки с опозданием обращаются к специалисту. В пожилом возрасте рекомендуется выполнение экстирпации матки, придатков, фаллопиевых труб и лимфоузлов. Прогноз зависит от своевременности постановки диагноза, стадии и особенностей заболевания и начала лечения.
Как распознать рак кожи: ключевые моменты диагностики
Диагностика онкопатологии основывается в первую очередь на гистологическом и цитологическом исследовании подозрительных на малигнизацию участков. Это позволяет достоверно определить характер имеющихся изменений и спрогнозировать перспективность лечения. Поэтому важнейшим моментом обследования является биопсия.
Она может проводиться разными методами: соскоб, мазок-отпечаток, инцизии или эксцизии. Гистологическому исследованию могут подвергаться и регионарные лимфатические узлы. При подозрении на меланому биопсию проводят непосредственно перед лечением, так как биопсия может спровоцировать безудержное метастазирование.
Достоверными методами диагностики метастазов являются радиоизотопный метод, остеосцинтиграфия. Для оценки состояния внутренних органов проводят рентгенографию скелета и органов грудной клетки, УЗИ лимфатических узлов и органов брюшной полости, КТ и МРТ. Показаны также общеклинический и биохимический анализы крови и другие исследования для оценки функционирования внутренних органов.
Диагноз меланомы подтверждается также при исследовании на онкомаркер TA 90 и SU 100. Такой анализ крови при раке кожи может проводиться уже на ранних стадиях заболевания, хотя он наиболее информативен при наличии метастазов. Дополнительными методами диагностики при меланоме являются термометрия и реакция Якша.
Какой бывает анализ на рак шейки матки?
В настоящее время для раннего выявления онкопроцесса в цервикальном канале применяется ПАП-тест, или исследование Папаниколау.
Забор анализа осуществляется шпателем непосредственно со слизистой шейки матки. Затем микропрепарат направляют в лабораторию. Там проводится цитологический тест, результаты которого станут известны через 7 дней.
Анализ может сдать каждая женщина, начиная с 5-го дня менструального цикла. За 24 часа до посещения кабинета гинеколога рекомендуется воздержаться от спринцевания и половых контактов.
Сколько живут пациенты при плоскоклеточном раке почки?
На данный момент для плоскоклеточного рака почки прогноз и эффективность лечения предсказать нельзя, так как сведений о нем очень мало. Поэтому есть потребность в проведении тематических исследований с оценкой результата разных схем терапии.
В одном из таких исследований продолжительность жизни с плоскоклеточной карциномой почечной лоханки составила 1 год – у 33% больных, и 2 года – у 22%. До 5 лет доживают менее 10%. Такие неутешительные цифры связаны с поздним обнаружением опухоли и низкой эффективностью даже радикального лечения, хотя если провести его на 1 или 2 стадии, то выживаемость будет намного выше.
Поскольку эти опухоли тесно связаны с почечными камнями, такие больные должны подвергаться обязательному лечению, а также быть тщательно обследованными новейшими методами визуализации, чтобы выявить патологию на раннем этапе.
Будьте здоровы!
Симптомы и признаки в зависимости от локализации онкоопухоли
В первое время симптомы плоскоклеточного рака полости рта никак себя не проявляют. Единственное, что может заметить пациент – небольшое уплотнение, трещину или язвочку, считая, что это результат воспалительного процесса или повреждения слизистой оболочки.
При прогрессировании болезни появляются более выраженные признаки плоскоклеточного рака полости рта. При увеличении злокачественного очага в размерах появляются болезненные ощущения, изначально охватывающие незначительный участок, затем, усиливаясь, отдают в ухо, висок или челюсть.
Плоскоклеточный рак дна полости рта сопровождается повышенным слюноотделением и припухлостью подчелюстных лимфоузлов. Онкообразование быстро распространяется в глубокие ткани, выделяет метастазы и приводит к появлению прожилок крови в слюне.
Рак щеки на первых стадиях напоминают аптозную язву, поэтому часто остается длительное время без качественного лечения. При увеличении опухоли в размерах дискомфортные и болезненные ощущения, усиливающиеся во время приемов пищи и разговоров. Если злокачественный процесс охватывает жевательные мышцы, появляются трудности при попытке открыть рот.
Плоскоклеточный рак ротовой полости, локализующийся в области альвеолярных отростков, вызывает сильные боли и обильное слюноотделение. Появляются сильные зубные боли, расшатанность зубов, воспаление и кровоточивость десен.
Опухоли неба вызывают боли еще на ранних стадиях болезни. Если рак представлен опухолью, значительно нарушаются функции глотания, затрудняется дыхание, может появиться заложенность носа. Новообразование часто травмируется пищей, отчего присоединяются инфекции, и начинается нагноение.
Плоскоклеточный рак языка чаще всего локализуется на боковых стенках и уже на первой стадии вызывает расстройство речи, жевания и проглатывания пищи. При локализации опухоли на корне языка основной симптом – затрудненное проглатывание пищи. Быстро прорастает в глубокие ткани, распространяясь в глотку и гортань.
Формы
Условно выделяются две формы плоскоклеточного рака: экзофитная и эндофитная. Также наблюдается их сочетание, так называемая смешанная форма.
- Экзофитная форма. Характеризуется формированием в начале заболевания плотного узлового образования кожного оттенка. Поверхность новообразования часто покрыта роговой массой желтоватого цвета.
Узел быстро растет в высоту, при этом его основание является малоподвижным и широким ввиду того, что одновременно с увеличением размеров опухоль прорастает вглубь тканей. Поверхность имеет бугристую структуру. На запущенной стадии возможен переход данной формы в инфильтративно-язвенную.
- Эндофитная форма. Характеризуется наличием небольшого плотного узла на начальной стадии, который в ходе развития изъязвляется. Вокруг новообразования возможно образование вторичных узелков, сливающихся в итоге друг с другом и основным узловым образованием. Рост опухоли происходит как в ширину, так и глубину.
Как развивается плоскоклеточный рак полости рта?
Плоскоклеточный рак полости рта – злокачественное новообразование, формирующееся из перерождённой эпителиальной ткани. Перерождение клеток эпителия начинается постепенно – под воздействием негативных факторов нарушаются обменные и биохимические процессы, приводящие к мутации генов одной или нескольких клеток.
У мутировавших клеток остаются только две функции – рост и бесконтрольное деление. Когда перерожденных клеток становится больше, они образуют опухолевидное образование, характеризующееся инвазивным ростом.
Плоскоклеточный рак слизистой полости рта чаще всего встречается у мужчин, но в последнее время становится все больше онкологических больных женского пола из-за алкоголя и табачного дыма. Но статистика показывает, что современные методы лечения значительно снизили процент смертности от плоскоклеточного рака полости рта.
Реабилитация после прохождения лечения
После операции плоскоклеточного рака полости рта требуется длительный период восстановления. Необходимо тщательно соблюдать все рекомендации лечащего врача, чтобы предотвратить развитие осложнений, в том числе рецидива.
Сразу после операции пациенту назначают противовоспалительную и антибактериальную терапию, чтобы предотвратить присоединение инфекции. Дальнейшая реабилитация заключается в восстановлении структур ротовой посредством реконструкции или пластики. Качественно проведенные операции позволяют полностью или частично восстановить утерянные функции.
При необходимости назначают занятия с логопедом и дефектологом, артикуляционную и дыхательную гимнастику, физиотерапевтическое лечение. Индивидуальный курс реабилитации подбирают исходя из обширности операции.

















