Что это такое
Воспалительный процесс, протекающий в миндалинах называют тонзиллитом. Именно миндалины выполняют защитную функцию и своеобразный барьер от проникновения инфекционных заболеваний.
Они состоят из лимфоиндной ткани, которая содержит специальные клетки, активно реагирующие на зловредные бактерии и микроорганизмы. Если иммунный барьер не срабатывает, происходит развитие хронической формы тонзиллита.
В отличие от острой формы, хроническое заболевание опасно:
- Миндалины прекращают полноценно выполнять свои функции
- Воспалительный процесс может распространиться на другие ткани и слизистые.
Чтобы заболевание негативно не воздействовало на почки, сердце, суставы и другие внутренние органы, необходимо как можно быстрее организовать грамотное лечение.
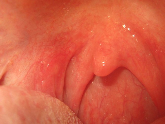
Как выглядит катаральная ангина
Катаральный тип считается наиболее легкой формой тонзиллита. При правильно подобранной терапии полное выздоровление наступает через 7 суток.
Характерными признаками катарального тонзиллита считаются:
- гиперемия слизистой миндалин;
- увеличение маленького язычка и свободного края дужек неба, которые нависают над входом в зев;
- покраснение мягкого неба;
- отек зева;
- лейкоцитарная инфильтрация паренхимы с мелкими очагами;
- утолщение эпителия на поверхности миндалин и его частичное слущивание;
- небольшое отделение слизи.
Также при катаральной ангине увеличиваются лимфоузлы.
Причины развития
Развитие тонзиллита происходит посредством размножения зловредных микроорганизмов: грибков, бактерий и вирусов. Получить достоверные результаты от проведенной диагностики не всегда легко, если флора оказывается смешанной.
Чаще всего заболевание появления в результате жизнедеятельности следующих организмов:
- Стрептококков;
- Аденовирусов;
- Пневмококков;
- Стафилококков.
Передача возбудителя может произойти при контакте с болеющим человеком воздушно-капельным путем. Не реже микроорганизмы начинают активно распространяться и размножаться в организме при активации (до этого находясь в «спящем» состоянии).
Чаще всего этому предшествует снижение работы иммунной системы, резкая смена температурного режима, постоянное употребление холодных напитков или еды.
Как выглядит фолликулярная ангина
При фолликулярном тонзиллите центр воспаления находится в фолликулах миндалин. Именно в них продуцируется гной, просвечивающийся через слизистую. Миндалины будто бы усыпаны небольшими желто-белыми островками. Дальше на них образуются обширные участки, покрытые светлым фибринозным налетом с пузырьками, это вызвано активным выделением фибрина. Внутри пузырьков находится гной.
Иногда фибринозные пленки соединяются друг с другом, образуя так называемый сливной налет. При наличии сопутствующих заболеваний со стороны кровеносной системы в горле может наблюдаться увеличение лимфатических сосудов и неярко выраженный тромбоз тонзиллярных вен. При сниженном иммунитете гнойники могут даже прорваться в глотку.
Контент может оказаться неприятным для просмотра
Признаки и симптомы
Развитие симптоматики заболевания у детей происходит в течение трех дней, поскольку патогенная флора начинает быстро развиваться. Воздействующий фактор активирует работу главных возбудителей.
Среди самых распространенных признаков считаются:
- Болевые ощущения в горле различный интенсивности (нарастание происходит в результате прогрессирования тонзиллита)
- Дискомфорт в области расположения миндалин и жжение
- Устойчивый и неприятный запах в ротовой полости
- Если заболел ребенок до трех лет, у ребенка может повыситься слюноотделение
- Отсутствие аппетита
- Интенсивные головные боли
- Общее физическое недомогание и слабость
- Сильный кашель.
В процессе обыкновенного медицинского осмотра, каждый врач диагностирует воспаление миндалин и сильные покраснения. Если микроорганизмы попадают на гланды, то может образоваться налет и появляться гнойные выделения. Лимфоузлы увеличиваются в размере. При пальпации можно определить степень поражения.
Герпетическая
На фото показана герпетическая ангина у детей:
Так выглядит ангина, вызванная вирусами
У малышей она диагностируется чаще остальных форм. При заболевании повышается температура тела, могут возникнуть боли в животе, рвота, тошнота. Если посмотреть на горло больного, будут заметны небольшие пузырьки с серозным содержимым. Они вскрываются самостоятельно в течение 3-6 дней.
Антибактериальные препараты
Когда высокая температура и другая симптоматика продолжает сохраняться более пяти дней, скорее всего основной причиной развития болезни являются зловредные бактерии. Антибиотики могут быть использованы внутримышечно или перорально.
Среди самых распространенных и эффективных лекарств можно выделить:
- Флемоксин;
- Цефтриаксон:
- Сумамед.
В дополнении часто используют Бисептол, который относят к группе противомикробных. Антибактериальная терапия – это специально разработанный комплекс, предусматривающий восстановление флоры организма. К таким препаратам можно отнести Хилак Форте, Линекс или Энтерол.
Как выглядит гангренозная ангина
Гангренозный тонзиллит — атипичная форма ангины, которая по-другому называется заболеванием Симановского-Венсана. Болезнь протекает с односторонним поражением миндалин. Изо рта пациента идет неприятный гнилостный запах. В большинстве случаев при гангренозной ангине увеличивается слюноотделение.
На слизистой миндалин обнаруживаются островки налета разного размера зеленоватого или серо-желтого оттенков. В некоторых случаях налет исчезает, открывая кровоточащую язву.
Контент может оказаться неприятным для просмотра
Дополнительные средства
Чтобы быстро и безопасно снизить повышенную температура, а также устранить головную боль, поможет Нурофен или Парацетамол. Их допустимо использовать даже для маленьких детей. Когда боль в горле оказывается нестерпимой, поможет Гексорал, Мирамистин, Тантум Верде или Гаммидин.
