Новообразования, развивающиеся в области головного и спинного мозга, считаются опаснейшими из-за локализации в труднодоступных местах для некоторых видов терапии. Глиома – это новообразование, образующееся из патогенов глии. Клетки глии отвечают за вспомогательные функции в центральной нервной системе. Патология может возникать в виде доброкачественного или злокачественного образования. Злокачественная форма отличается стремительным ростом с агрессивным распространением по организму. Выявить тип патологии помогает расширенная диагностика с применением новейшего оборудования и методик исследования организма.
Классификация заболевания
Глиальная опухоль головного мозга может быть таких типов:
- Астроцитарная глиома – самый часто встречающийся вид (более 50%), локализующийся в белом веществе. Астроцитомы, в свою очередь, делятся на фибриллярные, анапластические, пилоцитарные, субэпендимарные гигантоклеточные, глиобластомы, опухоль пластинки четверохолмия, плеоморфные ксантоастроцитомы.
- Эпендимома – находится в желудочковой системе мозга, диагностируется в 5-8% случаев.
- Олигодендроглиома – разновидность глиомы, которая развивается из олигодендроцитов, встречается в 8-10% случаев.
- Смешанные опухоли – соединяют в себе анапластическую олигоастроцитому и олигоастроцитому.
- Образования сосудистого сплетения – очень редки, всего 1-2% случаев.
- Нейрональные опухоли – крайне редки (0,5%).
- Невриномы (8-9%).
- Глиоматоз головного мозга.
- Нейроэпителинальные образования неясного генеза.

- Супратенториальные – глиома левого полушария либо правого, где нет оттока венозной крови и спинномозговой жидкости. За счет этого сначала возникают очаговые симптомы, которые усиливаются с увеличением образования.
- Субтенториальные – располагаются в задней черепной ямке, теменно-затылочной зоне. Опухоль быстро сдавливает пути ликворного оттока, поэтому симптомы проявляются рано.
Диффузная глиома ствола головного мозга и моста
Образование локализуется в месте соединения головного и спинного мозга. В этом отделе сосредоточены нервные центры, контролирующие дыхание, движения, сердцебиение и другие жизненно-важные функции. Поражение этого участка вызывает нарушения вестибулярного аппарата, слуховые и речевые дисфункции, затруднение в приеме пищи через рот, сонливость, сильные головные боли и еще множество симптомов. Глиома в стволе головного мозга в основном диагностируется у детей 3-10 лет. Симптоматика может нарастать медленно либо стремительно – за недели и даже дни.
При стремительном росте образования выживаемость плохая. У взрослых людей диффузная глиома моста встречается редко.
Глиома зрительного нерва
Развивается их глиальных клеток, окружающих зрительный нерв. Чаще всего прогрессирует постепенно, на ранних стадиях признаки заболевания отсутствуют. Приводит к ухудшению зрения, экзофтальму (атрофия нерва и выпячивание глазного яблока).
Образование может локализоваться в любой части зрительного нерва. Если оно расположено в пределах глазницы, за лечение берутся офтальмологи. Если локализация приходится на место, где нерв проходит в черепной коробке (зрительный бугор), лечением занимаются нейрохирурги.
Возникает преимущественно у детей. Характеризуется доброкачественным течением, но при обнаружении в запущенном состоянии пациенты нередко остаются слепыми.
Глиома низкой степени злокачественности
Это опухоль, обнаруженная на 1 или 2 стадии. Характерен медленный рост. От начала возникновения до появления первых признаков проходит несколько лет.
Образование чаще всего находится в больших полушариях, затрагивает мозжечок. Возникает преимущественно у детей и молодых людей до 20 лет.
Глиома мозолистого тела головного мозга
Чаще всего валик мозолистого тела поражает глиобластома – наиболее злокачественная опухоль, состоящая из зведчатых глиальных клеток (астроцитов). Они способны множиться. Глиома левой лобной доли с прорастанием в мозолистое тело может поразить как ребенка, так и взрослого. В основном диагностируется у мужчин 40-60 лет.
Уровень злокачественности определяется на основе дифференцирования клеток. Если опухоль мозолистого тела головного мозга имеет низкую дифференциацию, это говорит о высокой меры ее злокачественности.
