Для пострадавшего повреждение костей голени означает повреждение малоберцовой или (и) большеберцовой кости. Значение имеет линия излома, количество отломков, от этого зависит тактика лечения и сроки срастания. От всех повреждений подобная травма составляет 10%, каждая десятая травма – перелом голени. Повреждаются обе кости примерно посредине, но могут и в разных местах.
Аспекты анатомии
В состав скелета голени входят две кости: мощная и опорная для нижней конечности – большеберцовая, второй является малоберцовая. Соединены они между собой межкостной мембраной. Основная нагрузка приходится на большеберцовую кость, которая располагается кнутри и массивнее. Верхняя часть кости имеет расширение в виде двух площадок, между которыми расположено межмыщелковое возвышение, к нему крепятся передняя и задняя крестообразные связки. При помощи этого участка, который носит название мыщелков и происходит образование коленного сустава.
Под мыщелками спереди имеется большеберцовая бугристость, она служит для фиксации собственной связки надколенника. Тело имеет треугольное сечение, передний его край можно легко прощупать под кожей, он не прикрыт тканями. Внизу большеберцовая кость расширена, нижняя ее площадка служит для образования голеностопного сустава, ограниченного с внутренней стороны одноименной лодыжкой.
Малоберцовая кость существенно тоньше, и расположена по внутренней стороне. Вверху она имеет головку, которая сочленяется с большеберцовой костью под мыщелками. Тело кости трехгранной формы, нижняя часть расширена и внизу образует наружную лодыжку. Это образование участвует в стабилизации голеностопного сустава.
Первая помощь
Первая помощь оказывается подручными средствами. Цель — купировать острую боль и сильное кровотечение, дождаться приезда медиков, правильно транспортировать пострадавшего в больницу. При своевременных действиях всегда удается избежать осложнений.
Прежде всего необходимо вызвать скорую помощь и оценить общее состояние потерпевшего. Затем следует действовать следующим образом:
- уложить человека как можно более удобно, ограничивая контакт с поврежденной конечностью;
- максимально аккуратно освободить травмированный участок от одежды и обуви;
- приложить к перелому холод, по возможности обезболить;
- если присутствует рана, то ее нужно осторожно очистить от загрязнений, удалить инородные тела и промыть;
- при открытом ранении, сопровождающемся кровотечением, накладывается тугая повязка выше артерии или ниже вены;
- ногу неподвижно фиксируют для предотвращения смещения отломков, при переломе обеих костей голени следует действовать особенно осторожно.
Дальнейшие мероприятия проводит фельдшер или врач:
- оценивает самочувствие, принимает решение о госпитализации или оказывает на месте дополнительную помощь;
- осматривает поврежденную ногу, накладывает специальную транспортную шину, делает обезболивание;
- при открытом переломе обрабатывает рану и использует стерильную повязку, интенсивное кровотечение останавливает жгутом, иммобилизует ногу;
- принимает противошоковые меры.
Причины травмы
Наиболее частой причиной перелома костей голени является ДТП, а сама травма сопровождается осложнениями. В каждом отделе костей голени можно выделить свои причины, приводящие к повреждению.
Факторы, приводящие к повреждению межмыщелкового возвышения зачастую непрямые. Сила не действует непосредственно на коленный сустав, примером может стать падение с высоты на вытянутую ногу.
С мыщелками обстоятельства состоят немного иначе, воздействующих сил может быть две. Выделить можно:
- Прямую травму, когда сила повреждения непосредственно действует на колено. Это может быть падение, удар или автокатастрофа.
- При непрямой травме повреждающая сила воздействует в другом месте. Пострадавший может упасть с большой высоты на прямую ногу.
Повреждение тела большеберцовой кости ввиду отсутствия мягких тканей также имеет прямой или непрямой механизм повреждения. Примером прямой травмы может стать:
- удар по телу большеберцовой кости;
- падение тяжелого груза;
- сдавление между предметами (к примеру, между машиной и стеной во время аварии).
Непрямой механизм проявляется как:
- падение с большой высоты на прямую ногу;
- резкий поворот при условии фиксированной стопы.
В последнем случае перелом имеет название винтообразного, линия излома проходит по спирали.
Свои причины имеются и при переломе лодыжек, наглядно они представлены на фото. Чаще всего стопа подворачивается кнутри или кнаружи с нагрузкой по оси конечности собственного веса. Повредиться кость может в результате удара или падения на кость тяжелого предмета.
Причины

Классификация повреждений голени
Повреждения могут иметь открытый, когда есть рана с отломками в дне или закрытый характер (без повреждения кожных покровов), а также быть со смещением или без него. Также переломы могут быть без отломков или многооскольчатыми. Повреждение может быть по типу трещины или неполными, а также на весь диаметр кости. Выделяют переломы костей голени:
- межмыщелкового возвышения большеберцовой кости;
- в области мыщелков;
- переломы тела больше- и малоберцовой костей;
- повреждения лодыжек.
Переломы межмыщелкового возвышения
Для межмыщелкового возвышения характерны повреждения без смещения, с частичным или полным смещением.
Своя классификация разработана для повреждений мыщелков большеберцовой кости. При вертикальном ударе повреждение имеет V- или Т-образную форму. При отклоненной голени кнутри или кнаружи повреждается один из мыщелков.
Повреждения мыщелков
Классификация
В зависимости от локализации, наличия и характера отломков, степени ушиба мягких тканей и суставов существует несколько классификаций такой травмы.
- По числу пострадавших костей:
- комбинированные — страдают обе кости.
- По линии излома:
- спиральные — неровная линия;
- косые — линия диагональная.
- По наличию повреждений мягких тканей:
- закрытый перелом голени — отсутствие раневых поверхностей, минимальное повреждение мышц, отломки не выступают наружу.
- По форме края деформации:
- ровные — края без выступов.
- По положению фрагментов:
- со смещением — части сегментов сдвинуты по отношению друг к другу.
- По количеству отломков:
- множественные — несколько одновременных переломов костей, когда появляется 3 фрагмента и более.
- По месту локализации:
- внутрисуставные — деформируются сегменты коленного или голеностопного сочленения, такие как мыщелок, лодыжка или иные.
- По поврежденной области:
- серединные — травма диафиза (центрального отдела);
- дистальные — нарушение целостности нижней части кости.
Открытый перелом голени является самым опасным видом из-за риска большой кровопотери, инфицирования раны и возможности возникновения болевого шока.

- место локализации;
- присутствие сопутствующих осложнений, таких как разрывы сосудов и тканей;
- наличие и расположение отломков;
- состояние суставных поверхностей.
Симптомы повреждения различных отделов голени
Свои симптомы имеет перелом костей голени в любом отделе, с ними предстоит разобраться более подробно. Для межмыщелкового возвышения характерны:
- болезненность в области коленного сустава;
- отечность сустава и увеличение его в объеме;
- движения в суставе резко ограничены;
- кровоподтеки под кожу и в полость коленного сустава;
- осевая нагрузка на пятку приносит боль внутри колена.
Для мыщелков большеберцовой кости характерна несколько иная симптоматика. От остальных повреждений признаки перелома голени в области мыщелков отличаются. Характерно:
- значительное увеличение в объеме коленного сустава;
- боль в колене резкого характера, за счет которой движения в нем невозможны;
- при нажатии на колено боль становится сильнее;
- отклонение голени в сторону при смещении отломка;
- в коленном суставе скапливается кровь;
- осевая нагрузка на область пятки резко болезненна.
Более яркая клиническая симптоматика характерна для повреждения тела большеберцовой и малоберцовой кости. Пострадавшего беспокоит:
- выраженная болезненность, усиливающаяся при пальпации;
- отечность в месте повреждения;
- кровоподтек под кожей;
- голень деформирована;
- движения в коленном и голеностопном суставах резко ограничены из-за боли;
- ось голени искривлена;
- западение при прощупывании переднего края большеберцовой кости;
- патологическая подвижность и крепитация;
- открытый перелом голени характерен тем, что в ране видны отломки кости, они могут торчать над кожей.
Разновидности травмы
Повреждения классифицируются по нескольким основаниям.
- По конкретному месту травмирования выделяют перелом костей голени в районе лодыжки, большой и/или малой берцовой кости (либо перелом обеих берцовых костей голени), мыщелков и возвышения между большой берцовой и мыщелком.
- В зависимости от вовлеченности конечностей в травму, может иметь место травма на одной или двух ногах. Во втором случае речь идет про так называемый бамперный перелом (название связано с самым распространенным механизмом получения повреждения – от удара бампером автомобиля).
- С учетом количества костных разломов принято говорить про единичный и множественный либо оскольчатый перелом голени. Именно множественными обычно бывают бамперные травмы.
- Линия разлома кости позволяет выделить прямые (горизонтальные), косые (диагональные), спиралевидные переломы. Линия располагается в месте падения на ногу тяжелого предмета или в месте удара.
- По вовлеченности в травму суставных элементов костей голени определяют внутрисуставные повреждения (участвуют мыщелки или лодыжки) и, соответственно, внесуставные (когда затронуты диафизы).
- Как и в случае с повреждениями других частей тела, переломы костей голени бывают открытыми, закрытыми, без или со смещением отломков костей.
В зависимости от вида перелома подбирается оптимальный формат лечения и подходы к реабилитации.
Перелом со смещением
Обломки костей голени меняют положение, отклоняясь от естественного состояния. Перелом голени со смещением хорошо заметен внешне: характерен деформированный вид конечности, нога укорачивается, неестественно выворачивается.
Перелом без смещения
В этом случае кости раскалываются, либо появляется трещина, однако обломки не смещаются. Внешне перелом голени без смещения идентифицировать невозможно, поэтому проверкой служит наличие ирридационного симптома. Суть проверки в том, что при переломе надавливание на голень в любом месте будет отражаться болью в зоне перелома.
Бывают случаи, когда происходит перелом левой и правой голени одновременно, причем из них первым будет замечено именно повреждение со смещением.
Закрытый перелом
Разрыва кожи и мышц не происходит, сильное кровотечение не наблюдается, части сломанных костей (обломки) не видны. Однако при этом пострадавший не может поднять поврежденную конечность. Закрытый перелом голени вызывают прямые и непрямые удары, а также скручивания средней силы.
Открытый перелом
Характеризуется сильными и ярко выраженными проявлениями. Открытый перелом голени сопровождает кровотечение, разрыв мягких тканей, наружу выходят костные обломки. Пострадавший испытывает головокружение и общую слабость из-за потери крови. Часто встречается открытый перелом костей голени со смещением. Это крайне серьезная и опасная травма, которая требует скорейшего медицинского вмешательства.
Диагностика повреждений
Очень важно своевременно диагностировать перелом кости голени, на основании полученных данных врачом рекомендуется дальнейшее лечение. Сразу после поступления пострадавшего в больницу его осматривает врач, диагностируя характерные симптомы, собирает обстоятельства получения травмы. В любой ситуации показано выполнить рентгеновский снимок обязательно в двух проекциях для более точной диагностики. При повреждении отдельных частей необходимо специфическое обследование, особенно если закрытый перелом голени без смещения.