Иногда заболевание вызывает интоксикацию, поэтому педиатры часто используют для малышей Смекту, Полисорб или Энтеросгель. Препараты способы максимально быстро вывести все токсины из организма и улучшить общее физическое состояние. Однако в процессе их использования необходимо соблюдать интервал в принятии других препаратов с периодом хотя бы двух часов.
Если у ребенка наблюдается сильный сухой кашель, то актуально использовать ингаляции. Можно использовать обыкновенную минеральную воду. В качестве альтернативы также можно применять Гербеон Нео или Коделак, осуществляющие блокировку нужных рецепторов.
Классификация
Выделяют несколько форм заболевания:
- Катаральная ангина. Она развивается, как правило, очень быстро. Основные симптомы — недомогание, сухость и першение в горле. Далее появляется отечность зева, боль при глотании и в лимфоузлах. Этот вид ангины характеризуется повышением температуры тела до 39°С, появлением озноба, ломоты в теле и сильной мигрени. Через 3-5 дней основные симптомы болезни проходят или переходят в другую форму — все зависит от лечения.
- Лакунарная ангина. Первым симптомом является резкий скачок температуры (до 40 градусов). Также возникают ощущения боли в районе гортани, мышцах, суставах, сердце. Значительно повышается выработка слюны. У детей вследствие интоксикации может наблюдаться рвота. При этой форме в лакунах скапливается жидкость (фибринозный экссудат). Слизистая поверхность глотки и миндалин краснеет, отекает, появляются желтоватые островки, миндалины покрываются белёсым налётом, который легко счищается медицинским шпателем. Наблюдается разбухание шейных лимфоузлов и болевые ощущения в местах их расположения. Длится такой вид ангины промежуток времени в 5 — 7 суток. Небольшая температура может наблюдаться и после острого периода.
- Фолликулярная ангина, в отличие от катаральной, развивается медленно, но проходит не менее болезненно. Опасность ее в осложнениях: когда у вас усиливается головная боль, повышается температура тела, ломит суставы, нужно обратиться к доктору для диагностирования и рекомендаций по поводу лечения. При этом виде ангины сильно болят и увеличиваются лимфоузлы под челюстью. Ее следует лечить в стационарных условиях.
- Некротическая ангина протекает с более выраженными симптомами, чем лакунарная и фолликулярная ангины. Она сопровождается высокой температурой, тошнотой, рвотой. Анализы крови при некротической ангине показывают выраженный лейкоцитоз, нейтрофилёз. Миндалины при этой ангине покрываются налетом желто-зеленого цвета, реже — серого. Часто, при снятии налета, слизистая кровоточит, так как в очаге инфекции происходит отторжение тканей под воздействием фибрина. Это отторжение может распространяться не только на миндалины, но и на окружающие участки — дужки, язычок, заднюю стенку глотки.
Иногда формы ангины могут сочетаться, что значительно затрудняет лечение. На одной миндалине может быть лакунарная, а на другой – фолликулярная ангина.
Народные методы
Перед тем, как использовать рецепты народной медицины, рекомендуется проконсультироваться с лечащим специалистов.
Среди самых распространенных способов можно отметить:
- Аппликации. Можно взять крупу или морскую соль и подогреть ее, ссыпать в мешок и прикладывать к больному горлу. Рекомендуется использовать натуральную ткань, особенно помогает шерсть, снижая воспалительный процесс на миндалинах
- Содово-соляной раствор. Добавить и соединить можно следующие ингредиенты: морскую и пищевой соль с добавлением нескольких капель йода. Чтобы достичь оптимального результата, рекомендуется полоскать горло и носовую полость
- Полоскание горла с хреном и сока алоэ. Достаточно соединить оба компонента и раствором полоскать горло. Помогает избавиться от вредных микробов
- Отвары не менее полезны. Рекомендуется использовать кору дуба, календулу, лопухи и шалфей. Для максимального эффекта нужно полоскать трижды в день.
Как выглядит грибковая ангина
Эту ангину еще называют кандидозная потому, что она образуется из-за патогенной деятельности грибка Candida. Для заболевания характерно наличие в зеве творожистого бледно-желтого или белого налета, легко снимающегося обычным шпателем. После этого на миндалинах появляются небольшие кровоточащие ранки.
Через какое-то время после очистки горла налет возникает вновь. Без соответствующей терапии при хорошем иммунитете налет может приобрести сероватый окрас. Это говорит о том, что организм активно борется с заболеванием.
При ослабленном иммунитете этот налет приобретает коричневый оттенок с алыми субстратами. Это свидетельствует о том, что грибок проник в железистую ткань миндалин.
Контент может оказаться неприятным для просмотра
Виды
Существует несколько видов заболевания:
- Вирусная
- Хроническая
- Острая
Вирусный
Основной причиной возникновения является несоблюдение гигиены надлежащим образом. Также распространение может происходить посредством контакта с больным человека по воздуху.
Первые признаки появляются в ближайшие пару дней. Резко поднимается температура, увеличение миндалин в размере, становится трудно дышать.
Хронический
Развивается на основе острой формы. Если вовремя не оказать грамотное и эффективное лечение, то острый тонзиллит приобретает хроническую форму.
Среди основных симптомов можно выделить частые болезни, при которых постоянно возникают болевые ощущения в горле. Иммунная система сразу ослабевает и не в состоянии дать отпор нарастающей инфекции.
Острый
Острая форма тонзиллита активно проявляет себе в течение трех дней. На начальной стадии появляются головные боли различной интенсивности, общее физическое недомогание и снижается аппетит.
По мере развития воспалительный процесс переходит на миндалины, температура сильно повышается.
Узнайте, как лечить чувствительность зубов в домашних условиях. Что делать , когда сводит челюсть? Ответ здесь.
Признаки ангины, фото болезни
Острый тонзиллит — очень коварное заболевание, поэтому родители должны насторожиться, если ребенок жалуется на боли при глотании. Ниже приведены фото горла при ангине:
При ангине на миндалинах виден белый или зеленоватый налет
Горло у ребенка болит очень сильно
Если взглянуть на фото просто воспаленного горла у ребенка, разница будет заметна сразу:
При воспалении горла белых «бляшек» в миндалинах нет
Здесь отсутствует налет, по которому собственно и диагностируется хронический тонзиллит.