Опухоль хиазмы
Располагается в той части мозга, где находится зрительный перекресток. Вызывает миопию, выпадение некоторых полей зрения, нейроэндокринные сбои и признаки окклюзионной гидроцефалии.
Преимущественно глиома хиазмы является астроцитомой. Встречается у детей или людей старше 20 лет. В 33% случаев развивается у пациентов с нейрофиброматозом Реклинхаузена.
Ведущие клиники в Израиле
Выделяют три основных вида глиальных клеток:
- Астроциты;
- Олигодендроглиоциты;
- Эпендимоциты.
В зависимости от того, из какого вида начинает свое развитие опухоль, различают и ее виды:
- Астроцитома;
- Олигодендроглиома;
- Эпендимома.
Самым частым диагностируемым видом такого ракового заболевания является астроцитома, она случается почти у половины больных, имеющих диагноз глиома. Олигодендроглиома выявляется у 8-10 % больных, а эпендимома – у 5-8 %. Различают также и смешанные глиомы головного мозга – опухоли сосудистого сплетения и нейроэпителиальные опухоли неясного генезиса (олигоастроцитомы и астробластомы, глиосаркомы).
По классификации ВОЗ выделяются 4 степени злокачественности:
- I степень – это медленно растущая доброкачественная глиома, к таким относят: гигантоклеточную астроцитому, ювенильную астроцитому, плеоморфную ксантоастроцитому, ангиоцентрическую глиому;
- II степень считается пограничным типом, так как хотя глиома этой степени и выделяется медленным ростом и имеет только один признак злокачественности (обычно клеточную атипию), но может переродиться в глиому III или IV степеней злокачественности;
- III степень характерна присутствием 2 признаков из трех: фигуры митозов, микропролиферацию эндотелия или ядерной атипии. Сюда относят: анапластическую глиому;
- IV степень характеризуется присутствием области некроза (мультиморфная глиобластома).
Также есть классификация опухоли по месту расположения. Они бывают:
- Супратенториальные (находящиеся выше мозжечка). Они расположены в больших полушариях мозга, где нет возможностей для оттока спинномозговой жидкости и венозной крови;
- Субтенториальные (ниже мозжечка). Они расположены в задней черепной ямке.
Внутримозговая глиальная опухоль – это, в большинстве случаев, внутримозговая первичная опухоль мозговых полушарий. Иногда она локализуется в области хиазмы, стенке мозгового желудочка, нервных стволах, например – в зрительном нерве. Глиома головного мозга редко прорастает в кости черепа или мозговые оболочки, но при этом она характеризуется инфильтративным ростом, поэтому обнаружить границу опухоли и не затронутых тканей сложно даже с помощью микроскопа.
Выглядит глиома головного мозга как небольшая округлая или веретенообразная опухоль серовато-белого или темно-красного цвета диаметром от 2-3 миллиметров до размеров теннисного мяча. Растет это образование чаще медленно и характеризуется отсутствием метастазирования, но при этом развитие глиомы сопровождается дегенерацией окружающих тканей, что приводит к несоответствию размера опухоли и выраженности неврологического дефицита.
Классификация глиомы головного мозга:
- По виду глиальных клеток, из которых растет глиома – астроцитома (около 50% всех глиом), олигодендроглиома (около 10%), эпендимома (5-8%), остальные – смешанные, к примеру, олигоастроцитома, а также – опухоли с невыясненным происхождением и опухоли сосудистого сплетения.
- По злокачественности – I степени (медленно растущая доброкачественная глиома), II степени («пограничная» глиома, имеющая один признак злокачественности, часто этот признак – клеточная атипия), III степени (глиома головного мозга имеет 2 из 3 признаков злокачественности – ядерную атипию, фигуры митозов или микропролиферацию эндотелия), IV степени (глиома имеет области некроза).