Повреждение межмыщелкового возвышения
Повреждение обеих мыщелков
При любом внутрисуставном повреждении показано проведение артроскопии, особенно при переломе межмыщелкового возвышения большеберцовой кости. Также методика позволит установить степень повреждения мыщелков и связок в полости сустава (крестообразных). В условиях операционной специальной видеокамерой врач осматривает полость сустава. Специальными инструментами проводится лечение.
При подозрении на повреждение внутрисуставных структур, что часто наблюдается при повреждении мыщелков, показано проведение МРТ. Методика позволяет на срезах установить состояние мягкотканых структур.
Переломы малоберцовой и большеберцовой костей в области тела
При возникновении сомнений на рентгеновском снимке или переломе с большим количеством отломков показано проведение КТ. При помощи этого метода врач на срезах четко видит состояние костей голени, расположение и количество отломков.
Симптомы и причины перелома
Голень во время движения человека становится своеобразной «зоной риска», как и нижние конечности в целом. Нарушение целостности костей в районе голени важно уметь как правильно определить, так и предупредить, зная потенциальные причины.
Симптомы
Основные симптомы перелома голени различаются в соответствии с тем, какая из частей кости затронута. Общие признаки – это сильные болевые ощущения у пострадавшего человека, гиперемия, отек места травмы. Кроме того, при попытке движения поврежденной ногой слышится характерный костный хруст. Опора на травмированную ногу невозможна.
Ниже рассмотрим признаки конкретных видов нарушения костной целостности голени.
Мыщелковая область
- локализация боли и отека в коленном суставе, сочленении,
- резкое усиление болей при любой попытке совершить движение,
- излияние крови в коленный сустав (гемартроз), увеличение его размера,
- подвижный наколенник,
- в случаях, когда происходит смещение костных отломков – поворот голени на сторону.
Область тела кости
- острая боль в районе большой и малой берцовой кости,
- выраженная деформация конечности,
- отек в области тела кости голени (иногда – с гематомами, кровоизлиянием),
- укороченная конечность,
- отсутствие возможности двигать ногой, а при переломе большой берцовой кости – возможности опираться на ногу,
- характерный скрип частей кости друг от друга,
- при повреждении нервных путей – падение чувствительности конечности, отвисание стопы,
- при параллельной травме сосудов – синюшность, бледность, падение температуры конечности.
Область лодыжек
- боль и отечность концентрируются в голеностопе,
- нога в нижней части увеличивается в размере,
- движение голеностопа невозможно, активность ноги ограничена,
- гематома либо открытая рана,
- стопа развернута в неестественное положение,
- пострадавший не может опираться на ногу.
Окончательно подтвердит факт сломанной голени только врач – с помощью рентгена, магнитно-резонансной или компьютерной томографии.
Причины перелома голени
Данная травма может стать результатом сильного удара или давления. Как правило, она происходит при автокатастрофах и иных чрезвычайных ситуациях, занятиях спортом или бытовых серьезных падениях. К травме приводит также резкое скручивание ноги при фиксированной стопе. Кроме того, по статистике в 5% случаев такое повреждение встречается при патологиях костной ткани (туберкулез, онкология, остеопороз, остеомиелит, врожденные дефекты).
Лечение
Перелом костей голени требует своевременного и грамотного подхода к лечению. Наиболее часто применяются пластины при переломе голени и штифты, поскольку повреждения со смещением. Если повреждение не имеет смещения, проводится консервативное лечение путем наложения гипсовой повязки. Целесообразно рассмотреть лечение переломов в различных участках.
Лечение повреждений межмыщелкового возвышения
Тактика зависит от степени тяжести повреждения, при отсутствии смещения показано консервативное ведение пациента.
Показано:
- пункция коленного сустава, во время процедуры врач в полость сустава вводит иглу и извлекает кровь или жидкость. Может быть наложена гипсовая лангета на срок от 1,5 до 2 месяцев;
- реабилитация после снятия гипса заключается в применении тепловых процедур, гимнастики и массажа.
Лечение переломов мыщелков большеберцовой кости
Пострадавший в обязательном порядке должен быть госпитализирован в стационар. Тактика лечения подбирается врачом в зависимости от степени смещения отломков.
При переломе без смещения проводится:
- При напряженном гемартрозе проводится пункция сустава и удаление жидкости или крови. Анестезия местная. После процедуры накладывается гипсовая лангета от кончиков пальцев до ягодичной складки.
- Через 2-3 недели начинается лечебная гимнастика и обязательно без нагрузки, она позволяет восстановить подвижность. Лангета снимается только на период проведения гимнастики, а потом помещается на свое место.
- Через 1-2 месяца гипс снимают, однако, человек ходит при помощи костылей без опоры на конечность.
- Спустя три месяца после травмы рекомендовано опираться на конечность во время ходьбы, нагрузка постепенная. Параллельно назначаются физиопроцедуры и массаж.
Как вариант лечения может быть применено скелетное вытяжение, суть которого состоит в проведении спицы через пяточную кость. Через систему блоков подвешивается груз, который начинается с 6 килограмм и постепенно увеличивается.
Многих сразу может заинтересовать вопрос о том, когда можно наступать на ногу, однако, только через 2 недели возможна лечебная физкультура в виде движений в колене. Через 6 недель вытяжение демонтируется, лечебная физкультура проводится более активно и сочетается с массажем. Спустя 2 месяца после травмы врачом разрешается нагрузка на ногу. Опора частично возможна спустя 3-4 месяца, ходить в этот период рекомендуется при помощи костылей. Работоспособность восстанавливается спустя 5-6 месяцев после получения человеком травмы.
Лечение T- и V-образных повреждений мыщелков
При переломе без смещения врачом накладывается циркулярный гипс на срок от 3 до 4 месяцев. Его через 2 месяца меняют на лангету, которая снимается, в этот период показаны гимнастика, массаж и физиопроцедуры.
Реабилитация и период восстановления
Поскольку перелом костей голени относится к серьезным травмам, важно подходить к восстановительному периоду со всей серьезностью. Пациенту придется набраться терпения. После перелома голени реабилитации подлежит не только двигательная активность, но также и состояние мягких тканей на пораженном участке тела.
Восстановить все функции после перелома ноги можно с помощью массажа, физиотерапии, а также стандартной ЛФК и сбалансированного питания. Средняя продолжительность реабилитации составляет около месяца.
Главные цели этого этапа – устранение мышечной атрофии, приведение тела в тонус, восстановление нормального кровоснабжения конечности, а также разработка суставов и общее возвращение подвижности ноге.
Массаж
Ежедневные растирания, переходящие в разминание и пощипывания позволяют устранить мышечную дистрофию, усиливают кровообращение, лимфоток, положительно влияют на заживление поврежденных тканей и подвижность в области суставов. Массаж начинают сразу после снятия гипса и проводят с использованием противовоспалительных кремов, мазей.
Лечебная физкультура
Упражнения необходимо делать ежедневно по 30-60 минут на протяжении всего периода реабилитации после перелома голени. Гимнастика выполняется лежа, сидя или стоя, в зависимости от состояния больного. Конкретный набор движений (махи, вращения, перекаты, ходьба обычная и на носках/пятках, велотренажер), количество подходов подбирает специалист.
Физиотерапевтические методики
Этот метод реабилитации является очень важным аспектом с точки зрения устранения воспалительных процессов и полноценного восстановления целостности тканей. Это также хороший способ улучшить метаболизм, укрепить иммунитет человека. Используются солевые и медикаментозные ванны, обертывания, электрофорез, УВЧ, УФ-облучение.
Диета
Правильный рацион служит дополнительным источником полезных веществ, которые способствуют общему восстановлению, укреплению организма. Рекомендовано питание продуктами с большим содержанием кальция и магния, а также легко усваиваемой натуральной пищей (овощи, фрукты, кисломолочные и молочные продукты, орехи, рыба). Дополнительной мерой выступает витаминотерапия (витамин С, Е, D либо поливитаминные комплексы).
Некоторое время после реабилитации пациентам предписывается ношение специальной обуви с использованием лечебного супинатора.
При переломе костей голени важно избежать следующих осложнений:
- заражение крови и закупоривание сосудов,
- нарушение нервных ходов,
- пападание к кровоток жировых тканей из кости (жировая эмболия),
- инфицирование тканей,
- деформация ноги,
- синдром ложного сустава, когда теряется двигательная возможность конечности,
- остеоартроз, остеомиелит.
Осложнения бывают результатом неправильно подобранного лечения, несвоевременно принятых мер реагирования или ошибок в процессе реабилитации. Поэтому пациенту надлежит внимательно отслеживать свое состояние совместно с врачом на всех этапах лечения.
Осложнения переломов
Посттравматический деформирующий артроз коленного сустава
При повреждении мыщелков конечность деформируется, может отклоняться в различную сторону. Также возможно разрушение суставного хряща, подобное состояние называется посттравматическим деформирующим остеоартрозом. Движения в коленном суставе ограничиваются, называется такое состояние артрогенной контрактурой.
При переломах средней трети голени может нарушаться целостность сосудов и нервов. В результате нарушается питание тканей и их подвижность. Не менее опасным осложнением является жировая эмболия, когда частички жира из костномозгового канала попадают в кровоток и способны закупорить просвет сосуда. При открытом переломе велик риск инфицирования костей и последующего развития остеомиелита. Это же может наблюдаться после оперативного вмешательства, когда в рану попадает инфекция. Конечность может быть деформирована, что наблюдается при неправильном лечении. Ложный сустав развивается при попадании между отломками мягких тканей, в результате они не могут срастись.
Осложнения после аппарата Илизарова:
- проникновение инфекции в кость в месте проведения спиц;
- повреждение сосудов и нервов при постановке аппарата;
- искривление конечности при недостаточной фиксации или слабости гаек.
Артроз после перелома нижней трети голени
После перелома лодыжек в голеностопном суставе может развиться посттравматический деформирующий артроз. Также стоит ожидать развития контрактуры и ложного сустава при неправильно проведенном лечении. При открытом переломе или во время операции в рану может попасть инфекция.
Возможные осложнения
Какие-либо осложнения возникают в случае несвоевременного оказания первой помощи при травме, по причине несоблюдения правил и рекомендаций во время восстановительного периода.
Возможные риски:
- Повреждение целостности стенок кровеносных сосудов – приводит к развитию гангрены, шока. Лечится только путем ампутации конечности.
- Повреждение корешков нервных окончаний – приводит к временному обездвиживанию конечности, параличу.
- Попадание в кровеносной сосуд жировых клеток – приводит к развитию жировой эмболии. Представляет собой неотложный случай, может стать причиной летального исхода.
- Попадание в открытую рану инфекционных возбудителей. Чревато развитием обширного воспаления, гангрены, приводит к заражению крови.
