Россия, Тамбов
Телефон:
+7 (953) 704-00-.. Показать номер
Пн-сб: 10:00—19:00четные дни: сб выходной
whatsapp telegram vk email

Выворот века: виды болезни, симптоматика, фото, код МКБ-10, способы лечения и профилактические меры

При энтропионе веко заворачивается внутрь, а при эктропионе — выворачивается наружу. Офтальмопатологии имеют схожие причины и симптомы. Оба этих заболевания способны вызвать травмирование глаза, развитие воспалительного процесса и снижение зрения. Рассмотрим особенности заворота и выворота век и узнаем, как они лечатся.

В этой статье

  • Заворот и выворот век — в чем разница?
  • Причины заворота века
  • Симптомы энтропиона
  • Лечение заворота века
  • Причины и симптомы эктропиона
  • Лечение выворота века

Причины и формы

В подавляющем большинстве случаев встречается только эктропион нижних век. Такая особенность обусловлена меньшей, чем в верхнем веке, толщиной хрящевой ткани. Патология верхнего века развивается при некачественно проведенной блефаропластике.

Диагностируют следующие формы патологии:

  • врожденный выворот возникает вследствие недостаточной длины кожно-мышечной пластинки века. Такая форма патологии встречается крайне редко.
  • Спастический выворот развивается при спазме круговых мышц, который, в свою очередь, может возникнуть как осложнение воспалительных процессов.
  • Механический выворот возникает из-за новообразований, которые по сути являются посторонним препятствием и выворачивают веко.
  • Рубцовый выворот. В процессе заживления различного рода повреждений, например, ожогов или травм, образуется рубцовая ткань, которая отличается меньшей эластичностью. В некоторых случаях хирургическое вмешательство также может спровоцировать развитие патологии. Эктропион века послеоперационный вызван образованием шрама, который мешает полностью закрыть глаз. Силы круговых мышц и эластичности рубцовой ткани недостаточно для полного смыкания век. Однако веки закроются, если принудительно сдвинуть кожу пальцами к краю глазной орбиты.
  • Паралитический выворот может развиться при параличе лицевого нерва или после неправильно проведенных косметологических операций с ботулотоксином (ботоксом).
  • Возрастной выворот встречается чаще всего. По мере старения усиливаются различного рода дегенеративные изменения в тканях органов зрения. В некоторых случаях атрофируется подкожная жировая клетчатка, понижается мышечный тонус или развивается сухожильная слабость, из-за которых нижнее веко выворачивается и не смыкается с верхним.