Если попытаться очистить лакуны от белых скоплений, они достаточно легко снимутся шпателем. При этом открывшаяся слизистая не начнет кровоточить. Но больной испытает острую боль.
К прочим симптомам острого поражения небных миндалин педиатры относят:
- повышение температуры тела (на протяжении нескольких дней может держаться на отметке выше 38,5-39 оС);
- общую слабость;
- головные боли;
- ломоту в суставах;
- увеличение миндалин (их поверхность становится рыхлой);
- невозможность нормально глотать пищу, воду из-за сильнейших болей;
- увеличение лимфатических узлов.
Но не всегда ангина выглядит одинаково. Установив наличие ангины, педиатру предстоит определить ее форму.
Форма
Среди форм болезни принято выделять:
- Катаральная
- Лакунарная
- Фолликулярная
- Флегмонозная
- Герпетическая
- Язвенно-некротическая.
Агранулоцитарная
Считается атипичной формой болезни. Среди основных признаков можно выделить резкое повышение температуры, проявление язвенно-некротических изменений, слюноотделение становится более обильным.
Катаральная
Размеры миндали сильно увеличиваются, появляется налет белесого цвета. Протекает воспалительный процесс слизистой оболочки, отечность региональных лимфоузлов.
Лакунарная
Гиперемия и отечность проявляются в ярко выраженной форме. Инфильтрацию можно отметить не только на небе (твердом и мягком), а также на глоточной стенке. По этой же причине диагностируется сильный отек миндалин.
Моноцитарная
Гланды и миндалины резко увеличиваются в размерах, человек чувствует общее недомогание, сильные мигрени и насморк. Глотать слюну становится практически невозможно. В дополнении может развиваться инфекция герпеса.
Язвенно-пленчатая
Организм в особенности подвержен развитию данной формы после переноса тяжелых вирусных инфекций. Также негативно сказывается недостаточное количества витаминов группы B, C.
Среди основных признаков некроз зева или части миндалин. Посредством таких изменений начинает разрастаться язва. В ротовой полости появляется неприятный запах гнили.
Как выглядит флегмонозная ангина
При флегмонозном тонзиллите центр воспаления локализуется в самой миндалине и околоминдаликовой клетчатке. Она считается наиболее тяжелой формой тонзиллита. Чаще всего это заболевание затрагивает только одну миндалину. Флегмонозной ангиной практически не болеют дети младше 6 лет.
Для этой болезни характерны следующие признаки:
- отекание небных дужек;
- покраснение мягкого неба;
- гиперемия конического отростка заднего края неба над верхним полюсом миндалины;
- побледнение слизистой;
- отечность миндалин без четких границ.
Миндалина смещена книзу и слегка к середине. В горле начинает образовываться инфильтрат, выдающийся в сторону ротоглотки. Изо рта больного чувствуется неприятный зловонный запах.
При отсутствии своевременного лечения может развиться паратонзиллярный абсцесс (флегмона). Миндалины отекают и становятся ярко-красными. Чаще всего абсцесс затем вскрывается через одну из крипт миндалин самостоятельно. Если абсцесс вскрывается без хирургического вмешательства, поначалу образуется свищ, который в дальнейшем рубцуется.
Как происходит заражение
Самой распространенной формой заражения является воздушно-капельный путь в процессе контакта с больным человеком. Не исключен алиментарный способ передачи, когда основным источником являются продукты питания.
Самозаражение наступает в том случае, когда неактивные вредные микроорганизмы просыпаются и начинает активно размножаться в организме. В результате работа иммунного барьера снижается и человек начинает болеть гораздо чаще.
Лечение тонзиллита у детей
Как лечить тонзиллит у ребенка, решает педиатр или ЛОР-врач.
Показан постельный режим, обильное питье. Пища должна быть легкоусвояемой, щадящей, богатой витаминами, в основном – молочно-растительной.
В период терапии рекомендуется отдавать предпочтение молочно-растительной диете
При подозрении, а также при подтверждении бактериальной формы ангины назначаются антибиотики широкого спектра действия:
- пенициллины (Амоксициллин);
- цефалоспорины (Цефалексин);
- макролиды (Джозамицин).
Препаратами выбора для лечения стрептококкового тонзиллита являются Амоксициллин или Феноксиметилпенициллин. Антибиотик должен назначаться только специалистом.
При вирусном поражении антибиотикотерапия не проводится. В этом случае врач подбирает противовирусные и иммуностимулирующие препараты.
Мирамистин – один из часто назначаемых местных препаратов
Важная роль отводится местной терапии. Назначаются теплые полоскания горла средствами с антимикробным или антисептическим эффектом:
- раствор фурацилина;
- слабый раствор перманганата калия;
- раствор Хлоргексидина или Мирамистина;
- раствор гидрокарбоната натрия;
- отвар шалфея, календулы, ромашки;
- растворы с морской солью.
Область миндалин и глотки смазывают Протарголом, раствором Люголя.
Также назначаются ингаляции раствором Кромогексала, Тонзилгона Н, Мирамистина. Положительные отзывы подтверждают, что максимальный терапевтический эффект эти средства оказывают при использовании небулайзера, который превращает раствор в аэрозоль.
При высокой температуре (от 38–38,5 °С) показаны нестероидные противовоспалительные препараты (Нурофен, Парацетамол). Выраженная интоксикация в сочетании с высокой лихорадкой могут спровоцировать появление судорог, рвоты и потери сознания, особенно у новорожденных и грудных детей.
Для восполнения водного баланса можно использовать отвар шиповника
По совету доктора Е. О. Комаровского, очень важно восполнять водный баланс. В домашних условиях рекомендуется частое питье небольшими глотками. Для этого подходит минеральная вода, чай с малиной, лимоном и/или медом, отвар шиповника, фруктовые соки. В условиях стационара объемы теряемой с температурой жидкости восполняют внутривенными вливаниями.
