Классификация
Согласно этиологической классификации, абсцессы головного мозга делятся на несколько типов:
- Риногенные — возникают как осложнение гнойного ринита или синусита.
- Отогенные — следствие гнойного воспаления среднего и внутреннего уха, барабанной трубы или сосцевидного отростка.
- Одонтогенные — развиваются на фоне парадонтита, стоматита или гингивита.
- Травматические — результат открытой или закрытой черепно-мозговой травмы.
- Ятрогенные — возникают после хирургического вмешательства.
- Гематогенные — связаны с проникновением микроорганизмов в мозг через кровоток.
- Метастатические — осложнения, возникающие при гнойных воспалениях внутренних органов, таких как легкие или эндокардит.
Абсцессы мозга могут быть субдуральными, эпидуральными и внутримозговыми. Эта классификация основана на расположении абсцесса в черепной коробке относительно твердой мозговой оболочки.
По своей структуре выделяют два типа абсцессов:
- Интерстициальные — имеют капсулу, отделяющую гнойное воспаление от здоровой мозговой ткани. Эти абсцессы чаще встречаются у людей с высокой резистентностью, хорошо поддаются лечению и имеют благоприятный прогноз.
- Паренхиматозные — не имеют капсулы, что делает их неблагоприятными с точки зрения прогноза. Они формируются при значительном снижении иммунной защиты и представляют серьезную угрозу для жизни пациентов. Гнойное содержимое свободно находится в мозговом веществе и взаимодействует со здоровыми тканями. Хирургическое вмешательство при паренхиматозных абсцессах часто оказывается неэффективным.
Врачи отмечают, что абсцесс мозга представляет собой локализованное скопление гноя, возникающее в результате инфекционного процесса. Основными причинами его возникновения являются бактериальные и грибковые инфекции, травмы головы, а также осложнения после операций на мозге. Существует несколько форм абсцесса, включая пиогенный и параназальный, каждая из которых имеет свои особенности проявлений. Симптомы могут варьироваться от головной боли и лихорадки до неврологических нарушений, таких как слабость или потеря сознания.
Диагностика абсцесса мозга включает в себя нейровизуализацию, чаще всего с помощью МРТ или КТ, что позволяет точно определить локализацию и размеры образования. Лечение, как правило, комбинированное: оно включает антибиотикотерапию и, в некоторых случаях, хирургическое вмешательство для дренирования гноя. Врачи подчеркивают важность ранней диагностики и своевременного лечения, так как запущенные случаи могут привести к серьезным осложнениям и угрожать жизни пациента.

Этиология и патогенез
Основной причиной возникновения абсцесса мозга является бактериальная инфекция:
- Стрептококковая,
- Стафилококковая,
- Эшерихиозная,
- Протейная,
- Пневмококковая,
- Менингококковая,
- Грибковая,
- Токсоплазмозная,
- Микст-инфекция.
Абсцесс мозга — это вторичное заболевание, при котором инфекция проникает из первичного очага различными способами.
- Метастатический механизм осуществляется через кровь. Он наблюдается при гнойно-воспалительных процессах в легких, эндокарде или органах пищеварительной системы. При хронической пневмонии или абсцессе легкого бактериальный эмбол попадает в системный кровоток и достигает мозговых сосудов, вызывая заболевание.
- Контактный механизм включает отогенные, риногенные и одонтогенные пути. Отогенный путь приводит к образованию абсцессов у пациентов с гнойным воспалением среднего или внутреннего уха, а также сосцевидного отростка. Риногенное инфицирование происходит у людей с хроническим ринитом или синуситом, что может вызвать ограниченный менингит, а затем гнойный энцефалит. Одонтогенный путь характерен для пациентов с воспалительными процессами в полости рта, такими как кариес, пульпит, гингивит и стоматит.
- Прямой путь проникновения инфекции в мозг возможен при открытой черепно-мозговой травме, что актуально в условиях военных действий, когда происходят взрывные и огнестрельные ранения.
- Аутоинфицирование может произойти при закрытой черепно-мозговой травме, когда возбудителем становится собственная микрофлора организма, обладающая патогенными свойствами.
Для формирования абсцесса необходимо два условия: наличие патогенного микроорганизма и снижение общей резистентности организма.
Процесс формирования абсцесса длителен и проходит несколько стадий.
- Ранний церебрит — это инфекционное воспаление мозговой ткани, которое может разрешиться самостоятельно или под воздействием антибиотиков. Эта стадия длится около трех дней и характеризуется отсутствием четкой границы между здоровыми и пораженными тканями, наличием периваскулярных инфильтратов и токсическим поражением нейронов.