Причины появления
Причины, вызывающие патологию, многообразны. Их можно разделить на 4 категории:
- вирусы и онкогены. Вирусный геном интегрируется в здоровые клетки и может содержать онкорнавирусы. К ним относят герпес, гепатит, Эпштайна-Барр и пр. После поражения здоровых клеток вирусом происходит их трансформация в злокачественные. Они начинают размножаться, образуя опухоль;
- физические и химические факторы. К ним относят действие канцерогенов, которые проникают в геном клеток, вызывая дисбаланс гормонов, преимущественно, эстрогенов;
- тканевые и клеточные изменения на эмбриональном уровне, а также патологические нарушения, развивающиеся вследствие воздействия некоторых провоцирующих факторов;
- мутация, вызывающая трансформацию генома и приводящая к образованию раковых клеток.
Поражение зрительного нерва
Случается, что глиальные элементы зрительного нерва становятся очагом развития глиомы. Как и при другой локализации, на первой стадии выраженные симптомы отсутствуют.
Постепенно новообразование растет, все больше разрушая зрительный нерв. Зрение начинает снижаться, наблюдается экзофтальм (выпячивается глазное яблоко). На поздней стадии глазной нерв атрофируется.
Глиома способна поразить зрительный нерв в любой его части. Если она располагается в глазнице, то такой вид носит название «интраорбитальный». В таком случае вся ответственность лечения ложится на офтальмолога. Если опухоль располагается в месте, где нерв прилегает к костям черепа, она называется «интракраниальная». Ее лечит нейрохирург.
Зрительный нерв поражается глиомой чаще всего в детском возрасте. При этом течение отличается доброкачественностью. Хуже всего, если заболевание вовремя не диагностировано. Оно приводит к атрофии нерва, что откликнется необратимой слепотой.
Симптомы и признаки
Проявления глиом, как и прочих образований головного мозга, зависят от того, в каком участке они располагаются, а также от размера. Все симптомы делятся на очаговые и общемозговые. Частые признаки:
- постоянные и упорные головные боли, сопровождающиеся тошнотой и рвотой, не вызывающей облегчения;
- судороги;
- нарушения речи;
- парезы и параличи ног и рук, а также любой части тела или лица;
- мышечная слабость;
- нарушения памяти и мышления.
При локализации в области височной доли нередки нарушения циркуляции ликвора, что проявляется внутричерепной гипертензией и гидроцефалией.
Опухоли медиальной и базальной области лобной доли проявляются агрессией, депрессией, нервным возбуждением, невозможностью критично оценивать собственное поведение, снижением интеллекта.
Лечение глиом 1-2 степени
При лечении доброкачественной глиомы 1 и 2 степени применяют комплекс мероприятий, который включает в себя оперативное вмешательство, химиотерапию и облучению. Только хирургическое вмешательство не помогает полностью избавиться от опухоли. Для полного ее уничтожения применяют лучевую терапию.
А также используется эндоскопия. В этом случае зараженные ткани удаляют с помощью эндоскопа, которые вводят в черепную коробку вместе с хирургическими инструментами и видеокамерой, с помощью которой можно отследить процесс хирургических манипуляций. Во время оперативного вмешательства происходит иссечение большего количества опухоли, благодаря чему устраняется сдавливание тканей мозга, восстанавливается ливерная циркуляция, внутричерепное давление стабилизируется, уменьшается отек органа и состояние больного улучшается. После этого проводится курс химиотерапии. Оперативное вмешательство объясняется еще и тем, что внутренние слои опухоли не поддаются влиянию препаратов и даже ионизирующему облучению. После этого требуется постоянное наблюдение за состоянием больного, возможно возникновение осложнений, которые проявляются в виде отека мягких тканей век и лба, внутричерепное кровоизлияние, инфицирование тканей черепа, что, в свою очередь, приводит к развитию менингита и энцефалита.
Возможные угрозы для человеческого здоровья
Новообразования спинного и головного мозга являются самыми опасными, так как из-за их особенностей и локализации многие виды лечения противопоказаны.
Независимо от месторасположения, глиомы относятся к группе неизлечимых патологий. Среди всех пациентов выживает лишь четвертая часть. Прежде всего, это больные, у которых заболевание было обнаружено на ранней стадии, а локализация опухоли позволяет провести операцию.
Если заболевание обнаружено на поздних стадиях и имеет высокую степень злокачественности, пациент погибает в течение 1-2 лет.