- Неправильное сращение костей – приводит к деформации нижней конечности. Корректируется путем сложной операции.
- Формирование сустава ложного типа, вследствие чего нога теряет двигательную функцию.
- Развитие таких заболеваний, как остеомиелит, остеоартроз. Причина осложнений – длительное нахождение конечности в аппарате Илизарова.
Переломы костей голени – распространенный, но достаточно тяжелый вид травмы, требующей немедленного лечения, в противном случае, возможно развитие тяжелых осложнений, вылечить которые нередко удается только путем ампутации конечности. Для полного восстановления понадобится от 2 до 6 месяцев, в зависимости от вида и тяжести травмы. Под полным восстановлением подразумевается возможность оказания на ногу привычной нагрузки.
Первая помощь при повреждении костей голени
Пока не приехали медики пострадавшему нужно оказать первую помощь. Место повреждения должно быть фиксировано по определенным правилам, стопа в форме буквы «Г». Сделать это можно при помощи стандартной шины или любого подручного средства, обмотав бинтом или тканью. Если фиксатора найти не удалось, больная нога привязывается к здоровой.
Если есть рана, на нее накладывается повязка, а кровотечение останавливается при помощи жгута. Наложить его нужно на ткань или одежду, длительность в летнее время 2, а в зимнее 1,5 часа. Обязательно к пострадавшему прикрепляется записка со временем наложения.
После получения травмы с пострадавшего снимают обувь, вправлять любые деформации категорически запрещено. К месту повреждения прикладывается холод на 20 минут, после чего на 10 делается перерыв. Подобная процедура позволит снизить боль и отек. Необходимо избегать лишних движений, которые могут причинить боль и усугубить травматический шок. Можно дать пострадавшему таблетку обезболивающего, после приезда «скорой помощи» медики дополнительно обезболят перелом специальными препаратами.
Оказание догоспитальной помощи
Открытый или же закрытый перелом голени требует оказания первой медицинской помощи. От того, насколько своевременно и правильно были проведены доврачебные манипуляции, зависит дальнейшее состояние потерпевшего человека. Лечение травмы проводится только в условиях больничного стационара.
Алгоритм действий при оказании первой помощи пострадавшему следующий:
- Вызвать скорую медицинскую помощь.
- Высвободить травмированную ногу от одежды (обувь аккуратно снять, брюки разрезать, для того чтобы минимизировать движения ногой).
- Такие симптомы, как сильная боль в ноге, слабость, можно купировать приемом обезболивающего препарата.
- Остановить кровотечение. Обработать рану антисептическими средствами.
- Зафиксировать ногу с помощью шины.
Пытаться самостоятельно вправлять ногу, крутить конечность, вставлять в рану кости при открытой травме категорически запрещено! Чем меньше двигать поврежденной ногой, тем меньше рисков осложнений.
Обязательный этап в оказании помощи пострадавшему – провести правильную иммобилизацию конечности. Для накладывания шины подойдут следующие подручные материалы – доска, фанера, длинная толстая палка, кусок пластмассы, специальные медицинские шины.
Иммобилизация ноги происходит следующим образом:
- Шину (любой другой подручный материал) накладывают на верхнюю треть бедра до пальцев.
- Нога в колене должна быть полностью разогнута.
- Сустав голеностопа должен находиться под углом в 90 градусов (стопа лежит на пятке, пальцы направлены вверх).
При отсутствии повреждений на пальцах, закрывать их бинтами не нужно. Если для наложения шины используется подручный материал, его нужно изолировать куском ткани, обмотать марлей, бинтом.
Иммобилизация открытого перелома голени проводится путем наложения шины на стороне, где нет выступающих костей. Если под рукой нет никакого материала, пригодного для наложения шины, поврежденную ногу плотно прибинтовывают к здоровой конечности.
Проксимальная травма
Лечение закрытого перелома голени проводится в течение месяца путем наложения гипса на ногу, хирургическое вмешательство и использование пластины не применяется. После снятия шины проводится реабилитационная терапия, продолжительностью от двух месяцев до полного восстановления.
Если перелом наблюдается со смещением, скорость и тип лечения зависят от наличия осколков и сложности смещения. В подобных случаях проводится репозиция обломков, установка пластины, использование средства – аппарата Илизарова.
Методы диагностики
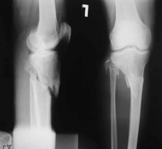
Главный метод диагностики – рентген голени, а также области двух суставов (голеностопного и коленного). Данный метод позволяет увидеть состояние костей, определить вид перелома, визуализировать смещение отломков. На рентгене перелом выглядит как темная полоска между частями кости, которая может идти в любом направлении.
Еще один метод – магнитно-резонансная томография (МРТ). Она позволяет посмотреть не только на кости, но и на окружающие их ткани. Так можно выявить разрывы мышц, сухожилий, повреждения нервов и сосудов.
Голень
I
Голень (crus)
сегмент нижней конечности, ограниченный коленным и голеностопным суставами. Различают переднюю и заднюю области голени, граница между которыми проходит изнутри по внутреннему краю большеберцовой кости, а снаружи — по линии, идущей от заднего края головки малоберцовой кости к заднему краю наружной лодыжки.
Кожа Г. тонкая, довольно подвижная. Подкожная клетчатка развита умеренно. В задней области Г. она содержит поверхностные вены и нервы. В подкожной клетчатке проходят нервы Г. и стопы. Фасция Г. покрывает подлежащие ткани на всем ее протяжении, сращена с гребнем и медиальной поверхностью большеберцовой кости. В нижней трети Г. фасция истончена. От фасции Г. в глубину тканей отходят перегородки, которые ограничивают четыре фасциальные пространства (переднее, боковое и два задних), содержащие мышцы, сосуды и нервы.
Костной основой Г. являются большеберцовая и малоберцовая кости, соединенные между собой межкостной перепонкой (рис. 1). На передней поверхности Г. пальпируется передний край большеберцовой кости, в верхней трети — бугристость большеберцовой кости (место прикрепления связки надколенника).
Мышцы Г. делят на три группы (рис. 2): переднюю (разгибатели стопы и пальцев), наружную (малоберцовые мышцы, производящие сгибание, отведение и пронацию стопы) и заднюю (сгибатели стопы и пальцев). Наиболее мощной из них является икроножная мышца.
Кровоснабжение Г. осуществляют задняя и передняя большеберцовые артерии. Венозный отток происходит по одноименным венам в подколенную вену, отток лимфы — к паховым и подколенным лимфатическим узлам. Иннервация Г. обеспечивается за счет большеберцового и общего малоберцового нервов. Сосуды и нервы голени показаны на рисунках 3—6.
При обследовании больного используют данные анамнеза, осмотр, пальпацию, измерение длины и окружности Г. на различных уровнях. Для получения сравнимых результатов измерений чаще ориентируются на верхушки лодыжек иди головки малоберцовой кости. Применяют рентгенографию (в прямой и боковой проекциях), термографию, ультразвуковое исследование (рис. 7) и др.
Пороки развития. К ним относятся редко встречающиеся врожденные Ложный сустав, амниотические перетяжки и ряд других. Чаще наблюдаются искривления Г. во фронтальной плоскости (crura vara et valga), которые обычно постепенно корригируются самостоятельно в процессе роста ребенка. Значительно реже возникают деформации Г. в сагиттальной плоскости. Врожденные деформации и укорочения Г. бывают одно- или двусторонними. Для уточнения диагноза проводят рентгенологическое исследование, в некоторых случаях ангиографию.
Лечение пороков развития Г. начинают сразу после рождения ребенка под наблюдением ортопеда. Оно может быть консервативным (протезирование, ортопедическая обувь, ЛФК, массаж, физиотерапия) или оперативным (остеотомия, удлинение Г. и др.). Основной задачей лечебных мероприятий является устранение деформации Г. и создание условий для восстановления опороспособности нижней конечности в целом. Успех реабилитации детей с пороками развития Г. можно оценить лишь после окончания роста.
Повреждения Г. наблюдаются часто. Среди механических травм мягких тканей Г. наибольшее место занимают закрытые повреждения: ушибы, отслойка кожи, подкожные разрывы фасций и мышц. После ушиба надкостницы возникает посттравматический периостит. При разрыве фасции может образоваться мышечная грыжа. Резкий прыжок или удар по напряженной мышце могут привести к ее полному или частичному разрыву, чаще наружной головки икроножной мышцы. Лечение консервативное. В первые дни назначают местно холод и покой. При обширных повреждениях мягких тканей Г. применяют иммобилизацию до 2 нед., затем ЛФК и физиотерапию.
Одним из часто встречающихся повреждений мягких тканей Г. является разрыв пяточного (ахиллова) сухожилия (рис. 8). Механизм травмы может быть прямым (удар по сухожилию в момент напряжения трехглавой мышцы голени) или непрямым (например, при прыжке). Больные указывают на характерный треск во время разрыва, затем у них нарушается походка — невозможно приподнимание на носок на поврежденной ноге. При осмотре и пальпации определяют характерное западение сухожилия — диастаз между его дистальным и проксимальным фрагментами. Лечение, как правило, оперативное. Необходима иммобилизация примерно на 6 недель, при которой стопе сначала придают положение подошвенного сгибания, а через 3 нед. гипсовую повязку заменяют, выводят стопу и среднефизиологическое положение. После прекращения иммобилизации назначают ЛФК, массаж, физиотерапию. Трудоспособность восстанавливается через 3—4 мес. Если разрыв сухожилия произошел в связи с дистрофическим его поражением, то нагрузку ограничивают на срок до 12 мес.
Среди открытых повреждений мягких тканей Г. наблюдаются рвано-ушибленные, резаные, колотые раны и др. Лечение осуществляют по общим правилам лечения ран.
Переломы костей Г. (открытые и закрытые) составляют около 10% всех переломов костей. Выделяют переломы мыщелков большеберцовой кости, диафизов и лодыжек костей Г., а также переломы головки малоберцовой кости, отрывные переломы бугристости большеберцовой кости. Переломы дистального и проксимального концов костей голени являются внутри- или околосуставными (см. Голеностопный сустав, Коленный сустав). Переломы костей Г. в верхней, средней и нижней трети диафиза могут быть косыми или спиралевидными. Повреждаются большеберцовая кость либо обе кости Г. в результате ротации Г. при фиксированной стопе, падения на ноги и др. Реже отмечаются поперечные иди оскольчатые переломы костей Г. (удар, сдавление, сгибание).
