Россия, Тамбов
Телефон:
+7 (953) 704-00-.. Показать номер
Пн-сб: 10:00—19:00четные дни: сб выходной
whatsapp telegram vk email

Тромбоз синусов головного мозга: причины, симптомы, лечение

Причины и особенности формирования тромбоза мозговых синусов

Среди наиболее распространенных причин тромбоза синуса мозга можно выделить:

  • Инфекционные заболевания тканей головы: отит, синусит, мастоидит, гнойные осложнения травм черепа, тонзиллит, стоматит и другие.
  • Генерализованные септические инфекции, включая туберкулез, эндокардит, а также грибковые и вирусные инфекции.
  • Неинфекционные состояния: травмы головы, последствия трепанации черепа, новообразования внутри черепа, осложнения после спинномозговой пункции или анестезии.
  • Акушерские факторы: поздние токсикозы с повышением артериального давления, многократные операции кесарева сечения и послеродовой период.
  • Использование гормональных контрацептивов.
  • Сильное обезвоживание организма.
  • Заболевания системы кровообращения, диабет, гипертония.
  • Системные воспалительные болезни: красная волчанка, саркоидоз, височный артериит и другие.
  • Нарушения гемостаза с предрасположенностью к образованию тромбов.
  • Операции на внутренних органах, повышающие риск тромбообразования.

Синусы головного мозга — это пространства между слоями твердой мозговой оболочки, по которым венозная кровь оттекает из поверхностной и глубокой венозной систем во внутренние яремные вены, направляясь к правому предсердию. Эти синусы не имеют клапанов, а их стенки лишены мышечных волокон, что позволяет им сохранять форму и обеспечивать эффективный отток крови в различных направлениях.

Существует обширная сеть соединений между синусами и венами мозга, что делает симптомы тромбоза не всегда пропорциональными его серьезности. В некоторых случаях возможно полное восстановление венозного оттока и выздоровление пациента.

Тесная связь синусов головного мозга с венами черепных костей, мягких тканей головы, глазницы, уха и зубочелюстной системы делает их уязвимыми к воспалительным процессам в этих областях. Поэтому инфекционные факторы, вызывающие местные гнойные процессы в голове, являются основными причинами тромбоза.

Спинномозговая жидкость выводится через сплетения мозговых синусов. Их перекрытие может блокировать ликвородинамику и резко увеличить внутричерепное давление.

Нарушение гемостаза является ключевым фактором в процессе тромбообразования, который имеет прогрессирующий характер. Внезапно возникший тромб продолжает расти, заполняя пространство синуса мозга и проникая в более мелкие вены. Поэтому сочетание тромбоза вен головного мозга с поражением синуса не является редкостью. Закупорка вен приводит к отеку и ишемии мозговой ткани, а в тяжелых случаях может вызвать некроз (инфаркт) с пропитыванием кровью поврежденных участков мозга.

венозная сеть и синусы мозга

Врачи подчеркивают, что тромбоз синусов головного мозга является серьезным состоянием, которое требует немедленного внимания. Основными причинами этого заболевания могут быть инфекции, травмы, а также нарушения свертываемости крови. Симптомы часто включают головные боли, нарушения зрения, судороги и изменения в сознании. Важно отметить, что ранняя диагностика играет ключевую роль в успешном лечении. Врачи рекомендуют проводить МРТ или КТ для выявления тромба. Лечение обычно включает антикоагулянтную терапию, а в некоторых случаях может потребоваться хирургическое вмешательство. Специалисты акцентируют внимание на необходимости профилактики, особенно у пациентов с предрасположенностью к тромбообразованию.

Признаки #тромбоза вен нижних конечностей. Три основных симптома тромбоза глубоких вен.Признаки #тромбоза вен нижних конечностей. Три основных симптома тромбоза глубоких вен.

Симптоматика тромбоза синусов головного мозга

Клинические проявления синус-тромбоза могут развиваться как остро, в течение 1-2 суток, так и постепенно, на протяжении до месяца. У трети пациентов симптомы могут нарастать более 30 дней. Поэтому при подозрении на данное заболевание важно выяснить, какие болезни или события предшествовали тромбозу.

Синус-тромбоз мозга чаще всего связан с акушерскими факторами и инфекциями. Первые признаки заболевания обычно проявляются в виде симптомов локального поражения мозга.

Эта патология может сопровождаться нарушениями гемостаза и воспалительными процессами, при этом основным симптомом будет головная боль.

Симптоматика тромбоза мозговых синусов разнообразна и может не отражать ни локализацию тромба, ни его размер. Она делится на три основные группы:

  1. Внутричерепная гипертензия.
  2. Судорожный синдром.
  3. Локальная неврологическая симптоматика.