Прогноз для жизни
Прогноз при таком диагнозе, как глиома головного мозга, дать крайне трудно. Ведь на него влияет не только степень злокачественности опухоли. К этим факторам можно отнести локализацию новообразования, стадию, на которой оно было обнаружено, возраст и состояние здоровья больного.
Считается, что доброкачественные глиомы, подвергшиеся комплексному лечению, позволят прожить пациенту ещё не менее пяти лет.
Прогноз при анапластических опухолях и глиобластомах более неблагоприятный, так как они имеют тенденцию к быстрому рецидивированию. Поэтому продолжительность жизни больных резко уменьшается до 2-3 лет и 1 года соответственно.
Диагностирование
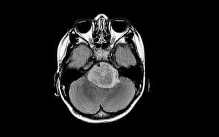
- МРТ (магнитно-резонансная томография) – один из самых информативных видов исследования. Выявляет локализацию и точный размер даже на ранних стадиях, так как предоставляет врачам картинку МРТ в трех измерениях. Метод не противопоказан во время беременности, в отличие от других видов диагностики;
- КТ (компьютерная томография) – используется для обозначения природы образования. Проводится с применением контрастного вещества, так как опухоль способна накапливать маркеры в своих тканях;
- спектроскопия – помогает определить необходимость проведения повторной операции. Метод доступен в большинстве медицинских центров России, Израиля, Германии;
- ПЭТ (позитронно-эмиссионная томография) – дает точную информацию об уровне злокачественности процесса.
Все эти методы являются вспомогательными, а золотым стандартом при постановке достоверного диагноза является биопсия – микроскопическое исследование ткани опухоли, которая берется либо при операции, либо во время стереотаксической биопсии.
Диагностика
Так как это заболевание нервной системы, то для диагностики необходимо выявить расстройства координации, нарушения чувствительности, проверить состояния рефлексов. Кроме них применяют технические устройства, на основании данных которых и ставят диагноз.
Это такие процедуры, как:
- Электромиография, электронейрография. Эти процедуры нужны для оценки состояния скелетных мышц и периферических нервов.
- Эхоэнцефалография. Это ультразвуковая диагностика, позволяющая исследовать состояния структур головного мозга.
- Магнитно-резонансная терапия. Это наиболее частый метод исследования, позволяющий получить контрастные изображения тканей мозга.
- Компьютерная томография. Она дополняет или заменяет МРТ.
- Люмбальная пункция. Позволяет выявить наличие атипичных клеток в спинномозговой жидкости.
- Биопсия тканей опухолевого узла. Позволяет установить гистогенетическую принадлежность новообразования.
- Ангиография.
Этапы развития глиомы
Тактика лечения и прогнозы во многом зависят от того, на какой стадии обнаружено заболевание. Согласно классификации ВОЗ глиома подразделяется по четырем стадиям злокачественности:
- 1 стадия. Прогноз продолжительности жизни наиболее благоприятный, так как это доброкачественная глиома, медленно прогрессирующая. Это рак или нет? Еще нет, так как на данной стадии течение доброкачественное.
- 2 стадия. Опухоль медленно, но постоянно увеличивается, наблюдаются первичные признаки злокачественной трансформации. Нарастают неврологические и прочие симптомы, что проявляется в ухудшении состояния пациента.
- 3 степень – анапластическая глиома. Заболевание имеет симптомы злокачественной опухоли, прогноз неблагоприятный – 2-5 лет. Отсутствуют метастазы в другие части тела, но иногда наблюдается распространение опухоли в разные отделы полушарий.
- 4 стадия – объемное агрессивное образование с тенденцией к стремительному росту, обнаруживаются очаги некроза в тканях и вторичные формы рака. Опухоль неоперабельна. Продолжительность жизни у детей и взрослых редко составляет более года.
Глиома 3 степени
При заболеваниях 3 степени прогноз, к сожалению, не очень благоприятный. Даже оперативное вмешательство в большинстве случаев не гарантирует излечение. А продолжительность жизни при этом напрямую зависит от успешности проведенной операции, количества удаленной доли.
Применение лучевой и препаратной терапии помогает увеличить продолжительность жизни больного в 2 раза, что составляет 10,2 месяца, а не 5,2, как у 50% общего количества больных.