При закрытых переломах костей Г. (см. Переломы) наблюдаются патологическая подвижность, смещение и крепитация отломков, деформация Г., быстро нарастают отек, гематома, боль, нарушается функция конечности. Не столь яркие клинические проявления отмечаются при изолированных переломах костей Г. без смещения, когда может быть сохранена опороспособность конечности. При переломах диафиза большеберцовой кости центральный отломок обычно смещается внутрь и вперед, а периферический — назад и поворачивается кнаружи. Для уточнения диагноза большое значение имеет рентгенография костей Г. Рентгенограммы должны выполняться в двух проекциях на пленке крупного формата, т.к. уровни переломов большеберцовой и малоберцовой костей часто не совпадают. При прямом механизме травмы с локализацией перелома в верхней трети Г. (так называемые бамперные переломы) необходимо целенаправленно исследовать состояние связочного аппарата коленного сустава, клинические проявления повреждения которого иногда нивелируются. Переломы верхней трети Г. могут сопровождаться повреждением сосудов и нервов, кровотечением и посттравматическим отеком, который при сохранении целости фасций может быстро нарастать. В подобной ситуации требуется срочная фасциотомия.
Лечение закрытых переломов костей Г. зависит от типа повреждения, осложнений, характера смещения отломков и др. При изолированных закрытых переломах костей Г. без смещения репозиция не требуется. В большинстве случаев необходима иммобилизация с помощью циркулярной гипсовой повязки, которую накладывают от стопы до коленного сустава или до средней трети бедра. При переломах большеберцовой кости с косой плоскостью излома осевую нагрузку на конечность разрешают примерно через 2 мес., при поперечной плоскости излома — через 4—6 нед. Общая продолжительность иммобилизации до 3 мес. Трудоспособность восстанавливается через 2—3 нед. после снятия гипсовой повязки. В период иммобилизации назначают ЛФК, физиотерапию, а после ее прекращения дополнительно гидрокинезотерапию и массаж. При изолированных переломах малоберцовой кости в нижней трети накладывают U-образную повязку до колена, а при переломе в верхней и средней трети — тутор на Г. Продолжительность иммобилизации 4 нед., дозированную нагрузку разрешают со 2-й недели; трудоспособность восстанавливается через 4—5 нед. При переломах обеих костей Г. без смещения иммобилизацию осуществляют циркулярной гипсовой повязкой на 21/2—4 мес. Дозированную нагрузку при поперечно расположенной плоскости излома позволяют через 4 нед., а при косой — не ранее чем через месяц. Трудоспособность восстанавливается через 2—4 нед. после прекращения иммобилизации.
В случаях переломов костей Г. со смещением показано лечение в стационаре. Обычно репозиция достигается с помощью скелетного вытяжения в течение 1 мес. Затем на 2—3 мес. накладывают гипсовую повязку, после чего разрешают дозированную нагрузку. Трудоспособность восстанавливается через 4—5 мес. При поперечных переломах костей Г. со смещением чаще прибегают к открытой репозиции отломков с последующим Остеосинтезом. Если остеосинтез стабилен (а это основное требование к нему) функциональное лечение начинают с первых дней и постепенно увеличивают осевую нагрузку. Открытое сопоставление отломков и остеосинтез абсолютно показаны при интерпозиции мягких тканей между костными фрагментами. Основными видами остеосинтеза на Г. являются накостный (с помощью пластин) и наружный внеочаговый с помощью дистракционно-компрессионных аппаратов (Дистракционно-компрессионные аппараты). Лечение переломов костей Г. на двух уровнях (так называемых двойных переломов) без смещения отломков консервативное, при смещении показан остеосинтез. Консолидация отломков в этих случаях обычно более продолжительная, срок ее может в 2 раза превышать таковой при обычных диафизарных переломах Г. Трудоспособность восстанавливается через 7—9 мес.
У детей встречаются поднадкостничные переломы, эпифизеолизы и остеоэпифизеолизы со смещением или без него. Вертикальные трансэпифизарные переломы по внутреннему краю большеберцовой кости сопровождаются повреждением зоны роста с преждевременным ее закрытием по линии перелома, что ведет к отставанию роста медиального края большеберцовой кости с развитием варусной деформации. По окончании роста скелета показано оперативное исправление деформации.
Для открытых и огнестрельных переломов Г. характерно кровотечение, часто наблюдается Травматический шок. Течение перелома может осложняться нагноением, чаще, чем при закрытых переломах, отмечаются замедленная консолидация или несращение. Первая помощь — наложение кровоостанавливающего жгута, асептической повязки, транспортной шины и проведение противошоковых мероприятий. Пострадавшего доставляют в хирургическое отделение, где ему проводят первичную хирургическую обработку раны (Хирургическая обработка ран). Дальнейшая тактика зависит от характера осложнений, среди которых значительное место занимает Остеомиелит костей голени.
При повреждениях Г., сопровождающихся значительной травмой мягких тканей, сосудов и нервов с нарушением жизнедеятельности дистального фрагмента, иногда приходится выполнять ампутацию (Ампутация). При травматическом отчленении дистальной части нижней конечности на уровне верхней и средней трети Г. накладывают кровоостанавливающий жгут, асептическую повязку, транспортную шину; пострадавшего срочно доставляют в стационар. При отчленении на уровне нижней трети Г. может быть предпринята попытка реплантации с использованием микрохирургической техники. Пострадавшего и отчлененный сегмент конечности необходимо срочно доставить в специализированное микрохирургическое отделение. В этих случаях первичная хирургическая обработка в стационаре по месту травмы не проводится. Отчлененный сегмент конечности помещают в полиэтиленовый пакет, его — во второй пакет, в который наливают воду и кладут кусочки льда (следует избегать замораживания тканей).
Заболевания. Среди заболеваний Г. преобладает сосудистая патология — Облитерирующие поражения сосудов конечностей, Варикозное расширение вен и посттромбофлебитический синдром. Хроническая венозная недостаточность нижних конечностей проявляется отеком стоп и голеней, болевым синдромом и трофическими нарушениями в нижней трети Г. вплоть до формирования трофических язв (Трофические язвы). В результате гипокинезии, например при длительном постельном режиме после операции (особенно у лиц пожилого возраста), возможен флеботромбоз голени, который является нередким источником тромбоэмболии легочных артерий. Острый тромбофлебит наблюдается при варикозном расширении поверхностных или глубоких вен Г., в связи с воспалением мягких тканей Г., после оперативных вмешательств.
Из воспалительных процессов на Г. встречаются лимфангииты. фурункул, карбункул, рожистое воспаление (см. Рожа) и флегмона. При рецидивирующем течении рожи на Г., особенно в сочетании с варикозным расширением вен, нередко развивается слоновость. Подкожные флегмоны Г. обычно возникают как осложнения других воспалительных процессов. Реже наблюдаются глубокие флегмоны Г. Они, как правило, связаны с открытыми повреждениями или остеомиелитом. При гематогенном диссеминированном процессе остеомиелитические очаги чаще появляются в большеберцовой кости. В ее диафизе возможен первично-хронический склерозирующий остеомиелит Гарре, в метафизах — абсцесс Броди. Кости Г. могут поражаться при сифилисе, эхинококкозе и др.
Деформации голени возникают при пороках развития, нарушении минерализации костной ткани, в результате переломов, воспалительных, дистрофических и опухолевых процессов в костях Г. Различают одно- и многоплоскостные деформации Г. на различных уровнях в сочетании с ее укорочением или без него. Для уточнения типа деформации проводят рентгенографию. Небольшие вальгусные или варусные деформации Г. лечения не требуют. Значительное укорочение, рекурвация (искривление костей голени с углом открытия кпереди) являются показанием для операции.
Ложные суставы и дефекты костей Г. чаще образуются после резекции опухолей, остеомиелитических очагов и др. Клинически они проявляются необычной подвижностью в области Г., например в диафизарной ее части. Нижняя конечность в этом случае не выполняет опорную функцию. На рентгенограммах костей Г. виден дефект костной ткани или псевдоартроз. При дефекте одной из берцовых костей патологическая подвижность может отсутствовать или быть незначительной, опороспособность частично сохранена. Лечение оперативное: выполняют костную пластику, в том числе с использованием дистракционно-компрессионных аппаратов. Прогноз в отношении восстановления функции не всегда благоприятный.
В возрасте 13—15 лет, преимущественно у мальчиков, занимающихся спортом, нередко встречается остеохондропатия бугристости большеберцовой кости (болезнь Осгуда — Шлаттера). Поражение часто бывает двусторонним, оно может начаться без видимой причины либо после хронической микротравматизации проксимального отдела Г. и повышенной физической нагрузки. Над бугристостью большеберцовой кости появляются припухлость, отечность, болезненные при пальпации, опоре на коленные суставы, выносе ноги вперед и сгибании Г. Лечение консервативное (снижение физической нагрузки, физиотерапия). Обычно функция конечности полностью восстанавливается.
В результате локальной дисплазии, сопровождающейся преждевременной оссификацией медиальной или латеральной части зоны роста проксимального конца большеберцовой кости, возникает деформирующий остеохондроз большеберцовой кости, или болезнь Бланта (синдром Бланта — Эрлахера — Биезиня — Барбера, нерахитическая саблевидная голень у детей). Поражение бывает односторонним или двусторонним, характеризуется различными сочетаниями варусной и вальгусной деформации Г. Во время осевой нагрузки на конечность деформация усиливается за счет связок коленного сустава. Постоянным симптомом заболевания является хромота, часто встречаются рекурвация колена — деформация, при которой на уровне коленного сустава бедро и голень образуют угол, открытый кпереди; выступание головки малоберцовой кости или выступ на уровне метафиза большеберцовой кости, диспропорция длины верхних и нижних конечностей, плоскостопие. Лечение при выраженных степенях деформации — оперативное. Прогноз благоприятный, при нарушении режима возможны рецидивы деформации.
Опухоли. Из доброкачественных опухолей мягких тканей Г. наблюдаются фиброма и липома; в костях Г. — остеобластокластома, остеохондрома, остеома, хондрома. Среди злокачественных опухолей Г. преобладают различные саркомы.
Библиогр.: Дубров Я.Г. Амбулаторная травматология, М.,1986; Каплан Л.В. Повреждения костей и суставов, с. 468, М., 1979; Краснов А.Ф., Аршин В.М. и Цейтин М.Д. Справочник по травматологии, с. 196, 240, М., 1984; Ортопедия и травматология детского возрасти, под ред. М.В. Волкова и Г.М. Тер-Егиазарова, М., 1983; Юмашев Г.С. и Епифанов В.А. Оперативная травматология и реабилитация больных с повреждением опорно-двигательного аппарата, с. 22, 239, М., 1983.
Рис. 3. Поверхностные вены и нервы голени: 1 — большая подкожная вена ноги и подкожный нерв; 2 — фасция голени; 3 — передняя большеберцовая мышца (покрыта фасцией); 4 — кожные ветви поверхностного малоберцового нерва; 5 — ветви латерального кожного нерва икры.
Рис. 8б). Ультрасонограмма пяточных сухожилий после разрыва сухожилия: область разрыва сухожилия замещена рубцовой тканью.