image

image
image
image
image
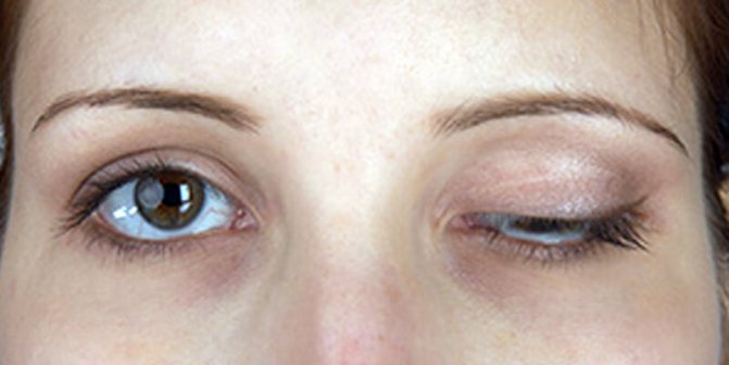
Птоз бровей имеет следующие признаки: постоянное чувство раздражения в глазу, как будто попала соринка;слишком быстро устают глаза вне зависимости от того, напрягается зрение при чтении и работе за компьютером или нет;постоянно приподнятая бровь;человек часто запрокидывает голову назад;нарушение зрения.Когда начинает развиваться блефароптоз, человек не сразу обращает внимание на изменение состояния зрения. Пациент начинает рефлекторно запрокидывать голову назад либо постоянно поднимает бровь, чтобы высвободить зрачокПри дальнейшем развитии патологии симптомы проявляются более остро.Со временем возникают трудности в закрытии глаза, так как мышца ослабевает и уже не в состоянии выполнять свою функцию. При постоянном раздражении глаза могут возникать инфекционные заболевания, еще больше усугубляющие состояние пациента. У взрослых и детей болезнь неминуемо приводит к нарушению зрения. У детей появляется косоглазие, взрослые отмечают постепенное снижение остроты зрения, появляется двоение изображения в глазах.Без своевременного лечения патология может привести к очень серьезным осложнениям и необратимым патологическим процессам, которые усугубляются у людей пожилого возраста. Диагностика эктропионаЭктропион века легко распознать самостоятельно. Офтальмолог при осмотре подтверждает диагноз, выявляет признаки осложнений, устанавливает причины и форму патологии. Вид патологии определяется по результатам внешнего осмотра и механических манипуляций с веком: так, при рубцовом эктропионе видны шрамы от повреждений тканей, веко можно вернуть в анатомически верное положение, если оттянуть кожу в сторону.Большинство новообразований также удается заметить невооруженным глазом.На паралитический эктропион дополнительно указывает снижение или полная потеря чувствительности кожи вокруг глаз.Горизонтальную слабость век можно обнаружить, если оттянуть на 8 мм от глазного яблока кожу посередине века. При этом кожа вернется в исходное положение только после моргания. Ослабление латерального (наружного) угла распознается по округлой форме этой части глазной щели. К тому же внешний угол удается оттянуть кнутри только на 2 мм.Ослабление медиального (внутреннего) угла можно определить, если оттянуть нижнее веко кнаружи. При незначительно выраженном эктропионе низшая точка касается лимба, при более значительном вывороте — зрачка глаза. Общее представление Врожденная форма патологии считается редкой аномалией, диагностируемой у одного пациента из тысячи. Подобное явление наблюдается только на нижнем веке. Хрящевая пластина нижнего века достаточно тонкая, и это делает ее подверженной к деформациям различного рода. Симптомы и течение болезниЭктропион хорошо заметен по характерной форме нижнего века. Также у пациентов наблюдается: слезотечение. Слезы вырабатываются слезными железами, которые расположены в том числе и в нижнем веке. В нижней слезной точке расположено устье слезного канальца, через который происходит отток слез в слезный мешок и далее – в носовую полость. Поскольку при эктропионе нижнее веко не примыкает вплотную к глазному яблоку, слезная точка отходит от глаза и обнажается, слезы не поглощаются, а стекают на лицо пациента.Ощущение песка в глазах. Слизистые оболочки век и глаз не смачиваются слезой, из-за чего пересыхают и раздражаются.Открытые ранки, покраснение и отек века. Многие пациенты пытаются избавиться от дискомфорта и постоянного слезотечения, протирая веко тканью (носовым платком). Однако это приводит к еще большему раздражению и изъязвлению слизистых оболочек.Кератит (воспаление роговицы). Пересыхание глаза провоцирует развитие воспалительных процессов. Если терапия эктропиона и симптоматическое лечение отсутствуют, возможно помутнение роговицы, появление на ней язв и снижение остроты зрения.Мацерация (влажное размягчение) век. В результате обильного и непрекращающегося слезотечения кожа век набухает, теряет прочность и эластичность.Видео Пример коррекции выворота векаСтоимость коррекции выворота векаНаименованиеЦенаУдаление выворота нижнего века (эктропион)60.000 руб.Прием (осмотр, консультация) врача-пластического хирурга первичныйБЕСПЛАТНОЛечениеМетоды лечения эктропиона века зависят от формы и степени выраженности патологии.Паралитический выворот устраняется по мере восстановления функциональности пораженных лицевых нервов. Если основное заболевание вылечить не удается, показано оперативное вмешательство. Может применяться временная тарзорафия — операция, при которой латеральные (внешние) края век частично или полностью сшиваются между собой. Спастический выворот века проходит после устранения основной патологии.Врожденный выворот устраняют хирургическим путем, но лишь в том случае, если данный физический недостаток не позволяет полностью смыкать веки.Для устранения сопутствующих симптомов и осложнений, а также временного повышения качества жизни пациента назначаются препараты искусственной слезы (они защищают глаз от высыхания и снижают раздражение), противовоспалительные, антибактериальные и ранозаживляющие средства – Корнерегель и др. Иногда глаз временно закрывают повязкой или лейкопластырем.В остальных случаях единственным эффективным методом лечения является хирургическое вмешательство. Хирургическое лечение осуществляется посредством блефаропластики. В зависимости от клинической картины операция проводится по методу:Кунта-Шимановского. Из века вырезается треугольная конъюнктивально-хрящевая пластинка, также иссекается аналогичный по форме и размерам кусочек кожи у латерального угла глазной щели. Далее эти ткани подтягиваются и сшиваются.Блашковича. В ходе оперативного вмешательства укорачивается мышца и удаляется хрящ верхнего века.Имре. Форма и подвижность нижнего века восстанавливаются при помощи небольшого кусочка кожи из подглазничной области. Аналогичным образом проводятся операции по методу Колена и Фрика (различия сводятся к способу иссечения лоскутка кожи).Курлова. Вблизи наружного уголка глаза на коже делается небольшой надрез. Лоскут кожи отсекается от прилегающих тканей и покрывается слизистыми оболочками, срезанными с поверхности губ. По прошествии 1-2 недель, когда слизистые оболочки полностью приживутся, лоскут кожи отрезают и используют для устранения дефекта века.Филатова. В этом случае форма и подвижность века восстанавливаются посредством пересадки кусочка кожи с живота.При своевременном и адекватном курсе лечения в подавляющем большинстве случаев удается предотвратить негативные последствия для глаз. Эктропион века после блефаропластики не удается полностью устранить лишь в особо тяжелых случаях. При этом частично нарушается слезоотделение и анатомическая форма разреза глаз. При ошибках, допущенных в ходе операции, некачественном последующем уходе за пациентом или индивидуальных физиологических реакциях возможны: появление рубцов и шрамов;кровотечения;попадание инфекции в послеоперационные швы;появление гематом;расхождение швов;нарушение функции слезных желез;зуд в местах операционных разрезов;возникновения эффекта горячих глаз.