Внутричерепная гипертензия возникает из-за блокировки оттока ликвора и проявляется сильной головной болью, тошнотой, рвотой, нарушением зрения, двоением в глазах и затруднением движения глаз в горизонтальной плоскости.

Судорожный синдром является следствием выраженной внутричерепной гипертензии, отека мозга и очагового поражения нервной ткани при инфаркте. Чаще всего наблюдаются локализованные судорожные приступы.

Локальная неврологическая симптоматика проявляется нарушениями чувствительности и двигательной активности (гемипарезы, гипестезии), которые часто сопровождаются судорогами и головной болью.

Септический тромбоз, помимо неврологических проявлений, сопровождается выраженной интоксикацией, колебаниями температуры тела от очень высокой до нормальной (внезапно), ознобом и обильным потоотделением. Возможны бред, сопор и кома.

5468484

Причина тромбоза синусов головного мозга Симптомы тромбоза синусов головного мозга Лечение тромбоза синусов головного мозга
Инфекции (менингит, синусит) Сильная головная боль (часто локализованная) Антикоагулянты (гепарин, варфарин)
Дегидратация Тошнота и рвота Тромболитики (в некоторых случаях)
Беременность и послеродовой период Судороги Хирургическое вмешательство (в редких случаях)
Наследственные тромбофилии (например, фактор V Лейдена) Двоение в глазах (диплопия) Поддерживающая терапия (контроль симптомов)
Аутоиммунные заболевания (например, волчанка) Изменения психического состояния (спутанность сознания, сонливость) Лечение основного заболевания
Злокачественные новообразования Необычная сонливость Радиотерапия, химиотерапия
Травмы головы Признаки повышения внутричерепного давления Мониторинг состояния пациента
Прием оральных контрацептивов Паралич лицевого нерва Отмена оральных контрацептивов
Обезводнивание Лихорадка Гидратация

Тромбоз кавернозного синуса

Тромбоз кавернозного синуса — наиболее распространенная форма этой патологии. Основным триггером являются гнойные инфекции, возникающие на лице, в области глазниц, ушах и носовых пазухах.

Клиническая картина заболевания включает симптомы общей интоксикации и лихорадки, на фоне которых проявляются признаки нарушения венозного оттока. К ним относятся: выпученные глаза, отеки и опущение век, а также окружающих тканей. При офтальмоскопии наблюдаются застойные изменения на глазном дне, отклонение глаз в стороны, помутнение роговицы и болезненные ощущения в глазах и лобной области.

Тромбоз синусов головного мозга — это серьезное состояние, которое вызывает много вопросов и опасений у людей. Многие отмечают, что причиной этого заболевания могут быть различные факторы, включая инфекции, травмы головы и нарушения свертываемости крови. Симптомы часто проявляются внезапно: сильные головные боли, нарушения зрения, судороги и даже изменения в сознании. Это заставляет людей обращаться за медицинской помощью незамедлительно. Лечение тромбоза синусов может включать антикоагулянтную терапию, которая помогает разжижать кровь и предотвращать дальнейшее образование тромбов. Важно помнить, что ранняя диагностика и адекватное лечение могут значительно повысить шансы на полное выздоровление. Многие пациенты делятся опытом, подчеркивая важность осведомленности о симптомах и необходимости регулярных медицинских осмотров, особенно для людей с предрасположенностью к тромбообразованию.

Как избавиться от тромбоза вен. Флеболог Москва.Как избавиться от тромбоза вен. Флеболог Москва.

Тромбоз сагиттального синуса

Тромбоз сагиттального синуса проявляется различными симптомами: отечностью лицевых тканей, искривлением вен на носу, веках, висках, а также в области лба и темени. Возможны носовые кровотечения. При легком постукивании по костям черепа в области синуса могут возникать болезненные ощущения. Часто наблюдаются судорожные приступы, увеличение внутричерепного давления, нарушения двигательной активности в ногах и проблемы с функциями тазовых органов.

Тромбоз поперечного синуса

При тромбозе поперечного синуса основной причиной часто является гнойная инфекция, например, мастоидит. В клинической практике это проявляется лихорадкой с резкими колебаниями температуры, отеком в области сосцевидного отростка и болезненностью при прикосновении. Подобные симптомы могут также наблюдаться при поражении сигмовидного синуса головного мозга.

🦵 Как вылечить тромбоз глубоких вен, диагностика и методы. Как вылечить тромбоз глубоких вен. 12+🦵 Как вылечить тромбоз глубоких вен, диагностика и методы. Как вылечить тромбоз глубоких вен. 12+

Тромбоз вен мозга

Тромбоз вен головного мозга может сопровождаться закупоркой синусов или предшествовать ей. Главный клинический симптом — головная боль. Со временем к ней добавляются рвота, судороги и признаки локального поражения нервной системы, такие как нарушения речи, чувствительности, парезы и параличи. Также возможно изменение сознания.