Рис. 6. Артерии и вены голени: 1 — глубокий малоберцовый нерв; 2 — латеральная головка икроножной мышцы; 3 — камбаловидная мышца; 4 — малоберцовая артерия; 5 — длинный сгибатель большого пальца стопы; 6 — пяточное (ахиллово) сухожилие; 7 — задняя большеберцовая мышца; 8 — длинный сгибатель пальцев; 9 — задняя большеберцовая артерия; 10 — большеберцовый нерв; 11 — сухожильная дуга камбаловидной мышцы; 12 — медиальная головка икроножной мышцы; 13 — подколенная артерия.
Рис. 7а). Ультрасонограмма голени при посттравматической гематоме: продольный срез. Зона гематомы указана стрелками.
Рис. 2. Поперечный распил левой голени: 1 — большеберцовая кость; 2 — большеберцовый нерв; 3 — длинный сгибатель пальцев; 4 — большая подкожная вена ноги; 5 — фасция голени; 6 — задние большеберцовые артерия и вены; 7 — сухожилие подошвенной мышцы; 8 — медиальная головка икроножной мышцы; 9 — камбаловидная мышца; 10 — малая подкожная вена ноги; 11 — латеральная головка икроножной мышцы; 12 — длинный сгибатель большого пальца стопы; 13 — задняя большеберцовая мышца; 14 — задняя межмышечная перегородка голени; 15 — малоберцовая кость; 16 — длинная малоберцовая мышца; 17 — передняя межмышечная перегородка голени; 18 — длинный разгибатель пальцев; 19 — межкостная перепонка; 20 — передние большеберцовые артерия и вены; 21 — передняя большеберцовая мышца.
Рис. 7б). Ультрасонограмма голени при посттравматической гематоме: поперечный срез. Зона гематомы указана стрелками.
Рис. 1. Кости правой голени и межкостная перепонка: 1 — большеберцовая кость; 2 — малоберцовая кость; 3 — межкостная перепонка.
Рис. 4. Сосуды и нервы голени: 1 — фасция голени; 2 — передняя большеберцовая вена; 3 — большеберцовая артерия и глубокий малоберцовый нерв; 4 — передняя большеберцовая мышца; 5 — длинный разгибатель большого пальца стопы; 6 — сосудисто-нервный пучок в нижнем отделе голени; 7 — кожные ветви поверхностного малоберцового нерва; 8 — икроножный нерв; 9 — длинный разгибатель пальцев; 10 — поверхностный малоберцовый нерв; 11 — короткая малоберцовая мышца; 12 — общий малоберцовый нерв; 13 — длинная малоберцовая мышца.
Рис. 5. Поверхностные вены и нервы голени: 1 — латеральный кожный нерв икры; 2 — малая подкожная вена ноги и медиальный кожный нерв икры; 3 — ветви латерального кожного нерва икры; 4 — пяточное (ахиллово) сухожилие; 5 — истоки малой подкожной вены ноги; 6 — икроножная мышца, покрытая фасцией голени; 7 — анастомоз систем большой и малой подкожных вен ноги.
Рис. 8а). Ультрасонограмма пяточных сухожилий в норме: нормальная структура сухожилия.
II
Голень
сегмент нижней конечности, ограниченный коленным и голеностопным суставами. Скелет голени состоит из большеберцовой и малоберцовой костей. Большеберцовая кость расположена с внутренней стороны, а малоберцовая — с наружной. Большеберцовая кость имеет вид призмы с хорошо выраженными гребнями, передний гребень легко прощупывается под кожей. Верхний отдел ее расширен и имеет два суставных мыщелка (наружный и внутренний), которые сочленяются с бедренной костью. Нижний конец большеберцовой кости имеет четырехгранную форму, внутренний край ее внизу переходит во внутреннюю лодыжку. Верхний конец малоберцовой кости расширен и называется головкой, а нижний вытянут и образует наружную лодыжку. Обе кости соединены между собой межкостной перепонкой. Нижний конец большеберцовой кости, наружная и внутренняя лодыжки сочленяются с таранной костью, формируя Голеностопный сустав. Мышцы голени разделяют на три группы: переднюю (разгибатели стопы и пальцев), наружную (малоберцовые, производящие сгибание, отведение и приподнимание наружного края стопы) и заднюю (сгибатели стопы и пальцев). Из них самой мощной является икроножная мышца, которая через пяточное (ахиллово) сухожилие прикрепляется к пяточной кости на стопе (см. рисунок к статье Мышцы). Кровоснабжение голени осуществляется задней и передней большеберцовыми артериями, берущими начало от подколенной артерии. Одноименные вены сопровождают артерии и впадают в подколенную вену. Иннервация голени осуществляется большеберцовым и малоберцовым нервами.
Повреждения голени наблюдаются довольно часто. Среди механических травм мягких тканей наибольшее место занимают закрытые повреждения: ушибы, отслойка кожи, подкожные разрывы фасций и мышц. После ушиба надкостницы возникает так называемый посттравматический периостит. При разрыве фасции может образоваться мышечная грыжа. Резкий прыжок или удар по напряженной мышце могут привести к ее полному или частичному разрыву, чаще наружной головки икроножной мышцы. Лечение большинства закрытых повреждений мягких тканей Г. консервативное — покой, возвышенное положение, в первые дни холод к месту травмы (рис. 1). При обширных повреждениях мягких тканей Г применяют иммобилизацию до 2 нед., затем назначают лечебную гимнастику и массаж.
Одним из часто встречающихся повреждений мягких тканей Г. является разрыв пяточного (ахиллова) сухожилия. Механизм травмы может быть прямым (удар по сухожилию в момент напряжения трехглавой мышцы голени) или непрямым (например, при прыжке). Обычно отмечается характерный треск во время разрыва, затем нарушается походка — невозможно приподнимание на носок на поврежденной ноге. При ощупывании сухожилия определяется характерное западение в месте разрыва. Постепенно это место начинает припухать и определить его становится труднее. К месту повреждения прикладывают холод, обездвиживают коленный и голеностопный суставы, для предотвращения большего расхождения разорвавшихся концов сухожилия стопе придают положение сильного подошвенного сгибания. С этой целью можно (при шинировании импровизированной шиной) на тыльную поверхность стопы и переднюю поверхность голени прибинтовывать дощечку (например, линейку). При таком повреждении также желательно немного согнуть ногу в коленном суставе. Пострадавшему нельзя наступать на ногу. Во время транспортировки, особенно если она длится несколько часов и тем более дней, поврежденной конечности лучше придать возвышенное положение.
Среди открытых повреждений мягких тканей Г. наблюдаются рваноушибленные, резаные, колотые раны и др. Лечение, в т. ч. и первая помощь, осуществляется по общим принципам лечения ран (Раны).
Вывих голени — см. Коленный сустав.
Переломы костей Г. бывают открытые и закрытые. Выделяют переломы мыщелков большеберцовой кости, диафизов и лодыжек, а также головки малоберцовой кости. Переломы верхнего и нижнего концов костей Г. относятся к внутри- и околосуставным (см. Голеностопный сустав, Коленный сустав). Переломы костей Г. в верхней, средней и нижней трети диафиза могут быть косыми или спиралевидными (рис. 2). Повреждаются большеберцовая кость либо обе кости Г. в результате как бы скручивания Г. при фиксированной стопе, падения на ноги и т.п. Реже отмечаются поперечные или оскольчатые переломы костей голени (удар, сдавление, сгибание).
При закрытых переломах костей Г. наблюдаются патологическая подвижность, смещение и хруст при движении отломков, деформация Г., быстро нарастает отек, появляется боль, нарушается функция конечности. Проявления изолированного перелома костей Г. без смещения не столь яркие, может быть сохранена опороспособность конечности (пострадавший может на нее в той или иной степени наступать). При прямой травме костей Г. (например, ударе бампером автомашины — так называемый бамперный перелом) помимо нарушения целости костей Г. нередко повреждаются связки коленного сустава, что сразу определить бывает сложно даже опытному врачу. При переломах костей Г. в верхней трети могут повреждаться сосуды и нервы. Обширное кровоизлияние в ткани Г. после травмы, особенно если не повреждена фасция, ведет к быстрому нарастанию отека, для предотвращения тяжелых последствий которого нужна срочная операция.
Первая помощь при закрытых переломах Г. состоит в обездвижении поврежденной ноги с помощью стандартных транспортных шин или подручных средств. Лучше транспортную иммобилизацию осуществлять с помощью лестничной шины Крамера (см. рис. 4 к ст. Бедро). Ее использование не сложно и обычно не требует специального обучения. Эту шину с мягкой ватной прокладкой хорошо моделируют по изгибам конечности, накладывают по задней поверхности бедра и голени от ягодичной складки до пятки; затем ее перегибают под прямым углом на подошву, доходя до кончиков пальцев. По бокам можно добавить две фанерные шины, и все устройство затем зафиксировать спиральной повязкой. Так называемые сетчатые или импровизированные из проволочной арматуры шины лучше накладывать по наружной и внутренней поверхности ноги в виде стремени, а чтобы стопа не отвисала книзу, к подошве прикладывают подставку из дощечки или фанеры, которую шина охватывает в виде скобы. Завершают обездвижение прибинтовыванием всех шин и подставки к поврежденной конечности, начиная от коленного сустава.
При переломе одной из костей Г. иммобилизация также необходима, чтобы уменьшить боль, но здесь можно обойтись одной лестничной шиной, наложенной по задней поверхности поврежденной ноги. При отсутствии стандартных шин можно применить импровизированные шины из различных подручных материалов (палки, зонт, трость, лыжи, связанные пучки соломы, прутья), укрепляя их круговыми ходами ремней, веревок, полотенец, платков и т.п. выше и ниже места перелома (рис. 3). В крайнем случае для обездвижения можно прибинтовать в нескольких местах сломанную ногу к здоровой.
При открытых переломах Г. первую помощь начинают с наложения стерильной повязки на рану. Нельзя пытаться производить какие-либо манипуляции с отломками костей, выстоящими в рану. При повреждении артерий голени кровотечение останавливают первоначально путем пальцевого прижатия артерии в подколенной области, а затем накладывают Жгут кровоостанавливающий. В дальнейшем пострадавшего доставляют в хирургическое отделение, где проводятся первичная хирургическая обработка раны, иммобилизация (чаще гипсовой повязкой), скелетное вытяжение или остеосинтез (скрепление отломков с помощью металлических конструкций, специальными аппаратами и др.).
Повязки, применяемые при оказании первой помощи в связи с повреждениями Г. и заболеваниями, чаще всего бинтовые, реже сетчатые и лейкопластырные (см. Повязки). Обычно применяют, как и на предплечье, спиральную повязку с перегибами, чаще восходящую. Наложение повязки начинают с круговых ходов бинта над лодыжками, переходящих в восходящие спиральные, каждый из которых прикрывает на 2/3 предыдущий ход. Перегибы бинта делают по одной линии, обычно по передней поверхности голени. Повязку заканчивают круговыми ходами бинта.