При развитии глиомы симптомы в самом начале заболевания могут быть почти незаметными. Иногда, признаки заболевания отсутствуют, и опухоль обнаруживается совершенно случайно. Если у человека есть подозрения на опухоль головного мозга — следует сразу же обратиться за консультацией к квалифицированному специалисту, рассказать обо всех признаках и симптомах и пройти полное медицинское обследование. Кроме общего обследования необходимо будет пройти и осмотр у невропатолога, во время которого доктор проверит, как больной говорит и двигается. К тому же специалисту необходимо будет провести обследование глаз больного для определения расположения опухоли и ее возможного влияния на зрительный нерв. Зрительный нерв соединяет глаза с головным мозгом, и при развитии глиомы в нем происходит воспаление и возникает отечность. Если обнаружатся такие признаки — больному понадобится незамедлительная медицинская помощь.
Лечение глиомы мозга
Опухоль глиального ряда лечится традиционно: хирургия, химио- и радиотерапия. Полное удаление глиомы головного мозга возможно только при 1 степени – доброкачественном процессе, и то не всегда. Сложность для хирурга заключается в способности образования прорастать в окружающие ткани. Немного улучшила ситуацию разработка и внедрение в медицинскую практику новейших нейрохирургических методов, таких как микрохирургия, интраоперационное картирование и пр. Сегодня большинство глиом можно удалить лишь частично.
Основы терапии представлены в таблице:
| Стадия | Методы лечения |
| Первая | Удаление опухоли, проведение химио- и/или радиотерапии при необходимости |
| Вторая | Частичная резекция рака, курсы химиотерапии, радиотерапии |
| Третья | Частичное удаление, если это возможно, курсы химиотерапии, радиотерапии |
| Четвертая | Химиотерапия, лучевая терапия. |
Противопоказанием к операции является:
- плохое состояние здоровья пациента;
- наличие других форм рака;
- сложная локализация образование либо его распространение на оба полушария.
Химио- и радиотерапия применяются как в качестве пред- и постоперационного лечения, так и в случае неоперабельной глиомы.
Совместно с традиционной тактикой в современных клиниках широко применяется стереотаксическая радиохирургия, позволяющая воздействовать на пораженное место, минимально затрагивая расположенные рядом ткани. Лучевая терапия назначается в самых тяжелых случаях. Тем не менее ни новейшие методы, ни лучевая и химиотерапия не способны заменить операцию, так как внутренняя часть глиомы плохо поддается воздействию радиации и химиопрепаратов.
Народные средства
Не способны победить опухоль, но приносят временное облегчение и являются шансом на продление жизни. Их может применять ребенок и взрослый. Но нужно понимать, что нетрадиционные методы не являются заменой профессиональной медицинской помощи.
- отвары и настойки трав – болиголов, зверобой, различные противоопухолевые сборы. Травы хорошо влияют на кровообращение, нормализуют обменные процессы и активизируют некоторые функции мозга;
- зеленый кофе – природные радикалы, содержащиеся в нем, выводят радикалы и разрушают раковые клетки. Кофе способствует уменьшению доброкачественной опухоли, является хорошим профилактическим средством;
- биологически активные добавки (БАДы) – хотя их польза не доказана, многие уверяют, что она есть. Ученные сходятся во мнении, что улучшение происходит за счет эффекта плацебо.
Хирургия опухоли
Единственный метод, с помощью которого можно добиться стойкого улучшения. Операция при глиоме должна проводиться опытным хирургом, так как малейшая ошибка может привести к нарушению функций организма, параличу и даже смерти.
Сегодня применяют следующие методы хирургического вмешательства:
- эндоскопия – малоинвазивная операция, когда в полость черепа через узкое отверстие вводятся видеокамера и хирургические инструменты. Весь процесс отображается на экране монитора. Сегодня метод применяется в более чем 50% случаев;
- радиохирургия – способ эффективен на начальных стадиях рака или как профилактический метод после эндоскопии.
Последствия операции зависят от степени поражения мозговых тканей и объема удаленного участка опухоли. В большинстве случаев глиома мозга через несколько месяцев или лет образуется снова.