- Прогрессирование заболевания происходит из-за снижения защитных сил организма или неправильной терапии. В мозговой ткани образуется полость, заполненная гноем, что приводит к формированию гнойника и выраженному интоксикационному синдрому.
- На третьей стадии вокруг очага поражения образуется соединительнотканная капсула, которая ограничивает гнойное воспаление и препятствует распространению инфекции. Это называется ранней инкапсуляцией, которая протекает латентно и обычно не вызывает клинических симптомов. В редких случаях могут появляться признаки астении, а в организме активизируются адаптационные и компенсаторные механизмы.
- Последняя стадия абсцесса мозга характеризуется окончательным уплотнением капсулы, отеком мозга и внутричерепной гипертензией. Клинические проявления становятся ярко выраженными и разнообразными, преобладают общемозговые и очаговые неврологические симптомы, в то время как признаки интоксикации отходят на второй план. Возможные исходы заболевания включают обратное развитие процесса или увеличение очага поражения с воспалением окружающей ткани мозга.
| Причина возникновения | Форма абсцесса | Проявления, диагностика, лечение |
|---|---|---|
| Инфекция (бактериальная, грибковая, паразитарная) из очага инфекции в организме (например, отит, синусит, пневмония) | Ограниченный абсцесс | Головная боль, лихорадка, тошнота, рвота, судороги, неврологические дефициты (слабость, паралич). Диагностика: КТ, МРТ, люмбальная пункция. Лечение: антибиотики, хирургическое дренирование, противогрибковые препараты (при грибковой этиологии). |
| Травма черепа с последующим инфицированием | Многокамерный абсцесс | Как и при ограниченном абсцессе, но симптомы могут быть более выраженными и неспецифичными. Диагностика: КТ, МРТ. Лечение: антибиотики, хирургическое дренирование, декомпрессия. |
| Гематогенное распространение инфекции | Глубокий абсцесс | Позднее начало симптомов, часто неспецифические. Диагностика: КТ, МРТ. Лечение: антибиотики, хирургическое дренирование (при необходимости). |
| Иммунодефицитные состояния | Поверхностный абсцесс | Симптомы могут быть стертыми или отсутствовать. Диагностика: КТ, МРТ. Лечение: антибиотики, противогрибковые препараты, иммуномодуляторы, хирургическое дренирование (при необходимости). |
| Контакт с инфицированными инструментами (после нейрохирургических операций) | Абсцесс мозжечка | Атаксия, головокружение, рвота. Диагностика: КТ, МРТ. Лечение: антибиотики, хирургическое дренирование. |
Клиническая картина
Заболевание начинается внезапно и проявляется симптомами интоксикации, а также очаговыми и общемозговыми признаками.
У пациентов наблюдаются: повышение температуры, головная боль, озноб, повышенное потоотделение, бледность кожи, общая слабость, отсутствие аппетита, сухость во рту. В анализах крови выявляются лейкоцитоз и увеличение скорости оседания эритроцитов. Эти проявления указывают на выраженную интоксикацию.
К общемозговым симптомам относятся:
- сильная головная боль,
- тошнота и рвота, не приносящие облегчения,
- замедленный пульс,
- слезотечение и светобоязнь,
- напряжение и спазмы мышц затылка,
- психозы,
- вялость и апатия,
- сонливость,
- головокружение,
- потеря сознания,
- резкие изменения настроения,
- эпилептические припадки,
- кома.
Очаговая неврологическая симптоматика помогает установить диагноз на основе клинических проявлений.
Клинические проявления абсцесса мозга зависят от его локализации:
- Очаг в правом полушарии может проявляться парезом и параличом левой стороны тела.
- Абсцесс височной доли вызывает зрительные нарушения, проблемы с речью (дисфония или афония), судороги всего тела и конечностей. У пациентов может развиваться сенсорная афазия, речь становится бессмысленной, они теряют способность читать и писать, не понимают, что говорят окружающие. Психические расстройства могут проявляться эйфорией или депрессией, снижением критического восприятия.
- Абсцесс лобной доли характеризуется легкомысленным и приподнятым настроением, эйфорией, неразборчивой речью, повышенной болтливостью, снижением интеллекта, бредом и резкими перепадами настроения.
- Поражение мозжечка проявляется нистагмом, нарушением координации движений, атаксией, гипертензионным синдромом и мышечной гипотонией. Движения пациентов становятся нечеткими и размашистыми, походка шаткой, с падениями, а глаза «бегают» из стороны в сторону.
- Абсцесс основания мозга может вызывать нарушения в работе глазодвигательного аппарата, косоглазие, потерю зрения, судороги и паралич конечностей.
Также могут возникать клинические признаки, связанные с инсультом и отеком мозга. Близкое расположение абсцесса к мозговым оболочкам может проявляться менингеальными симптомами, такими как ригидность затылочных мышц, поза легавой собаки и повышенная чувствительность к прикосновениям.