На голень нередко накладывают косыночные (рис. 4) или эластичные бинтовые повязки для компрессии поверхностных вен при их варикозном расширении, что способствует усилению кровотока по глубоким венам и предупреждению их тромбоза. Предварительно больной должен некоторое время полежать с приподнятыми ногами для спадения вен и уменьшения отека. Бинтуют ногу эластичным трикотажным бинтом, начиная от основания пальцев. Одной рукой удерживают начало бинта, а другой раскатывают его, все время умеренно равномерно натягивая и перекрывая предыдущий тур бинта на 2/3. Нужно следить за тем, чтобы были закрыты все поверхности, в т. ч. и суставы, а бинт не образовывал складок. Эластичное бинтование проводят так же, как накладывают спиралевидную восходящую повязку, но без перегибов, т.к. за счет эластичности бинта и так достаточно хорошо моделируется поверхность конечности. При наложении повязки на голень ее фиксируют в верхней трети несколькими циркулярными турами, которые скрепляют между собой булавкой. Если же эластичную повязку накладывают на всю конечность, то, продолжив бинтование выше (коленный сустав и бедро), бинт закрепляют аналогичным образом в верхней трети бедра. Нужно следить за тем, чтобы фиксирующие туры бинта не перетягивали сильно конечность, т.к. это затруднит крово- и лимфоотток и может увеличить отечность.
Рис. 3. Транспортная иммобилизация при переломе голени с помощью подручных средств.
Рис. 2. Варианты переломов диафизов костей голени: а — перелом без смещения отломков большеберцовой кости; б — перелом со смещением отломков большеберцовой кости; в — косой перелом; г — оскольчатый перелом.
Рис. 4. Наложение косыночной повязки на поврежденную голень.
Рис. 1. Полиэтиленовый пакет со льдом, наложенный на голень в области ушиба.
III
Голень (crus, PNA, BNA, JNA)
часть нижней конечности, ограниченная коленным и голеностопным суставами.
Источник: Медицинская энциклопедия на Gufo.me
Значения в других словарях
- Голень — У человека, часть нижней конечности между бедром и стопой. Скелет Г. составляют 2 кости: большеберцовая — кнутри и малоберцовая — снаружи. Вверху эти кости сочленяются, на протяжении соединены межкостной перепонкой, а внизу — связками. Мышцы… Большая советская энциклопедия
- голень — -и, ж. Часть ноги от колена до стопы. Малый академический словарь
- голень — го́лень укр. голíнка – то же, ст.-слав. голѣнь σκέλος (Супр.), болг. го́лен (Младенов 105), сербохорв. го̏лиjен, словен. golȇn, чеш. holen ж., также holeno, слвц. holeň, польск. goleń. Возм., от го́лый, первонач. знач. «голая кость» в отличие от икры; см. Этимологический словарь Макса Фасмера
- Голень — В ноге человека имеет форму конуса, суживающегося книзу; ее скелет образуют две длинные (трубчатые) кости — большая и малая берцовые, tibia и fibula, из которых первая лежит кнутри, а вторая — кнаружи… Энциклопедический словарь Брокгауза и Ефрона
- голень — голень ж. Часть ноги от стопы до колена. Толковый словарь Ефремовой
- голень — Г’ОЛЕНЬ, голени, ·жен. Часть ноги вниз от колена до щиколотки. Толковый словарь Ушакова
- голень — сущ., кол-во синонимов: 7 артала 2 берцо 4 будылка 4 будыль 16 голяшка 10 паголенок 10 шенкель 1 Словарь синонимов русского языка
- голень — ГОЛЕНЬ Часть ноги от колена до стопы. (Терминология спорта. Толковый словарь спортивных терминов, 2001) Словарь спортивных терминов
- голень — орф. голень, -и Орфографический словарь Лопатина
- голень — ГОЛЕНЬ -и; ж. Часть ноги (у животных — задней конечности) от колена до стопы. Толковый словарь Кузнецова
- голень — ГОЛЕНЬ, голяшка ж. будыль, будылка, берцо, часть ноги от колена до ступни или лапы; голень состоит из двух костей, во всю длину, которых нижние оконечности образуют щиколотки, лодыжки; собств. Толковый словарь Даля
- голень — Общеславянское – golenь. Древнерусское – голень. Слово «голень» присутствует в древнерусском языке с XI в. и имеет общеславянский корень golenь. Существует предположение, что «голень» имеет общий корень со словом «колено». Этимологический словарь Семёнова
- голень — голень , -и Орфографический словарь. Одно Н или два?
- голень — Общеславянское слово, образованное суффиксальным способом от голый – по признаку этой части ноги от стопы до колена. См. голый. Этимологический словарь Крылова
- ГОЛЕНЬ — ГОЛЕНЬ — отдел задней конечности у наземных позвоночных (ноги — у человека) между бедром и стопой. Скелет голени — большеберцовая и малоберцовая кости. У членистоногих голень — членик ноги между бедром (или коленным члеником) и лапкой. Большой энциклопедический словарь
- голень — У членистоногих (tibia), членик ноги, проксимальным концом подвижно соединённый с бедром (у насекомых) или с коленным члеником (у паукообразных), а дистальным — с лапкой, обычно членистой. У земноводных и наземных позвоночных… Биологический энциклопедический словарь
- голень — Голень, голени, голени, голеней, голени, голеням, голень, голени, голенью, голенями, голени, голенях Грамматический словарь Зализняка
- голень — ГОЛЕНЬ, и, ж. Часть ноги (у животных задней конечности) от колена до стопы. | прил. голенной, ая, ое. Толковый словарь Ожегова
- голень — Общеслав. Суф. производное от голъ (см. голый). Первоначальное значение — «не прикрытая одеждой нижняя часть ноги». Этимологический словарь Шанского
- голень — Го́лень/. Морфемно-орфографический словарь
- Блог
- Ежи Лец
- Контакты
- Пользовательское соглашение
© 2019 Gufo.me
Если повреждена лодыжка
Это повреждения тяжелого типа, относятся к классу С. Затронут голеностоп, и необходимо позаботиться о восстановлении его подвижности после лечения и реабилитации. Совмещение осколков в таком случае проводится во время операции с общим наркозом. Осколки фиксируют различными приспособлениями, которые придется через несколько месяцев снимать во время повторной операции. После первой операции ногу обматывают гипсовой повязкой, которая захватывает половину голени и тянется до пальцев больной ноги.
Когда совмещены сдвинутые осколки лодыжки, часто возникает ее отек. Чтобы он пропал, ногу кладут на шину Белера и ставят на вытяжение. После того, как он спадает, лодыжку кладут в гипсовую лангету.
Немного анатомии
Голень располагается между бедром и стопой и состоит из двух трубчатых костей — большеберцовой и малоберцовой. Большую часть нагрузки несет на себе более крупная берцовая кость. На ней, в верхней части, располагаются выступы или мыщелки, которые соединяются с бедром и образуют нижнюю поверхность коленного сустава. Нижняя часть большеберцовой кости соединяется с таранной костью, образуя голеностопный сустав.
Малоберцовая кость находится с наружной стороны. С ее помощью увеличивается стабильность и прочность голени. Обе эти кости соединяются между собой: вверху – при помощи одного сочленения, в середине – межкостной мембраной, внизу – посредством связок. На нижней части костей голени имеются лодыжки, которые придают голеностопу поперечную стабильность.
Перелом костей голени чаще всего происходит посередине большой или малой кости или сразу в этой части происходит перелом обеих костей голени. Часто при таких переломах возникают осложнения.
Специалисты выделяют несколько видов перелома голени, которые зависят от места расположения.
Неотложные мероприятия
Первая помощь при переломе костей голени заключается в устранении боли и обездвиживании конечности с целью дальнейшей транспортировки.
До приезда специализированной бригады необходимо убедиться, что пострадавший находится в безопасности. Важно осмотреть его на предмет наличия других повреждений, удостовериться в отсутствии нарушений дыхания, сердечной деятельности, провести реанимационные мероприятия при необходимости.
При подозрении на травму спины, головы или шеи пострадавшего не передвигать!
Первая медицинская помощь должна быть оказана на месте, до приезда бригады скорой помощи. Алгоритм действий:
- Освободите поврежденную ногу от одежды и обуви, избегая манипуляций, способных утяжелить травму. Поскольку отек ноги после перелома лодыжки нарастает в течение нескольких часов , необходимо предотвратить сдавление тканей.
- Обеспечьте обезболивание пострадавшего, если нет признаков повреждения внутренних органов. Предпочтительно внутримышечное введение нестероидных анальгетиков (2-4 мл анальгина, 1-2 мл тримеперидина). При невозможности используйте таблетированные формы препаратов (ибупрофен, найз).
- Приподнимите сломанную конечность, подложив под нее валик из подручных материалов. Это позволит улучшить отток крови от места повреждения, уменьшить отек после перелома.
- При обнаружении повреждений кожи костными отломками накройте рану чистой тканью.
- Кровотечение необходимо остановить, наложив жгут выше места перелома. Каждые полчаса жгут снимается на 20-30 секунд для предотвращения отмирания тканей.
- Обездвижьте лодыжку для предупреждения смещения костей и травматизации окружающих структур.
- Перед наложением шины убедитесь в наличии пульсации и сохранности чувствительности ниже места перелома: сравните цвет, температуру пострадавшей и неповрежденной конечностей.
- Повторно оцените состояние после иммобилизации.
Один из способов иммобилизации ноги при переломе голени или лодыжки
Для уменьшения отека ноги, сопровождающего перелом лодыжки, необходимо охладить область повреждения имеющимися средствами. При применении пакета со льдом расположите между ним и кожей полотенце, чтобы избежать обморожения. Осложнения, возникающие в процессе оказания первой помощи, обусловлены травматизацией сосудисто-нервных пучков, передислокацией костных отломков, усилением кровотечения, развитием шоковой реакции.
Иммобилизация
При создании импровизированных шин используются зонты, трости, связанные вместе ветки, картон. Укрепление конструкции обеспечивается за счет веревок, полотенец, платков выше и ниже места перелома. Под стопу подставляется дощечка либо планка с сохранением прямого угла между голенью и стопой.
В арсенале бригады скорой помощи имеются специальные шины – Крамера, Дитерихса, вакуумные и пневматические.
Массаж с физиопроцедурами
Массаж в случае закрытого перелома может назначаться с самых первых дней после наложения гипсовой повязки.
Места проведения массажа – это области, не покрытые повязкой. К примеру, это может быть бедро. После снятия гипса массаж захватывает всю поверхность ноги.
Процедуры массажа должны применяться на обеих ногах, поскольку вся нагрузка на время периода восстановления выпадает на здоровую ногу.
Сначала выполняются поглаживания, которые сменяются активными растираниями для разогревания кожных покровов и подлежащих тканей.
В процесс вовлекаются обе руки массажиста. Используется кедровое масло или мази для устранения отечности (“Венолайф”, “Быструмгель”).
Завершают процесс разминания, постукивания, поглаживание, которые советуют повторять регулярно на протяжении массажа.
Противопоказания: обострение кожных заболеваний, высокая температура, сосудистая патология, острые инфекции, болезни крови.