Врачи возлагают большие надежды на макропрепараты генной инженерии, которые позволяют добиться существенного улучшения пациента и, возможно, станут альтернативой традиционным видам терапии.
Правильное питание
При глиоме и других видах рака необходимо исключить из рациона любые блюда, способствующие увеличению в крови канцерогенов и ухудшающие кровоток. Накладывается табу на копченую и жирную пищу.
Основную базу при лечебном питании составляют овощи, фрукты, морепродукты.
Также важно отказаться от вредных привычек:
- переедание;
- курение;
- злоупотребление алкоголем.
Продолжительность жизни с опухолью
Если новообразование отличается высокой степенью злокачественности, то большинство пациентов погибают в течение года. Еще четверть проживают около 2 лет. Прогноз жизни у детей немного лучше, так как молодой организм способен эффективнее бороться с недугом.
О благоприятном исходе можно говорить при обнаружении опухоли на 1 стадии. В этом случае возможно полное ее удаление и минимальные послеоперационные осложнения.
Сколько живут пациенты при полном удалении образования? Более 80% прооперированных пациентов – дольше 5 лет.
Что собой представляет глиома?
Глиома головного мозга, равно как и спинного, формируется из глиальных клеток. А именно астроцитов, эпендимоцитов и олигодердроцитов. Они являются своеобразными кирпичиками, поддерживающими нейроны. При этом не выполняют функцию передачи импульса. Их задача обеспечивать защиту, питание и поддержку главным клеткам центральной нервной системы.
Визуально опухолевое образование может выглядеть как узел округлой или продолговатой формы. Его размеры варьируют от нескольких миллиметров до 7-8 см в диаметре. Располагается патологический процесс в любом отделе: начиная от больших полушарий и оканчивая полостью желудочков. Изредка происходит врастание в мозговые оболочки или кости черепа.
Порой невозможно найти границы опухоли, так как она способна инфильтрировать окружающие здоровые ткани.
Прогноз и профилактика
В зоне риска развития глиомы находятся люди, организм которых длительное время подвергается воздействию токсических веществ, например, фенола, поливинилхлорида. Также в группу риска входят люди:
- пережившие серьезную черепно-мозговую травму;
- перенесшие вирусные заболевания;
- имеющие другие типы рака;
- у родственников которых была обнаружена глиома (наследственная предрасположенность).
Согласно статистике, в группу риска также входят мужчины старше 40 лет.
Чтобы предотвратить развитие болезни, нужно заботиться о своем здоровье:
- соблюдать правильное питание, не переедать, так как ожирение (липоматоз) увеличивает вероятность развития опухолей мозга и липом – образований, образующихся из жировой ткани;
- придерживаться режима сна и отдыха;
- регулярно проходить обследование.
Не секрет, что в Германии люди живут дольше. Это не в последнюю очередь связано с тем, что они бережно относятся к здоровью и постоянно проходят диагностику. Благодаря регулярному обследованию злокачественные патологии обнаруживаются на начальных стадиях, когда прогнозы благоприятные.
Основные причины/провоцирующие факторы возникновения глиом
- нарушение эмбриогенеза, когда во внутриутробном периоде в процессе закладки органов происходит сбой и «неправильные» клетки в последующем преобразуются в опухоль;
- влияние на организм ионизирующего излучения, вредных выбросов химических производств, пищевых добавок и генномодифицированных продуктов питания;
- черепно-мозговые и спинальные травмы – причём, чем их больше, тем выше шанс перерождения контузионного очага;
- «поломки» в генах, которые могут передаваться из поколения в поколение. Поэтому не так редки случаи семейной онкопатологии;
- дисфункцию иммунной системы, сопровождающуюся угнетением защитных сил организма и длительной персистенцией нейроинфекции.
Избегая травм и инфекций, можно снизить риск возникновения мозговой опухоли, так как специальных мероприятий (типа вакцинации) для профилактики данного заболевания не существует.
Как прогрессирует и растет опухоль
Стадии развития заболевания:
- Первая стадия – незлокачественное медленно развивающееся уплотнение. Оно может быть и природной доброкачественной глиомой. При успешной терапии больной живет 7-9 лет.