Фото эктропиона ДО и ПОСЛЕ коррекции

Реабилитация после блефаропластики по поводу эктропиона века

Меры реабилитации совпадают с общими назначениями пациенту после проведения блефаропластики: закапывание глазных капель с увлажняющим и антисептическим действием; ношение солнцезащитных очков и применение солнцезащитной косметики; выполнение гимнастики для мышц глаза. Запрещается надевать контактные линзы. Спать нужно на высоких подушках.

Противопоказано посещение бани, сауны, солярия. Алкоголь, сигареты, кофе исключаются. Физическая нагрузка ограничивается.

Эти запреты и ограничения нужно соблюдать в течение двух месяцев.

Прогноз

При своевременно начатой терапии или проведенной в ранние сроки блефаропластике, при условии соблюдения всех послеоперационных рекомендаций, прогноз заболевания вполне благоприятный. Косметический дефект устраняется, острота зрения восстанавливается, пациент возвращается к нормальному качеству жизни. Однако в случае тяжелой патологии нельзя исключить риск возникновения рецидива.

Эктропион века – патология, которая является не только косметическим недостатком, но становится причиной сильного дискомфорта и может привести к частичной или полной потере зрения. Современные методы лечения эффективны и позволяют предотвратить опасные осложнения. Иногда эктропион века проходит самостоятельно после терапии основного заболевания. Однако в большинстве случаев пациентам требуется хирургическая операция.

Можно ли делать хирургическое вмешательство?

Лечение симптомов показано в следующих ситуациях:

  • дефект века не сильно виден и не нуждается в операции;
  • выворот спровоцирован другим заболеванием, устранение которого приведет к самостоятельному исправлению эктропиона, и пациенту нужно лишь уменьшить неприятные ощущения на момент терапии;
  • выполнение полноценной операции противопоказано по состоянию здоровья или другим условиям.

Доктор назначает лекарства и процедуры, облегчающие состояние пациента с эктропионом, а также помогающие избежать возникновение осложнений:

  • лекарства искусственной слезы, которые увлажняют слизистую и поверхность глазного яблока. Их нужно закапывать в глаза два раза в день;
  • если веки полностью не закрываются в момент сна, то необходимо использовать пластырь, который будет фиксировать их в нужном положении ночью;
  • в тяжелых ситуациях, когда использование увлажняющих средств мало, врач сшивает края век для защиты конъюнктивы и глаз от пересыхания и заражения.

Рекомендуем: Что делать при асимметрии глаз после блефаропластики?

Ссылка на основную публикацию
Похожее