В качестве физиопроцедур при переломах будут назначены тепловые процедуры. Это может быть УВЧ, электрофорез, интерференционные токи. Любая из перечисленных процедур благотворно сказывается на общем состоянии и увеличивает скорость выздоровления.
Реабилитация
Для возобновления двигательной функции требуется длительный период восстановления, особенно важна правильная реабилитация после перелома голени со смещением. При сращении костей атрофируются мышцы ноги, под давлением гипсовой повязки нарушается циркуляция крови, поэтому пациенту необходимо приложить много усилий для возвращения к привычной жизни. Существует ряд методов:
- оздоровительный массаж — является профилактикой образования рубцов на мягких тканях, пациент нуждается в нем сразу после снятия фиксирующей повязки;
- лечебная физкультура — упражнения подбираются индивидуально, для поддержания тонуса стоит заниматься ежедневно;
- физиотерапия — ускоряет процессы заживления и предотвращает воспаления;
- правильное питание — рацион должен состоять преимущественно из продуктов, богатых кальцием и железом;
- умеренные физические нагрузки — первое время разрешается шевелить пальцами, поднимать и опускать ногу, затем следует подключать специальные упражнения и много ходить, когда можно будет наступать на ногу, на конечном этапе делается упор на тренировку мышц голеностопного сустава.
Для скорейшего восстановления, следует точно соблюдать рекомендации лечащего врача как в стационаре, так и при лечении дома.
Травма нижней части голени
Подобная травма считается сложной, потребуется операция стопы как лечение. Смысл заключается в использовании для скрепления и восстановления кости болтов пластины и прочих конструкций. После установки накладывается гипс, обеспечивающий дополнительную фиксацию пластины. После месяца носки гипсовой повязки назначается операция по удалению пластины, если рентгеновские снимки подтвердили срастание поврежденной кости.
При дальнейшем восстановлении используются ортезы. Если повреждена головка большой берцовой кости, требуется операция с установкой пластины специальной формы, чтобы закрепить поврежденный участок кости. Гипс носится в течение 90 дней.
В зависимости от сложности перелома и степени повреждения кости при лечении используется разнообразное дополнительное оборудование и приспособления:
- Пластины;
- Ортезы;
- Аппарат Илизарова.
На последних двух остановимся подробно.
Переломы костей голени у детей
Появление большей части патологий у маленьких пациентов связано с повышенной двигательной активностью последних.
Аномалии, возникшие вследствие падения, являются преимущественно изолированными. Травмы, полученные при ДТП, несчастных случаях либо прыжках с высоты, могут сопровождаться ЧМТ, разрывами внутренних органов, изменениями структур таза, грудной клетки.
К числу часто встречающихся видов деформаций костей голени у детей относятся:
- Надломы tibia по типу «ивового прута», «зеленой ветки».
- Переломы длинных трубчатых сегментов без смещения при сохранении целостности надкостницы. Особенность поражения — удержание отломков соединительнотканной оболочкой — обусловлена эластичностью последней. Линия излома чаще имеет спиралевидную форму. Более чем в половине случаев нарушается строение тибиальной кости; в 40% — структура tibia и fibula.
- Повреждения нижнего эпифиза (отрывы лодыжек при подворачивании стопы).b
- Травмы верхней трети голени. Частота их возникновений не превышает 4,7% от общего количества деформаций.
- Эпифизеолиз, остеоэпифизиолиз — смещение, отрыв окончания кости от метафиза в области эпифизарного хряща. Образование рассматриваемых видов поражений возможно только в детском возрасте, до завершения процесса окостенения.
Многооскольчатые повреждения ног у детей — эпизодическое явление.
Симптомы перелома
Пока пострадавший не обратился к врачу, ему не сделали рентгеновское обследование, тип травмы приблизительно можно определить по симптомам.
Признаки закрытого перелома без смещения
Это травма класса А. Она залечивается без хирургического вмешательства, но срок лечения составляет несколько месяцев. Он зависит от возраста и состояния здоровья пострадавшего. При таком повреждении голени треснувшие кусочки сохраняются в нужном положении, удерживаемые надкостницей. Эту неприятность часто получают дети, играющие на детской площадке без наблюдения взрослых. Они могут сломать ногу, лазая по лесенкам и паутинкам на площадке, поскольку еще не обладают ловкостью взрослого человека. Признаками такого случая являются:
- отек ноги в месте повреждения и в соседних областях;
- ощущение боли в голени;
- больная нога становится немного короче здоровой, хотя без измерительного прибора этого не выяснишь;
- в месте разлома часто образуется гематома;
- невозможность двигать ногой – движения вызывают резкую боль;
- надавливание на пострадавшую ногу в любом месте вызывает боль, локализованную в месте травмы.
Если пострадавший не придаст значение ситуации и попробует самостоятельно добраться домой, — даже если он сломал ногу, когда вышел вынести мусор, — перелом может перейти в следующую по тяжести категорию – со смещением. Поэтому при падении и боли в ноге необходимо вызвать скорую помощь, которая доставит травмированного в больницу, а там ему сделают рентгенографию и поставят диагноз.
Перелом со смещением
Он может быть класса А или В. Это повреждение ноги возникает во время драки, при ударе ботинком соперника по ноге. Безобразные ситуации этого типа происходят часто около кафе и ночных баров между нетрезвыми их посетителями. Обломки часто смещаются в различных направлениях. Смещения классифицируют по положению осколков на угловые, боковые, с вклиниванием и так далее. Лечение повреждений описанного вида происходит долго и сложно. Признаки:
- голень может двигаться и поворачиваться в направлениях, которые здоровой ноге были недоступны;
- уменьшается длина зашибленной ноги, но на глаз этого не видно – надо измерять;
- обломки могут повредить мягкую ткань ноги и порвать кожу, образуя открытую рану;
- при пальпации может ощущаться впадина в ноге;
- травмированного мучает резкая ноющая боль (как и при других видах таких травм);
- в момент травмы слышался скрип и хруст;
- нога стремительно опухает, могут образовываться гематомы (если уже не порваны ткани и кожа).
Лечение таких повреждений ноги происходит в стационаре оперативным вмешательством. Через некоторое время, исчисляемое в месяцах, иногда требуется вторая операция, если во время первой для совмещения кусочков пришлось вставлять в кость спицу. Такие травмы случаются с горнолыжниками, альпинистами, экстремалами, лазающими по небоскребам, и с неопытными водителями автомашины и с их пассажирами во время дорожно-транспортных происшествий.
Закрытый перелом голени
Закрытый перелом относят к классу А или С, что связано с положением повреждения. Если сломан диафиз, то это класс А. При этой разновидности повреждения ноги ткани голени повреждены только в случае смещения, но повреждение охватывает только близлежащие к травмированному участку кости мышцы, а наружные ткани не затронуты. Повреждение класса С случается, если травма задела голеностоп или колено. Признаки:
- резкая боль при поднятии больной ноги;
- при подъеме травмированной конечности обломанный конец кости может выпирать бугром на коже;
- при пальпации слышен хруст, вызывать его нарочно нельзя – это ведет к смещению обломков.
У молодых пострадавших описываемые переломы относятся к расщепленным, а у пожилых – к вдавленным, поскольку кости у них пористые по структуре. Опытный врач определит наличие травмы описываемого типа по пальпации, без дополнительных исследований. Но рентгенография все же необходима, чтобы определить положение обломков и сделать вывод, нужна ли операция, а если нужна, то что конкретно необходимо поправить в расположении обломков, чтобы они правильно срослись.
Открытый тип перелома
Относится к классу В или С. Такие травмы характерны именно для голени, поскольку между костью и кожей почти нет ткани, и острый обломанный край кости часто рвет кожу. В таком случае имеет значение загрязнение области раны.
Внимание! Обращаться немедленно к врачу необходимо, поскольку из-за образования кровоточащей раны в нестерильной обстановке может произойти заражение крови. Именно поэтому такое поражение голени относят к классу В – средней тяжести.
Если разлом произошел в области лодыжки, затронул сустав или в области коленного сочленения повредил нерв, его относят к тяжелой травме класса С. Самые значительные признаки:
- кровотечение из образовавшейся раны;
- резкая боль при попытке двигать ногой;
- травматический шок;
- боль не прекращается даже в неподвижном состоянии;
- возникающая у пострадавшего слабость, головокружение;
- вероятна потеря сознания.
Если травме приписывают степень крайней тяжести, хирург, чтобы спасти больного, может пойти на ампутацию ноги. Без согласия пострадавшего он, конечно, делать этого не будет. Если травмированный находится без сознания, врач спросит согласие на такую операцию у его родственников. Но решение надо принимать без промедления, поскольку, если начнется гангрена, она грозит летальным исходом.
Если больной обратился к травматологу быстро, медицинские работники качественно провели первоначальную обработку раны, конечность благополучно заживет и будет работать, как прежде.
Восстановительный период
Кости голени при правильной фиксации и соблюдении режима могут срастись в течение2-3 месяцев. При наличии осложнений реабилитация может занять до 4-6 месяцев.
Повреждение мышц, сосудов и костей значительно удлиняют время восстановления. Полная подвижность стопы может вернуться только через полгода-год. Иногда такие травмы приводят к пожизненной инвалидности. У пожилых людей переломы заживают достаточно плохо, в некоторых случаях кости вовсе не срастаются.
Какие фиксаторы используются
Вначале использую жесткую гипсовую лонгету. Ей необходимо носить до образования костной мозоли. Затем можно заменить гипс на твердый бандаж.
Позже вместо бандажа рекомендуется носить эластичный фиксатор голени или голеностопа. Последний можно заменить на тугое бинтование.
Фиксаторы носят до полного срастания перелома.
ЛФК и упражнения для разработки после перелома
Лечебная физкультура применяется после снятия гипсовой лонгеты. Комплекс упражнений разрабатывает врач. Как правило, это несложные упражнения на мышцы стопы и голени. Например, сгибание и разгибание ноги в коленном и голеностопном суставах, шевеление пальцами, круговые движения в указанных суставах. Режим тренировок также определяет врач.
Медикаменты и питание
Медикаментозное лечение необходимо назначать только в острый период. Чаще всего применяют анальгетики и нестероидные противовоспалительные препараты. При значительном отеке тканей можно также использовать диуретики, например, фуросемид.
В качестве вспомогательной терапии можно применять витамины и препараты кальция. Питание должно быть сбалансированным. Стоит увеличить потребление морской рыбы, а также свежих фруктов и овощей.
Физиотерапия
Часто при переломах используют лечение с помощью электрофореза. Данный метод позволяет увеличить поступление определенных ионов к тканям поврежденной области. Электрофорез проводят с бромом, кальцием и фосфором.
Кроме того, часто используют ультразвуковые методы терапии, а также облучение УФ-лучами.
Массаж
Массаж способствует увеличению лимфотока и улучшает кровоснабжение поврежденных тканей. Кроме того, он препятствует контрактур и атрофии мышц. Массажные движения производятся снизу-вверх, исключая механическое давление на область перелома.