При хроническом тонзиллите применяют физиотерапевтические методы лечения, которые оказывают стимулирующее действие на организм. Часто используются:
- УВЧ (ультравысокочастотная терапия);
- воздействие гелий-неоновым лазером;
- ультрафиолетовое облучение миндалин;
- электрофорез хлорида кальция;
- ультрафонофорез интерферона, экстракта алоэ;
- грязелечение.
Выраженная интоксикация в сочетании с высокой лихорадкой могут спровоцировать появление судорог, рвоты и потери сознания, особенно у новорожденных и грудных детей.
При рецидивирующем течении заболевания миндалины подлежат удалению.
Меры профилактики
Основными профилактическими мерами является поддержание в надлежащем состоянии иммунитета, который противится распространению вредных микроорганизмов. Рекомендуется принимать комплексы витаминов, чтобы поддерживать работоспособность организма, избегать резких переохлаждений и контактов с заболевшими людьми.
Тонзиллит имеет множество форм и видов проявления, но во избежание серьезных побочных симптомов и качественного ухудшения ситуации необходимо начинать лечение как можно раньше.
Смотрите, как лечить сыпь на слизистой полости рта у детей. Через сколько можно есть, поставили световую пломбу? Подробности в статье.
Чем лечить стоматит у детей во рту? Читать далее.
Справиться с хронической формой намного труднее, поскольку она приобретает устойчивый характер. Необходимо использовать только комплексное лечение, помогающее освободиться от неприятных и болезненных ощущений.
Как выглядит язвенно-пленчатая ангина
Для этого типа тонзиллита характерно наличие на миндалинах сероватого или светло-желтого налета, который практически невозможно снять шпателем. Островки высыпаний имеют округлую форму. Ротоглотка краснеет. Небные дужки увеличиваются и нависают над входом в зев.
Поверхность пленки окружена характерным воспаленным ободком. Если все-таки удалить пленочный налет, можно увидеть инфицированную поверхность с небольшими округлыми язвочками желтоватого оттенка.
Иногда язвы перекидываются на десны, надкостницу и даже язык. При этом может наблюдаться разрыхление слизистой.
Контент может оказаться неприятным для просмотра
Профилактические мероприятия
Основными мерами профилактики являются мероприятия, которые повышают иммунную защиту организма.
С этой целью ребёнку и родителям необходимо выполнять следующие рекомендации:
- Начинать закаливание с младшего детского возраста. В этом случае будет оправдано применение ножных ванночек с постепенным охлаждением температурой воды. Можно использовать обтирание горячим полотенцем, постепенно уменьшая его температуру.
- Обеспечить ребенку правильное и сбалансированное питание, в котором основную роль уделить поступлению витаминов и полезных микро и макроэлементов.
- Ежедневно совершать прогулки на открытом свежем воздухе, но при этом избегать переохлаждения.
- Позитивными эффектом в укреплении иммунного статуса организма будут обладать ежегодные поездки на берег моря.
- Не откладывать санацию полости рта.
Тонзиллит у детей, это небезопасное заболевание, которое требует повышенное бдительности у родителей. В силу того что данная патология имеет тенденцию к быстрому прогрессированию.
Первая симптоматика не должна оставаться без внимания, и сопровождаться срочным обращением к доктору.
Родителям необходимо знать, что промедление может не только ухудшить состояние ребенка, но и вызвать ситуации, которые будут представлять угрозу для жизни своего малыша.
Тонзиллит: симптомы и лечение у ребенка, фото
В норме простудными заболеваниями дети могут болеть до десяти раз в год. Обычно это вирусные патологии, которые устраняются быстро при помощи элементарных средств. Однако у некоторых малышей может развиваться такое заболевание, как тонзиллит. Симптомы и лечение у ребенка будут описаны в данной статье. Вы узнаете, какие формы имеет эта патология. Также стоит сказать о том, какие препараты используются для коррекции состояния больного.
Что это такое?
Как развивается и что собой представляет патология под названием тонзиллит? Симптомы и лечение у ребенка будут представлены вашему вниманию ниже. Тонзиллит – это поражение миндалин и глоточного кольца, которое состоит из лимфоидной ткани. Задача этой области – защита от микробов и вирусов. Именно поэтому практически при каждом простудном заболевании врач обнаруживает здесь покраснение и воспалительный процесс.
Тонзиллит многие называют ангиной. В какой-то степени это правильно. Бактериальное поражение миндалин – это и есть гнойная ангина. Однако в большинстве случаев тонзиллит развивается вследствие вирусного заболевания. Патология часто встречается в острой форме. Более коварным врагом для иммунитета становится хронический тонзиллит. Симптомы и лечение у детей этой болезни вы узнаете далее.
Как происходит заражение?
Тонзиллит у детей, симптомы и лечение которого должны быть взаимосвязаны, встречается довольно часто. Первые признаки появляются уже через 1-3 дня после заражения. Часто оно происходит воздушно-капельным путем. Такая картина характерна для вирусного тонзиллита. Особому риску подвержены дети, которые находятся в больших группах (детские сады, школы, спортивные комплексы).
Если патология имеет бактериальное происхождение, то заразиться можно бытовым путем (через игрушки, предметы личного пользования, руки). Стоит отметить, что такое течение болезни более тяжелое. Еще несколько десятилетий назад оно могло приводить к необратимым осложнениям. Хронический тонзиллит не заразен, если речь не идет об обострении.
Тонзиллит у детей: симптомы и лечение
Комаровский – опытный детский врач. Он говорит, что эти два понятия должны быть неразрывно связаны. Безусловно, воспаление миндалин должно лечиться соответствующими препаратами. Однако во время коррекции могут использоваться лекарства для устранения боли в горле, а также медикаменты, снижающие температуру тела.