- Вторая стадия – медленное увеличение новообразования и перерождение в злокачественную опухоль. Наблюдаются специфические признаки болезни неврологического характера.
- Третья стадия – анапластическая глиома. Симптоматика подтверждает наличие онкологии. Даже при отсутствии метастаз разрастание опухоли задевает соседние отделы обоих полушарий мозга. Прогноз на выживаемость — от 2 до 5 лет.
- Четвертая стадия – быстрорастущая опухоль. Пациент обычно живет не больше 1 года. Эта опухоль не поддается оперативному излечению.
Диффузную глиому у маленьких пациентов лечат радиологическим методом. После кратковременного улучшения болезнь возвращается в более тяжелой форме.
Глиома – неизлечимое заболевание, прогноз в любом случае неутешительный. Иссечение опухоли путем оперативного вмешательства дает временное улучшение. Затем опухоль появляется вновь. Все лечение имеет цель – уменьшить боль и страдание пациента, улучшить качество его жизни. В среднем удается продлить ее на 5-10 лет.
Причины развития новообразований в головном мозге
Причиной появления новообразования в головном мозге выступает активное размножение несозревших глиальных клеток. Опухоль образуется в белом или сером веществе головного мозга на одном из его участков, она медленно развивается и достигает со временем десяти сантиметров в диаметре. Метастазирование происходит очень редко.
Врачи не определили точные причины даннойпатологии мозга. Существует мнение, что это связано с генетикой, когда происходит нарушение строения гена ТР53. Так как патология в настоящее время мало изучена, она трудно поддается лечению.
Лечение народными средствами
В случае глиобластомы народные методы могут быть исключительно дополнительными способами лечения, направленными на уменьшение выраженности симптомов. Если заменять традиционную схему лечения народными средствами, скорый летальный исход неизбежен.
- Компресс из редьки – редьку натереть и посолить. Когда начнет выделяться сок, массой нужно натереть голову и замотать ее полотенцем. Курс длится три недели.
- Содовый раствор – в 100 г воды растворяют 3 г соды и пьют такой раствор. Постепенно количество соды увеличивают до 5 г.
- Чай из ромашки – его готовят из сушеных цветков ромашки (15 г сырья на стакан кипятка). Пьют вместо чая.
Постановка диагноза
Глиому головного мозга лучше всего обнаружить в тот момент, когда она маленького размера. Для этого рекомендуется проходить профилактическое обследование, чтобы можно было своевременно заметить проблему. Если же начались негативные симптомы, тогда следует незамедлительно посетить доктора и пройти ряд исследований.
Обращаться следует к неврологу, этот специалист выслушает жалобы человека, а также выявит последовательности признаков возникновения заболевания. При неврологическом осмотре важно провести оценку изменений, относящихся к функции опорно-двигательного аппарата. Также нужно проверить чувствительность кожи, мышечную силу и тонус организма.
Если подтвердятся подозрения на глиому головного мозга, тогда специалист назначит ряд обследований:
- МРТ. Процедура проводится практически во всех случаях, когда есть подозрения на мозговые патологии. Метод считается точным, потому как благодаря ему можно не только рассмотреть опухоль, но и уточнить её размер, место расположения и обнаружить процесс инфильтрации.
- Эхоэнцефалографию нужно проводить с целью выявления гидроцефалии и проблем со средними структурами мозга.
- Люмбальную пункцию выполняют для того, чтобы получить на анализ спинномозговую жидкость и обследовать патологические клетки.
- ЭЭГ требуется провести в той ситуации, когда имеется судорожный синдром.
- Посещение офтальмолога необходимо, когда у человека имеются зрительные нарушения.
- Ангиографию проводят с целью оценить мозговые сосуды, что немаловажно при появлении опухоли.
- Компьютерную томографию могут использовать вместо МРТ, а также в дополнение к нему. Данное исследование тоже позволяет оценить состояние мозга.
- Электромиография требуется для того, чтобы можно было обнаружить отклонения в нервно-мышечном аппарате.