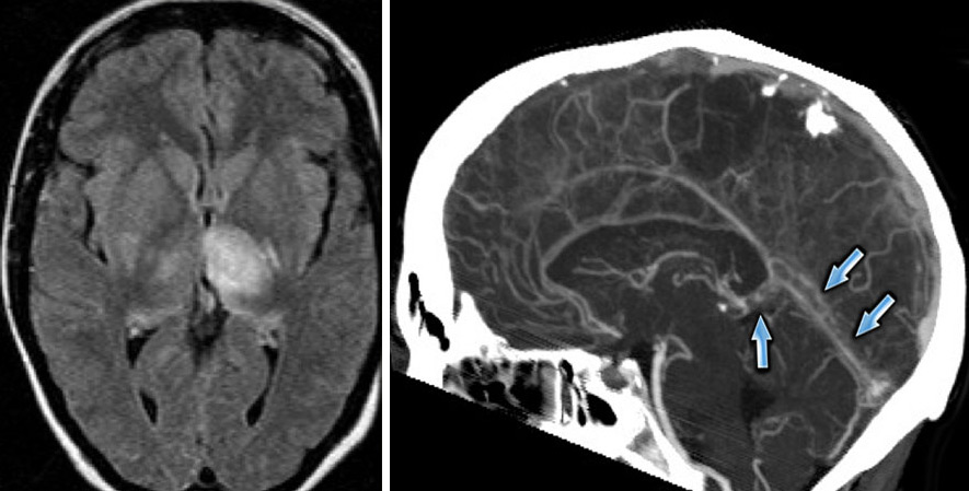
Диагностика и лечение тромбоза синусов мозга

Диагностика тромбоза синусов головного мозга представляет собой сложную задачу из-за отсутствия характерных симптомов. Кроме того, не всегда возможно провести своевременное обследование из-за нехватки необходимого оборудования.

Наиболее доступным и информативным методом для подтверждения диагноза является МРТ. Если это возможно, пациенту назначают КТ, что позволяет не только установить наличие тромба в синусе, но и выявить сопутствующие изменения в мозговой ткани, такие как отек, некроз или кровоизлияние.

Люмбальная пункция может показать повышенное количество эритроцитов и лейкоцитов при септических тромбозах, а также увеличение ликворного давления. При неинфекционных формах заболевания состав спинномозговой жидкости остается неизменным.

Лечение тромбоза мозговых синусов – это непростая задача. Врачи применяют комплексный подход, направленный на устранение причин, симптомов заболевания и самого тромба:

  • Этиотропное лечение;
  • Борьба с тромбообразованием;
  • Симптоматическая терапия.

Этиотропная терапия включает назначение антибиотиков и хирургическое вмешательство для удаления гнойного очага, ставшего причиной тромбоза. Пока не будет установлен возбудитель, назначаются антибиотики широкого спектра действия, которые затем заменяются на более специфические. Важно, чтобы препарат мог преодолеть гемато-энцефалический барьер и достичь места инфекции.

Основными возбудителями септического тромбоза венозного синуса являются стафилококки, стрептококки и синегнойная палочка. Наиболее эффективными считаются:

  1. Цефалоспорины третьего и четвертого поколения (цефтриаксон, цефокситим, цефуроксим и др.);
  2. Бета-лактамные антибиотики (имипенем, меропенем);
  3. Пенициллины (ампициллин, оксациллин);
  4. Аминогликозиды (гентамицин, амикоцин).

Хирургическое вмешательство на фоне антибиотикотерапии включает удаление гнойного очага – вскрытие сосцевидного отростка при мастоидите, синусов лицевого черепа при ЛОР-патологиях, вскрытие и дренирование абсцессов мозга, а также удаление тромба из синуса. Срочная операция показана при тромбозе сигмовидного синуса на фоне мастоидита.

Антитромботическая терапия направлена на рассасывание тромба в синусах мозговой оболочки и предотвращение прогрессирования заболевания. Она особенно важна при асептических (неинфекционных) тромбозах. Борьба с тромбообразованием может спасти жизнь пациента и предотвратить серьезные последствия.

В качестве основного антикоагулянтного средства используется гепарин, который вводится внутривенно непрерывно до достижения суточной дозы до 70 000 единиц. Применение гепарина контролируется по показателям свертываемости крови и продолжается до появления положительной динамики.

Гепаринотерапия обычно длится около недели, после чего препарат заменяется на непрямые антикоагулянты (варфарин), которые назначаются на срок не менее трех месяцев, после чего переходят к антиагрегантам (аспирин).

Кроме обычного гепарина, также применяются низкомолекулярные аналоги – дальтепарин и эноксапарин. Они не менее эффективны, но обладают большей безопасностью.