Если у пациента нет особых жалоб, то и применение симптоматических составов можно исключить. Возник тонзиллит у ребенка? Симптомы и лечение известны каждому педиатру. В зависимости от проявления болезни подбирается терапия.
Симптомы патологии
Признаки тонзиллита у всех детей могут быть разными. Одни малыши не испытывают никакого беспокойства, другие же переносят все неприятные проявления болезни. Признаки недуга сильно отличаются в зависимости от его характера. Для острого течения патологии характерны следующие симптомы:
- сильная боль в гортани, которая становится невыносимой при глотании;
- потеря аппетита и слюнотечение;
- лихорадочный синдром (температура может повышаться до 40 градусов);
- хриплый и сиплый голос, нередко сопровождающийся сухим кашлем;
- недомогание, слабость и головная боль;
- нарушение пищеварения в виде тошноты и рвоты, интоксикация;
- покраснение и увеличение миндалин;
- когда речь идет о бактериальной форме тонзиллита, то на гландах обнаруживается налет в виде точек.
Хроническая форма болезни имеет менее агрессивное течение, однако она более неприятна. При ней иногда держится постоянная температура тела в диапазоне 37-37,2 градуса. Во время осмотра обнаруживаются рыхлые увеличенные миндалины, которые, по сути, теряют свои защитные функции.
Коррекция болезни
Вы уже знаете, что тонзиллит (симптомы и лечение у ребенка данного недуга должны находиться под постоянным контролем специалиста) довольно распространенное заболевание. Терапия заключается в использовании антибактериальных составов, иммуномодуляторов, препаратов для местного использования и обработки горла. Иногда назначаются антигистаминные средства, противовирусные и обезболивающие препараты.
При развитии дополнительных симптомов производится соответствующая терапия. Коррекция хронического тонзиллита заключается в общем укреплении организма и иммунитета ребенка. Это можно делать при помощи лекарственных средств или народных методов. Рассмотрим, как при такой болезни, как тонзиллит, симптомы и лечение у детей 2 лет зависят друг от друга.
Антибактериальные препараты широкого спектра действия
Вам уже стало известно, какие имеет острый тонзиллит симптомы. И лечение у детей будет сейчас представлено вашему вниманию. Практически всегда эта болезнь требует использования антибактериальных средств. Если повышение температуры и сопутствующие признаки не исчезают через 5 дней, то велика вероятность того, что причина воспаления – бактерии.
Антибиотики применяются перорально и внутримышечно. Реже требуется внутривенное введение лекарств. Наиболее распространенные препараты, используемые в терапии, – это «Амоксициллин», «Флемоксин», «Сумамед», «Цефтриаксон» и так далее. Иногда лечение сопровождается применением противомикробного лекарства «Бисептол» и ему подобных. Антибактериальная терапия при любом заболевании предусматривает использование комплекса полезных бактерий. Это могут быть такие препараты, как «Линекс», «Энтерол», «Хилак Форте» и так далее. Уточните этот вопрос у своего врача.
Дополнительные средства в лечении патологии
Устранить боль, недомогание и повышение температуры помогут такие составы, как «Нурофен», «Парацетамол» или «Цефекон». Эти лекарства разрешены к использованию даже у маленьких детей. Если недуг вызывает мучительную боль в горле, то врачи прописывают соответствующие симптоматические препараты: «Гексорал», «Тантум Верде», «Хлорофиллипт», «Мирамистин», «Гаммидин» и другие. Стоит всегда учитывать возраст ребенка, назначая их.
Чтобы устранить интоксикацию в организме малыша, педиатры назначают следующие составы: «Смекта», «Энтеросгель», «Полисорб» и так далее. Все они являются сорбентами. Они выводят токсины из организма. Особенностью их применения является то, что нужно делать перерыв в принятии других лекарств 2-3 часа.
Когда во время болезни возникает мучительный сухой кашель, врачи назначают ингаляции. Очень хорошо помогает вдыхание паров обычной минеральной воды. Щелочь благоприятно воздействует на дыхательные пути, а также горло и миндалины. Если у вас нет ингалятора, то можно принимать препарат «Гербион» или «Коделак Нео». Они блокируют кашлевые рецепторы.
Для обработки воспаленных миндалин всегда назначаются лекарства. Это могут быть солевые растворы, которые будут оказывать заживляющий эффект. Нередко при тонзиллите назначают раствор Люголя. Этот препарат проверен временем, однако он может вызывать аллергические реакции.
Хронический тонзиллит: симптомы и лечение у ребенка
Эта форма болезни развивается тогда, когда острый тонзиллит не долечивается или попросту игнорируется. Симптомами хронической патологии становятся частые болезни, постоянная боль в горле. Иммунитет начинает ослабевать. Гланды теперь становятся не защитными вратами, а источником инфекции.
Лечение хронической формы болезни может проводиться несколькими способами. многие врачи рекомендуют попросту удалить миндалины. Однако на такую операцию соглашаются единицы. Специалисты советуют пациенту перебраться поближе к морю. Соленый щелочной воздух способствует скорейшему заживлению миндалин. Лечение хронического тонзиллита заключается в повышении иммунитета. Для этого можно использовать такие препараты, как «Анаферон», «Виферон», «Изопринозин» и многие другие. Часто врачи прописывают восстанавливающие витаминные комплексы, например «Иммунокинд», «Тонзилгон». Принимать их следует длительное время. В этом случае будет заметный эффект.
Коррекция патологии может проводиться народными средствами. Это использование имбирного чая, принятие отваров эхинацеи. Такие составы повышают иммунитет и уничтожают болезнетворные бактерии. Регулярное промывание миндалин способствует их очищению.
Если при хроническом тонзиллите возникает лимфаденит (увеличение лимфатических узлов), то стоит обратиться к соответствующему специалисту. В норме эти участки могут восстанавливаться до трех месяцев. Если увеличение узлов наблюдается дольше, то требуется проводить соответствующее лечение. Оно назначается по индивидуальной схеме более серьезными лекарственными средствами.