Глиому мозга могут диагностировать только после того, как специалист исследует образец тканей, полученный из опухоли. Важно денное заболевание отделить от абсцесса, гематомы, а также эпилепсии. Если диагноз подтвердится, тогда потребуется лечение глиомы головного мозга.
Низкая злокачественность
Образования на первой стадии относят к доброкачественным. Они хорошо поддаются радио- и химиотерапии. Важно вовремя ими «заняться», ведь при отсутствии грамотного системного лечения доброкачественное новообразование может быстро перерасти в злокачественное.
Первые признаки заболевания могут дать знать о себе спустя несколько лет после того, как глиома появилась. Доброкачественные опухоли чаще всего располагаются в больших полушариях, мозжечке. Им подвержены дети и молодежь до 20-ти лет.
Нетрадиционная медицина
Жизнь человека при глиоме причиняет ему страдания. В некоторых случаях рекомендуется использовать народную медицину для улучшения качества жизни больного. Такая терапия проводится только вместе с медицинскими методами лечения, так как неспособна излечить человека от недуга, а только уменьшить симптоматику его проявления. Рекомендуется использовать народное лечение при первых симптомах. Для этого применяют настои различных трав с целью улучшения мозгового кровоснабжения, улучшению процессов обмена веществ, восстановлению функций клеток. При доброкачественных новообразованиях рекомендуется употребление зеленого кофе, который способствует удалению из клеток свободных радикалов. Нельзя во время лечения употреблять продукты, которые в своем составе имеют канцерогены.
Характеристика
В медицине под глиомой подразумевается первичное новообразование, которое отличается специфической симптоматикой, что позволяет специалисту заподозрить данное заболевание еще до проведения диагностики. Как показывает практика, это отклонение от нормы обнаруживается у большей части пациентов (более 60%), имеющих патогенный рост клеток в мозге. Основой для развития такого новообразования является глия — одна из важнейших структур нервной системы. У здорового человека глиальные клетки составляют чуть менее 10% от объема всего головного мозга и наполняют пустое пространство между сосудами и нейронами.
После определенного возраста число нейронов уменьшается, а количество глии, наоборот, увеличивается. Находящиеся вокруг нервов глиальные клетки не только защищают головной мозг, но и передают импульсы. Чаще всего глиома образуется в тканях желудочка или в хиазме, но также бывали случаи, когда нарост образовывался в зрительном нерве.
Подобное новообразование внешне напоминает небольшой узелок с ярко выраженными границами и чаще всего имеет розовую или сероватую окраску. Диаметр новообразования, как правило, составляет 2–5 мм, но в медицине также были случае, когда размер нароста превышал 5 см.
Поскольку для глиомы мозга свойственен инфильтративный рост, выявить границы между здоровыми и пораженными тканями затруднительно, именно эта проблема и усложняет процесс лечения. Кроме того, на начальной стадии болезнь очень часто путают с неврологическими патологиями, поскольку они имеют схожую симптоматику.
Стадии глиом
В основе разделения болезни может лежать степень злокачественности процесса – непосредственная величина риска для жизни пациента:
- К первой степени принято относить новообразования с медленным, доброкачественным течением — ювенильная астроцитома, или же гигантоклеточная астроцитома. При своевременно проведенных лечебных процедурах удается продлить срок жизнь человека более чем на 10 лет.
- Ко второй степени относят глиомы с явными признаками малигнизации — клеточной атипии. Симптомы ухудшения состояния заключаются в постепенно нарастании неврологической симптоматики.
- О третьей степени озлокачествления говорят, если в результате обследования обнаруживается ядерная атипия, а также микропролиферация эндотелия либо фигуры митоза. Анапластическая глиома имеет неблагоприятный прогноз в отношении выживаемости пациентов – не более 2–5 лет. Опухолевый процесс распространяется в различные отделы мозга, процесс приобретает диффузный характер.
- Четвертая же степень присваивается новообразованию в том случае, если помимо вышеперечисленных признаков обнаруживаются очаги с некротизированными клетками. Прогноз крайне неблагоприятен – срок жизни пациента после выставления диагноза не превышает 1 г.
Регулярное проведение профилактических осмотров с включением в него консультацией невропатолога способствует раннему выявлению настораживающих в отношении опухолевых новообразований состояний.