К осложнениям абсцесса головного мозга относятся: вклинение гнойника, его прорыв в желудочки мозга, рецидивы, вторичное инфицирование послеоперационной раны, остеомиелит черепных костей, а также повторяющиеся эпилептические припадки. Эти процессы могут проявляться параличами и парезами, потерей зрения и слуха, нарушениями памяти, снижением интеллекта и другими дисфункциями центральной нервной системы.
Абсцесс мозга — это локализованное скопление гноя в мозговой ткани, которое может возникнуть в результате инфекций, травм или хирургических вмешательств. Основные причины его возникновения включают бактериальные или грибковые инфекции, такие как пневмококковая или стафилококковая инфекция, а также осложнения после синуситов или отитов.
Существует несколько форм абсцесса: одиночный и множественный, а также различают по локализации — например, кортикальный или подкорковый. Проявления могут варьироваться от головной боли и лихорадки до неврологических симптомов, таких как судороги или изменения в сознании.
Диагностика включает нейровизуализацию, чаще всего с помощью МРТ или КТ, что позволяет точно определить размер и расположение абсцесса. Лечение обычно требует комбинированного подхода: антибиотикотерапии и, в некоторых случаях, хирургического вмешательства для дренирования гноя. Ранняя диагностика и адекватное лечение играют ключевую роль в предотвращении серьезных осложнений и улучшении прогноза для пациента.

Диагностика
Диагностика абсцесса мозга начинается с тщательного осмотра и сбора жалоб пациента. На основе анамнеза и симптомов специалисты могут выдвинуть предварительный диагноз. Ключевую роль играют очаговые неврологические и общемозговые проявления, острое начало заболевания, развитие внутричерепной гипертензии, а также наличие хронических инфекционных очагов в организме.
Дополнительные методы диагностики, которые могут подтвердить или опровергнуть предполагаемый диагноз:
- Компьютерная томография (КТ) головного мозга — доступный и высокочувствительный метод. Без контрастного вещества он выявляет лишь области с пониженной плотностью. Четкость структуры патологического очага достигается при введении рентгеноконтрастного вещества.
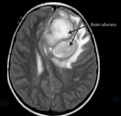
- Магнитно-резонансная томография (МРТ) головного мозга — более точный метод, который может обнаружить абсцесс на ранних стадиях, точно определить локализацию гнойного очага и распространение инфекции в подпаутинное пространство и желудочки. МРТ достаточно для правильной постановки диагноза и дифференциации абсцесса от других патологий.
- Эхоэнцефалоскопия, эхоэнцефалография и краниография применяются, когда невозможно провести КТ или МРТ. Эти методы позволяют выявить смещение срединных структур мозга и определить признаки внутричерепной гипертензии.
- Абсцессография осуществляется с использованием воздуха или контрастного вещества для определения локализации абсцесса, его формы и размеров.
- Стереотаксическая биопсия позволяет окончательно подтвердить диагноз и идентифицировать возбудителя.
- Лабораторные исследования ликвора помогают выявить воспалительные изменения, такие как плеоцитоз, состоящий из лимфоцитов, лейкоцитов и полинуклеаров, а также увеличение уровня белка.
- Микробиологическое исследование гнойного содержимого абсцесса позволяет установить этиологию процесса. После определения выделенного возбудителя до рода и вида специалисты проверяют его чувствительность к антибиотикам. На основе данных антибиотикограммы разрабатывается индивидуальная схема антибактериальной терапии для каждого пациента.
- Полимеразная цепная реакция (ПЦР) используется для диагностики вирусной природы заболевания.
Лечение
Лечение абсцесса мозга направлено на уничтожение инфекционных патогенов, устранение воспалительных процессов и улучшение микроциркуляции в пораженной области. Также важно ликвидировать основные клинические симптомы и укрепить организм в целом. Все процедуры проводятся в нейрохирургическом стационаре.
В зависимости от стадии заболевания, локализации гнойного образования и его размеров применяются как консервативные, так и хирургические методы терапии.

Медикаментозное лечение
Консервативное лечение применяется на ранних стадиях заболевания и при размере гнойного образования до трех сантиметров в диаметре.
- Антибактериальная терапия включает антибиотики широкого спектра действия, такие как цефалоспорины, макролиды, фторхинолоны, защищенные пенициллины и противогрибковые средства. Врач может назначить «Цефтриаксон», «Метронидазол», «Ванкомицин», «Левомицетин», «Амфотерицин» и «Флуконазол». После анализа на чувствительность микроорганизмов к антибиотикам лечение может быть скорректировано.