Заключение статьи
Теперь вы знаете, что такое тонзиллит у детей. Симптомы и лечение, фото некоторых препаратов представлены вашему вниманию в статье. Помните, что никакие медикаменты не стоит принимать без назначения врача. Самостоятельная терапия нередко приводит к осложнениям болезни и возникновению побочных реакций. Лечите тонзиллит вовремя, так как хроническая форма болезни очень неприятна и достаточно опасна. Хорошего вам самочувствия!
fb.ru>
Уход за ребенком во время болезни
Чтобы облегчить состояние малыша, родители должны обеспечить следующий уход:
- Во время лечения тонзиллита у грудничка, необходимо обеспечить достаточным количеством теплой жидкости. Требуется ежедневное проветривание и влажная уборка комнаты.
- Лечение ангины у детей до одного года при легком течении проводится с помощью местных препаратов. Для этого необходимо приобрести в аптеке солевой раствор в баллоне. Орошение горла также можно проводить с помощью пипетки или спринцовки. Горло ребенка должно находиться в тепле, использование согревающих компрессов недопустимо. Для этого можно использовать сухой компресс – теплый шарф или платок.
- При лечении детей от 3 лет можно использовать спреи и аэрозоли для орошения горла. Помимо этого требуется проводить полоскание горла с применением солевого, марганцевого раствора, Фурацилина, перекиси водорода. Процедура должна проводиться не менее 1 раза в час. Также для полоскания могут быть использованы отвары трав, обладающие заживляющими и противовоспалительными свойствами (календула, ромашка, шалфей, эвкалипт).
При лечении тонзиллита в любом возрасте, ребенка необходимо оградить от общения с окружающими, чтобы не заразить других и не подхватить дополнительную инфекцию. Ребенку требуется предоставить отдельную посуду, гигиенические предметы и постельное белье.
Лечение
Все методы лечения тонзиллита у детей подразделяются на консервативные и хирургические. В большинстве случаев тонзиллит прекрасно лечится консервативными методами, после чего наступает полное выздоровление. К оперативному лечению, то есть удалению миндалин прибегают только в случае, когда есть реальные врачебные показания.
Основная цель лечения тонзиллита – это избавление от инфекции. Это позволяет очень быстро улучшить общее состояние и сделать ребёнка незаразным для окружающих.
Существуют 4 «золотых» правила, которые нужно соблюдать при лечении тонзиллита у ребёнка:
- Постельный режим. До тех пор, пока температура не станет нормальной, обязательно максимально ограничить физические нагрузки. Это нужно для того, чтобы уменьшить нагрузку на сердце и сосуды во время болезни.
- Обильное тёплое питьё. Слабый чай, компот, настой изюма, некислые фруктовые соки и минеральная вода – это всё способы восполнить потери жидкости при температуре и не допустить пересыхания слизистой глотки.
- Щадящая диета. Естественно, при сильной боли в горле вся пища должна быть жидкой, полужидкой или пюреобразной. При этом питание должно быть легкоусвояемым и богатым витаминами. Нежелательно давать молоко и молочные продукты, поскольку они создают жирную плёнку на миндалинах. Это создаёт прекрасный источник для дальнейшего размножения бактерий.
- Никаких самостоятельных смазываний горла чем-либо. Нельзя также снимать образующийся на миндалинах налёт, поскольку это приводит к дальнейшему распространению инфекции.
При этом тонзиллит нельзя вылечить только домашними средствами. Таким образом нельзя уничтожить причину болезни, то есть бактериальную, грибковую или вирусную инфекцию.
Медикаментозным способом
Поскольку самая частая причина тонзиллита – это стрептококк или пневмококк, то без использования антибиотиков не обойтись. Это помогает получить существенное облегчение уже через сутки после начала лечения. Уже через сутки после начала приёма антибиотиков ребёнок становится незаразным, но полный курс лечения составляет 5 – 7 дней.
Нельзя самостоятельно «отменять» приём антибиотика через 2 – 3 дня, даже если стало намного легче. Это приводит к образованию устойчивых инфекций, требующих намного более сложного и дорогостоящего лечения.
Для лечения бактериального тонзиллита у детей как правило, используются только 3 вида антибиотиков:
- Пенициллин;
- Ампициллин;
- Эритромицин.
Если тонзиллит вызван вирусной инфекцией, организм справится с ней самостоятельно за 5 – 7 дней, если создать для этого правильные условия. Дополнительно для лечения тонзиллита используется симптоматическое лечение. Для этого используются такие лекарства, как:
- Антисептические растворы для полоскания и орошения горла;
- Жаропонижающие средства;
- Дезинфицирующие леденцы для рассасывания;
- Поливитаминные комплексы.
Всё это вспомогательные методы медикаментозной терапии, позволяющие снять неприятные симптомы и улучшить общее состояние. Для снятия отёка слизистой глотки у малыша врач может назначить антигистаминные препараты.
Нельзя использовать для лечения тонзиллита у детей такое популярное в народе средство, как раствор Люголя. Он содержит большое количество йода, что способно в будущем вызвать проблемы с щитовидной железой. Кроме того, он способен вызвать сильный химический ожог слизистой, что ещё больше усиливает боль в горле.
Народными средствами
Любые народные средства при тонзиллите у детей желательно использовать только как вспомогательную терапию в дополнение к назначенному педиатром лечению. Чаще всего это отвары лекарственных растений, которые можно использовать для полоскания горла. Такие травы, как ромашка, шалфей, череда и мята обладают противовоспалительным, смягчающим и успокаивающим действием. Ещё одно хорошее средство для полоскания – это раствор соли в сочетании с содой. Такое полоскание часто помогает быстро уменьшить облегчить боль в горле.
Любые домашние методы лечения тонзиллита у детей можно использовать только после консультации с педиатром, и если нет противопоказаний.
Особо осторожно нужно использовать такое популярное средство, как настойка прополиса. Её можно использовать только после 4 лет, если нет аллергической реакции. Не стоит использовать для лечения ангины сок калины, клюквы или давать ему сосать лимон. Это может привести к ещё большему раздражению слизистой, а значит и усилению боли в горле.