Использование варфарина требует постоянного контроля коагулограммы (МНО). Длительность лечения составляет три месяца, но может быть увеличена при системных заболеваниях соединительной ткани или у пациентов, находящихся в неподвижном состоянии.

При постепенной отмене варфарина назначаются препараты, которые препятствуют агрегации форменных элементов крови – пентоксифиллин, клопидогрель, аспирин, курантил.

Симптоматическое лечение тромбоза мозговых синусов необходимо для нормализации внутричерепного давления и борьбы с судорожным синдромом. Противосудорожные препараты (депакин, карбамазепин, вальпроат) назначаются только тем пациентам, у которых наблюдались эпилептические припадки. Их применяют в течение года, после чего постепенно отменяют.

Для борьбы с внутричерепной гипертензией применяются маннитол, диуретики (диакарб), а также искусственная вентиляция легких с гипервентиляцией. Устранить сильную головную боль помогают спинномозговые пункции с последующим введением гепарина внутривенно. Гормонотерапия и нестероидные противовоспалительные средства для облегчения головной боли не рекомендуются, так как могут усугубить тромбообразование.

При значительном повышении внутричерепного давления и нарушении сознания могут быть проведены хирургические вмешательства – декомпрессивная краниотомия и вскрытие тромбированного синуса. Однако результаты таких операций часто неблагоприятные, поэтому предпочтение отдается консервативной терапии.

Сильная интоксикация, вызванная системным септическим процессом, приведшим к тромбозу синусов головного мозга, требует инфузионной и дезинтоксикационной терапии на фоне назначения антибиотиков. Рекомендуются витамины, препараты, улучшающие мозговую деятельность, ноотропы и нейропротекторы.

Прогноз при тромбозе синусов мозга неоднозначен. В акушерской практике он может быть достаточно благоприятным, но при септических состояниях возможны серьезные инвалидности и летальный исход. Тяжесть течения заболевания и результаты терапии зависят не только от причины, но и от скорости формирования тромба, его локализации, объема, степени нарушения ликвородинамики и повышения давления внутри черепа.

Неблагоприятным считается прогноз при тромбозе, сопровождающемся нарушением сознания (сопор, кома), когда состояние может резко ухудшиться, и может возникнуть очаговое поражение мозга и паралич.

Чем раньше будет выявлен тромбоз мозгового синуса, тем более эффективным окажется лечение, что увеличивает шансы пациента на выздоровление. Восстановление пациентов с очаговыми неврологическими расстройствами при активной терапии основного заболевания может происходить достаточно быстро и успешно, что делает выздоровление вполне возможным.

546886846

Тромбоз кавернозного синуса – серьезное осложнение обычного насморка (видео)

Вопрос-ответ

Каковы симптомы тромбоза синусов головного мозга?

Симптомы тромбоза синусов головного мозга могут включать головную боль, судороги, изменения в сознании, неврологические нарушения (например, слабость или онемение в конечностях), а также возможные признаки повышения внутричерепного давления, такие как тошнота и рвота. В некоторых случаях могут наблюдаться визуальные нарушения, такие как двоение в глазах.

Как лечится тромбоз головного мозга?

Кратко о методе лечения — аспирационная тромбэктомия. Во время операции делают микроразрез, через который вводят специальный катетер. По нему под давлением в пораженный сосуд поступает физраствор. Тромб под действием раствора и соли размягчается, делится на кусочки и аспирируется (отсасывается) при помощи шприца.

Какие первые признаки тромбоза?

Первые признаки тромбоза могут включать отек, покраснение и болезненность в области пораженной вены, а также ощущение тяжести или напряжения в конечности. В некоторых случаях может наблюдаться повышение температуры кожи над тромбом. Если тромбоз происходит в глубоких венах, симптомы могут быть менее выраженными, что делает его труднее распознать.

Советы

СОВЕТ №1

Обратите внимание на симптомы. Если вы испытываете головные боли, изменения в зрении, слабость или спутанность сознания, немедленно обратитесь к врачу. Раннее выявление тромбоза синусов головного мозга может значительно повысить шансы на успешное лечение.

СОВЕТ №2

Следите за факторами риска. Если у вас есть предрасположенность к тромбозу (например, из-за наследственности, беременности или длительного неподвижного состояния), обсудите с врачом возможные меры профилактики, такие как прием антикоагулянтов или изменение образа жизни.

СОВЕТ №3

Не игнорируйте медицинские рекомендации. Если вам назначено лечение, строго следуйте указаниям врача и не прекращайте прием препаратов без консультации. Это поможет предотвратить рецидивы и улучшить общее состояние здоровья.

СОВЕТ №4

Поддерживайте здоровый образ жизни. Регулярные физические нагрузки, сбалансированное питание и отказ от курения могут снизить риск развития тромбозов и улучшить общее состояние сердечно-сосудистой системы.

Ссылка на основную публикацию
Похожее