- Глюкокортикоиды применяются, если антибиотикотерапия не дает ожидаемого эффекта. Эти препараты снижают воспаление и способствуют обратному развитию капсулы абсцесса. Обычно назначают «Преднизолон» или «Дексаметазон».
- Препараты для улучшения мозгового кровообращения включают «Винпоцетин», «Церебролизин», «Пирацетам» и «Актовегин».
- Средства, предотвращающие судороги, такие как «Дифенин», «Алепсин» и «Содантон», также могут быть назначены.
- Мочегонные и противоотечные препараты, например, «Маннитол», «Фуросемид» и «Лизикс», используются для снятия отеков.
- Противовоспалительные и жаропонижающие средства, такие как «Парацетамол» и «Ибупрофен», помогают облегчить симптомы.
- Общеукрепляющая терапия включает витамины группы В, адаптогены и антигипоксанты.
Хирургическое лечение
После стабилизации состояния пациента проводится вскрытие и дренирование гнойника. Гнойная полость обрабатывается антибактериальным раствором. После операции пациент некоторое время находится в реанимационном отделении, а затем переводится в палату неврологического отделения. После такого вмешательства необходим длительный период реабилитации.
Показания для проведения операции:
- Локализация гнойника в вентрикулярной области мозга.
- Абсцесс, вызвавший гипертензионный синдром.
- Абсцесс, возникший вследствие травмы головного мозга.
- Абсцесс грибкового происхождения.
Противопоказания:
- Начальная стадия заболевания — энцефалит.
- Расположение абсцесса в непосредственной близости к жизненно важным центрам.
- Множественные неоперабельные гнойниковые поражения мозга.
- Коматозное состояние пациента.
Прогноз заболевания серьезный, однако в большинстве случаев он благоприятный. Летальность при абсцессе мозга достигает 30%, а уровень инвалидизации — до 50%. Даже после выздоровления у почти половины пациентов сохраняются неврологические симптомы, такие как судороги. У некоторых могут наблюдаться утраты различных функций организма.
Меры, способствующие предотвращению формирования абсцесса в головном мозге:
- Обработка раны при черепно-мозговой травме.
- Своевременное выявление и санация очагов хронической инфекции.
- Стимуляция иммунной системы и повышение устойчивости организма к инфекциям.
- Сбалансированное и правильное питание.
- Прием поливитаминов и минеральных комплексов.
Абсцесс головного мозга — серьезное заболевание, возникающее на фоне существующих в организме патологий. Чтобы вовремя распознать недуг и незамедлительно начать лечение, важно знать первые клинические проявления и уметь применять дополнительные методы диагностики. Ранняя и адекватная терапия может существенно снизить риск развития опасных для жизни осложнений и минимизировать негативные последствия для организма.
Видео: абсцесс мозга, программа “Жить здорово”
Перейти в раздел:
- Болезни мозга и сосудов головы, диагностика цереброваскулярных заболеваний, анатомия, фармакология
Советы для читателей СосудИнфо предоставляют квалифицированные врачи с высшим образованием и практическим опытом в этой области.
Вопрос-ответ
Каковы причины абсцесса мозга?
Причина — попадание стрептококков, стафилококков, пневмококков, реже других микробов в мозговое вещество из гнойных очагов, расположенных в среднем или внутреннем ухе (отогенные абсцессы), придаточных пазухах (риногенные абсцессы), из остеомиелитического очага в костях черепа, флегмоны мягких тканей головы.
Каковы 4 стадии абсцесса мозга?
Развитие абсцесса головного мозга можно разделить на четыре стадии: 1) ранний церебрит, 2) поздний церебрит, 3) раннее формирование капсулы и 4) позднее формирование капсулы.
Какова смертность от абсцесса мозга?
В прошлом смертность от отогенного абсцесса мозга составляла 14-35%. В настоящее время снизилась до 3%. Выбор антибиотика и адекватного хирургического доступа является очень важным условием успешного лечения отогенных абсцессов мозга.
Советы
СОВЕТ №1
Регулярно проходите медицинские обследования, особенно если у вас есть предрасположенность к инфекционным заболеваниям или травмам головы. Это поможет выявить потенциальные проблемы на ранней стадии.
СОВЕТ №2
Обратите внимание на симптомы, такие как головные боли, изменения в сознании, судороги или неврологические расстройства. При их появлении немедленно обращайтесь к врачу для диагностики.
СОВЕТ №3
Если вам назначено лечение абсцесса мозга, строго следуйте рекомендациям врача и не прерывайте курс антибиотиков или других препаратов без консультации.
СОВЕТ №4
Поддерживайте здоровый образ жизни: правильно питайтесь, занимайтесь физической активностью и избегайте стрессов. Это поможет укрепить иммунную систему и снизить риск инфекций.