Возможные осложнения
Острый тонзиллит, или ангина – это не «красное горло», возникающее после промокших ног, которое лечится тёплым питьём и полосканиями. Это остро заразное заболевание, способное привести к тяжелым нарушениям функции сердца, суставов и почек. Именно запущенный хронический тонзиллит проводит к развитию в будущем таких опасных болезней, как ревматизм или гломерулонефрит. Именно поэтому лечение нужно начинать сразу же после появления первых признаков. Оно должно быть комплексным, то есть направленным не только на снятие симптомов.
Многие осложнения «дают знать» о себе не сразу, а иногда даже через месяц после кажущегося.
В первую очередь нужно лечить причину болезни, то есть бактериальную, вирусную или грибковую инфекцию. Самыми распространёнными осложнениями острого тонзиллита у малыша становятся такие заболевания, как:
- Острый отит (возникает после попадания инфекции в среднее ухо);
- ретрофарингеальный абсцесс (возникновение очага нагноения на задней стенке глотки);
- лимфаденит (острое воспаление подчелюстных лимфоузлов);
- медиастенит (воспаление средостения, или же средних отделов шеи);
- кровоточивость миндалин при кашле (возникает из-за слабости стенок сосудов у ребёнка).
В редких случаях хронический тонзиллит может приводить к тяжелейшим последствиям, опасным для жизни ребёнка. Это могут быть:
- отёк гортани;
- тонзиллогенный сепсис;
- менингит;
- септический артрит:
- эндокардит.
Существует ещё одно специфическое осложнение стрептококкового тонзиллита, возникающее только у детей. Это скарлатина, возникающая из-за низкого уровня антител к гемолитическому стрептококку.
Как лечат хронический тонзиллит. Лечение народными средствами
Нёбные миндалины считаются единственным серьёзным препятствием на пути патогенных микроорганизмов, распространяющихся воздушно-капельным путём. Попадая на их слизистую и в лакуны, которые представляют собой своеобразные ворота, через которые выделяется особый секрет, противостоящий инфекциям, микробы провоцируют реакцию, направленную на борьбу с ними. В некоторых случаях нёбные миндалины не могут противостоять атаке инфекции и воспаляются сами. Это явление известно в медицине как ангина.
Не долеченные воспалительные заболевания горла и нёбных миндалин могут привести к такому явлению, как хронический тонзиллит (фото в статье предоставлены). Этот недуг появляется в большинстве случаев ещё в детском возрасте. Что представляет собой данное заболевание, каковы причины его возникновения и симптомы, как лечат хронический тонзиллит? Обо всём этом стоит поговорить подробно.
Почему появляется тонзиллит?
Появлению тонзиллита способствует несколько причин, в число которых входит неоднократные обострения острой формы заболевания или частые ангины. Интересно то, что хронический тонзиллит у ребёнка в 90% случаев возникает именно по этим двум причинам, в то время как у взрослых пациентов список провоцирующих факторов значительно шире. К ним можно отнести:
- Высокий уровень загрязнения воздуха, которым дышит человек.
- Высокое содержание в питьевой воде загрязняющих веществ.
- Пониженный уровень естественной защиты организма – иммунитета.
- Систематическое переохлаждение организма.
- Стрессы.
- Хронические заболевания органов дыхания и пищеварения: кариес, синусит.
- Неправильно составленный рацион с преобладанием продуктов, содержащих углеводы и белки.
- Систематическое переутомление.
- Наличие вредных привычек: курение и употребление алкоголя.
- Наследственная предрасположенность.
Формы заболевания
Что касается такого заболевания, как хронический тонзиллит, отзывы специалистов свидетельствуют о наличии нескольких его форм. Во-первых, это рецидивирующая форма, для которой характерно частое возникновение воспалений слизистой глотки, то есть ангины. Во-вторых, это затяжная форма, при которой воспаление нёбных миндалин протекает вяло на протяжении длительного периода времени (до 3 недель). И, наконец, третья форма заболевания, при которой обострение хронического тонзиллита и ангины не появляются в течение длительного времени. Каждая форма заболевания требует особого подхода к лечению и профилактике обострений. Именно это знание помогает понять, как лечат хронический тонзиллит в каждом конкретном случае и почему выбран тот или иной метод.
Признаки заболевания у взрослых и детей
Хронический тонзиллит у взрослых и детей проявляет себя различными симптомами, которые не всегда напрямую могут указывать на наличие именно этого заболевания. Рассмотрим основные из них. При недуге, известном как хронический тонзиллит, у взрослых симптомы зачастую напоминают обычное переутомление и сводятся к постоянной головной боли, слабости и значительному снижению работоспособности. Данная симптоматическая картина обусловлена интоксикацией организма продуктами жизнедеятельности бактерий, обитающих на поверхности нёбных миндалин и внутри них. Так же проявляет себя и хронический тонзиллит у ребёнка. При этом родители могут заметить, что он хуже усваивает материалы в школе или детском саду, стал раздражительным и плаксивым.
Второй наиболее заметный признак наличия хронической формы тонзиллита – чувство постороннего предмета в горле. Данное явление означает, что лакуны нёбных миндалин закупорены крупными пробками, состоящими из казеозных масс, которые к тому же могут содержать небольшое количество остатков пищи. Как правило, появление таких пробок сопровождается неприятным запахом изо рта даже при отсутствии больных кариозных зубов и при абсолютно здоровых дёснах.
Размножающиеся в нёбных миндалинах стафилококки и стрептококки могут вызвать появление неприятных симптомов со стороны практически всех органов человеческого тела, так как проникают из поражённых миндалин практически в любую часть организма. Вот лишь часть симптомов, которые могут беспокоить взрослых и детей при наличии хронического тонзиллита:
- чувство ломоты в суставах и костях;
- нарушения в работе почек, боли в их области;
- нарушения в работе сердца, слабые сердечные колики;
- высыпания на коже, которые не поддаются лечению;
- систематическое повышение температуры тела до субфебрильных величин.