Лечение перелома голени
Терапия любой травмы зависит от ее вида и сопутствующих осложнений. К консервативным методам лечения относится иммобилизация с помощью лонгеты, а также сопоставление отломков наружным методом. Остальные пособия являются оперативными и требуют хирургического вмешательства.
Иммобилизация
В том случае, если перелом не осложнен смещением кости, отломки можно сразу иммобилизовать. Для этого применяют гипсовую лонгету, которую накладывают на стопу и голень. Позже гипс сменяют более эластичные виды лонгет.
Репозиция и фиксация
Репозиция – это сопоставление отломков при переломе со смещением. Иногда это можно сделать наружно, приложив силу в определенных точках. После того, как отломки вернутся на свои места, их фиксируют. Для этого может быть достаточно иммобилизации с помощью гипсовой лонгеты. В более тяжелых случаях репозиция и фиксация производятся в ходе хирургической операции.
Оперативное лечение
Могут проводиться следующие виды операций:
- Наружное сопоставление отломков с установлением спиц. При этом производится репозиция через кожу, а в ходе операции в кость устанавливаются спицы, которые проходят через все отломки и фиксируют их на определенном месте.
- Внутреннее сопоставление с фиксацией. Этот вид лечения предусматривает репозицию костей и установку спиц в ходе одной хирургической операции.
- Чрескожная фиксация аппарата для остеосинтеза. Это введение в ткань кости внутренних частей аппарата через кожу. Наружные же части остаются на поверхности. Самым известным представителем таких конструкций является аппарат Илизарова.
Профилактика переломов
Предотвратить переломы костей голени поможет соблюдение ряда профилактических мер. В их перечне — следование правилам ПДД, выполнение техники безопасности при занятиях спортом и проведении повседневных работ.
Сохранить здоровье помогут:
- регулярные упражнения для укрепления мышц,
- полноценное питание;
- полный отказ от алкоголя, иных вредных привычек;
- ношение удобных моделей обуви.
Если избежать травмы не удалось, следует немедленно вызвать врача: своевременно оказанная помощь снизит риск развития осложнений, минимизирует период реабилитации.
Единые принципы лечения
Лечение любых травм голени вне зависимости от вида сводится к восстановлению структуры ноги, фиксации и сращиванию кости. Последовательность выполняемых манипуляций практически одинакова. Необходимое лечение выглядит описанным образом:
- Размещение отломков в естественное положение. Репозицию выполняет хирург с использованием местного обезболивающего: руками, при помощи скелетной вытяжки либо прибегает к хирургии.
Аппарат Илизарова
- Фиксирование отдельных частей дополнительными средствами: спицы, боковые петли, аппарат Илизарова и пр. В ходе закрепления используется пластина и болты.
- Иммобилизация нужной трети ноги при помощи гипса либо специального аппарата. Процедура длится несколько месяцев, до момента образования костной мозоли.
- Реабилитация пациента, включающая массаж и специальные упражнения, восстанавливающие кровообращение и тонус мышц.
Операция
При переломе голени возможно оперативное лечение. Оперативное вмешательство производится под общим наркозом в несколько этапов:
- Оголяется кость: для этого рассекается кожа, тупым способом разводятся мышечные волокна. При открытом переломе производится обработка раны, промывание ее, удаление сгустков крови;
- Открытым способом сопоставляются осколки кости на штифт при осколочном переломе, либо выкладываются на поверхность титановой пластины и фиксируются болтами;
- Послойно зашивают дефект в обратном порядке;
- Для лучшей иммобилизации перелом фиксируется еще и гипсовой повязкой.
Полное заживление с образованием костной мозоли происходит на 6-7 месяц. Затем решается вопрос о целесообразности пластины. Если пострадавший является пожилым человеком и перелом произошел на фоне остеопороза (дегенеративное заболевание костной ткани), то платину лучше оставить для профилактики рецидива.
Если пострадавший молод и не имеет фоновых заболеваний, ухудшающих течение перелома, то необходима повторная операция – удаление пластины.
Лечение травмы голени
В стационаре, куда доставляют больного, пока готовится заключение по рентгенографии, больному вновь тщательно промывают рану. Врач назначает уколы антибиотика для исключения воздействия занесенных в момент повреждения инфекций.
Общие принципы терапии одинаковы для всех видов:
- Сначала обломки приводятся в естественное положение. Это может происходить с помощью рук хирурга в случае несложного повреждения или во время операции с анестезией при расположении обломков в разных плоскостях, под разными углами. На этом же этапе врач останавливает кровотечение.
- Второй этап – фиксирование обломков в естественном положении при помощи различных приспособлений – медицинских спиц, болтов, пластин. На этом операция заканчивается.
- Следующее действие – обездвиживание ноги, включая два сустава, ближайших к месту повреждения, при помощи наложения гипса. Гипс держат на ноге больного от нескольких недель до двух, а то и трех месяцев, в этот период врач при помощи рентгена определяет, срослась ли нога.
Когда кость приобретает свой естественный вид, гипс снимают, и начинается период реабилитации. Для конкретных типов перелома есть специфика лечения.
Признаки перелома голени
Основными симптомами, на которые следует обратить внимание при подозрении на перелом голени являются:
- Резкая интенсивная боль. Она увеличивается при надавливании на кость, попытке встать на стопу пораженной ноги, уменьшается при иммобилизации.
- Отек тканей вокруг перелома. Отек возникает всегда, но может иметь разную выраженность.
- Хруст кости при надавливании в месте перелома;
- Патологическая подвижность участка кости;
- Кровоподтек (гематома, синяк) в месте перелома.
Осложнения после травмы
Чтобы исключить риск возникновения осложнений и негативных последствий, лечение после перелома голени должно выполняться специалистом в медицинском учреждении.
Ишемическая гангрена
Заболевание, которое может привести к ампутации конечности. Возникает при следующих нарушениях:
- застой крови в венах;
- отек тканей;
- защемление артерий;
- некротические проявления;
- нарушения в нервных окончаниях.
Проявляется хромотой, болью в икре и ягодице, видоизменением голени, конечность становится бледной и отечной, ослабевают ногтевые пластины и выпадают волосы. Лечение необходимо начать при появлении первых симптомов.
Развивается гангрена быстро, имеет три стадии:
- обратимая;
- необратимая;
- биологическая смерть тканей.
Жировая эмболия
Классифицируются 2 степени:
- Механическая. Жировые части костного мозга отслаиваются и проникают по кровеносной системе в легкие.
- Биохимическая. Видоизмененные жировые эмульсии приводят к закупориванию сосудов.
Характеризуется появлением на груди сосудистой сеточки. Слизистые оболочки становятся белесыми, в анализе мочи выявляется жир, а в крови снижается уровень гемоглобина. Попадание большого количества жира в легкие приводит к летальному исходу.
Деформирование костей и походки
Некорректная репозиция приводит к неправильному срастанию костей, пациент начинает испытывать дискомфорт при ходьбе. В таком случае может быть назначена повторная операция для исправления деформаций.
Формирование ложного сустава
При неэффективном лечении консолидация перелома не происходит, вокруг костей нарастает тонкая хрящевая ткань, а свободное пространство заполняется жидкостью. Это и есть ложный сустав. Различают несколько видов:
- формирующийся;
- фиброзный;
- некротический;
- костного регенерата;
- истинный.
Избавляются от возникшей деформации в ходе операции.
Развитие остеоартроза
Если неправильно или несвоевременно наложить фиксатор голени, то начинаются изменения в суставах и хрящах и развивается остеоартроз. Для лечения назначается медикаментозная терапия.
Используй поиск
Мучает какая-то проблема? Введите в форму «Симптом» или «Название болезни» нажмите Enter и вы узнаете все лечении данной проблемы или болезни. СОДЕРЖАНИЕ
- Реабилитационно-восстановительный период
- Вмешательства с фиксацией
- Строение
- Причины
- Виды патологии
- Полезное видео
- Симптоматика
- Первая помощь
- Массаж с физиопроцедурами
- Необходимая диета
- Костная мозоль
Эта травма является достаточно серьезной, требующей оказания первой помощи при переломе голени.
Мышцы голени
Голень содержит примерно 20 мышц. Они отвечают за подъем и опускание ноги, движение пальцев ног. Достаточное количество мышц, которые приводят ноги в движение, начинаются в задней части колена и заканчиваются в районе стопы.
Голень содержит три группы мышц: передняя (мышцы, отвечающие за разгибание стоп и пальцев), наружная (малоберцовая группа мышц, отвечающая за движение наружного края стопы) и задняя (мышцы, отвечающие за сгибание стоп и пальцев).
Икроножная мышца является среди прочих самой мощной. Она начинается у пяточной кости стопы, прикрепляясь к ней через ахиллово (пяточное) сухожилие.
На тыльной части голени располагаются икры, состоящие из двух мышц: икроножной (большой мышцы, образующей выпуклости, заметные под кожей) – она образована двумя частями или головками, за счет которых достигается её ромбовидная форма, и камбаловидная – вид плоской мышцы, находящейся под икроножной.
1 — Длинная малоберцовая мышца; 2 — Длинный разгибатель пальцев; 3 — Короткая малоберцовая мышца; 4 — Сухожилие длинного разгибателя большого пальца; 5 — Большеберцовая кость; 6 — Передняя большеберцовая мышца; 7 — Верхний удерживатель сухожилий-разгибателей; 8 — Нижний удерживатель сухожилий-разгибателей
1 — Внутренняя головка икроножной мышцы; 2 — Пяточное (ахиллово) сухожилие; 3 — Подошвенная мышца; 4 — Наружная головка икроножной мышцы; 5 — Камбаловидная мышца
Когда человек идет, бежит или прыгает, икроножная мышца создает натяжение на пятке, и этим помогает двигаться вперед.
Ахиллово сухожилие считается одним из самых важных участков в составе голени. С помощью него к пяточной кости крепятся сразу три мышцы: подошвенная, икроножная и камбаловидная.
Ахиллово сухожилие дает возможность человеку бегать, прыгать и заниматься другими видами физической активности.
Сосуды и иннервация голени
Что делать при закрытой форме
При закрытом переломе сначала нужно освободить ногу от обуви, стягивающей одежды, чтобы избежать сильной отечности конечности. Затем надо провести иммобилизацию. Она заключается в наложении шины, которую можно сделать из веток, доски, металлических предметов.
Шина прочно фиксируется бинтами, лоскутами ткани. Нога должна быть обездвижена и закреплена в том положении, в котором оказалась после травмы. Пытаться вернуть конечность в прежнее состояние нельзя. Это может вызвать болевой шок и привести к повреждению мягких тканей.
После иммобилизации к конечности надо приложить лед, ткань, смоченную холодной водой. Пострадавшему дают обезболивающие препараты. Имеющиеся раны дезинфицируют и забинтовывают.

