Стоит заметить, что так проявляется хронический тонзиллит у взрослых и детей со стороны многих органов, но это не означает отсутствие их патологии, так как проникнувшие в них микроорганизмы, к сожалению, вызывают воспалительный процесс.
Чем опасен хронический тонзиллит, если его не лечить?
Хроническая форма тонзиллита опасна, прежде всего, тем, что достаточно быстро становится причиной различных осложнений, задевающих многие системы организма. Вырабатываемые патогенной микрофлорой, обитающей в миндалинах, токсины поражают чаще всего хрящи и связки, из-за чего больной человек может постоянно страдать от болей в суставах и мышцах.
Однако наиболее страшным считается взаимосвязь тонзиллита с сердечными заболеваниями. Связано это с тем, что специфический белковый материал, синтезируемый стрептококком в миндалинах, схож с белком, из которого состоят соединительные ткани сердца. В результате такого сходства иммунные клетки начинают атаковать не только чужеродные клетки, но и само сердце, вызывая тем самым миокардит или бактериальный эндокардит.
Те же причины лежат в основе возникновения и развития таких заболеваний, как гломерулонефрит и ревматоидный артрит. Как видно из вышеизложенной информации, не стоит шутить с таким заболеванием, как хронический тонзиллит. Симптомы и лечение данного заболевания требуют самого внимательного к себе отношения, иначе его воздействие на организм может иметь тяжкие последствия, особенно в детском возрасте.
Методы лечения хронического тонзиллита
Рассмотрим несколько основных моментов, как лечат хронический тонзиллит в настоящее время. Стоит сразу напомнить читателям о том, что методики лечения заболеваний полости рта и глотки несколько изменились в связи с вхождением в медицину высоких технологий. Итак, прежде всего, все способы избавления от хронической формы тонзиллита относятся к консервативным или хирургическим методам.
Если 25-30 лет назад при постановке диагноза специалисты старались сразу прибегнуть к удалению нёбных миндалин, то сегодня лор-врачи стараются использовать максимум способов избавиться от заболевания с помощью медицинских технологий и лекарственных препаратов. Обусловлено это тем, что при удалении миндалин организм человека остаётся практически беззащитным перед инфекциями, передающимися воздушно-капельным путём. В чём особенности этих методов, узнаем прямо сейчас.
Консервативное лечение тонзиллита
Хронический тонзиллит (фото выше) в клиниках начинают лечить по следующему плану.
- Очищение забитых патологическим секретом лакун нёбных миндалин посредством шприца или специального аппарата «Тонзилор». Первый способ менее эффективен и более травмоопасен, чем второй, поэтому в последнее время его используют только в неоснащённых медицинскими приборами кабинетах.
- Воздействие на ткани миндалин и задней стенки нёба ультразвуком, лазером, виброакустическим аппаратом, лекарственными растворами. Данная группа мероприятий направлена на устранение отёка тканей горла и нёбных миндалин, уменьшение количества бактериальной микрофлоры в них и улучшение естественной трофики.
- Медикаментозная терапия, приём антибиотиков и иммуномодуляторов синтетического или растительного происхождения.
- Назначение диеты, направленной на предотвращение раздражения нёбных миндалин и усиление иммунитета.
Хирургическое удаление нёбных миндалин
Лечение хронического тонзиллита у взрослых и детей хирургическим способом подразделяется на тонзиллэктомию и тонзиллотомию. Как правило, во время этих процедур происходит удаление нёбных миндалин с обеих сторон, и очень редко только с одной. Что же представляют собой данные хирургические операции? Тонзиэллектомия – это полное удаление тканей миндалины, а тонзиллотомия – это частичное хирургическое иссечение миндалин. Все без исключения операции по удалению нёбных миндалин проводятся под местной или общей анестезией.
Наряду с этими двумя операциями некоторые медицинские учреждения практикуют так называемую абсцесстонзиллэктомию, которая представляет собой хирургическое удаление миндалин на фоне полностью развитого паратонзиллярного абсцесса. Основным недостатком данной процедуры считается высокий уровень болезненности во время её проведения, так как нагноение удаляемых тканей становится препятствием для достаточного усвоения анестезирующих препаратов.
Хронический тонзиллит: лечение народными средствами
Ещё одним достаточно распространённым способом, который даже более популярен, чем консервативное и хирургическое лечение тонзиллита, считается народная медицина, которая вобрала в себя опыт сотен поколений, сталкивавшихся с этим недугом. Существуют сотни рецептов, помогающих смягчить течение болезни и даже совсем устранить хронический тонзиллит. Народное лечение разделяется на внешнее воздействие на воспалённые нёбные миндалины и на нормализацию внутренней атмосферы организма, что помогает ему самостоятельно справиться с инфекцией.
К наружным средствам относятся пасты для миндалин, настои или отвары для полоскания горла, припарки и компрессы на область шеи из лекарственных трав и других продуктов. К средствам для внутреннего употребления можно отнести чаи, отвары, настойки и настои, вытяжки, ингаляции и многое другое.
Наружные средства для лечения хронического тонзиллита
Для того чтобы избавиться от болей в горле и воспаления миндалин при таком заболевании, как хронический тонзиллит, лечение народными средствами предлагает несколько достаточно простых в исполнении рецептов. Рассмотрим наиболее популярные из них.
- Припарка из высушенных цветков фиалки, обжаренных в небольшом количестве очищенного растительного масла. В тёплом виде накладывают на шею спереди и оставляют на всю ночь. Этот способ применим в любом возрасте, однако его не рекомендуется применять беременным женщинам.
- Прополис – одно из народных средств, эффективность которого признана официальной медициной. Его можно применять в детском возрасте, во время беременности и кормления грудью. Самый простой способ: держать в течение часа кусочек (1-2 г) очищенного прополиса во рту. Кроме того, можно использовать и настой прополиса на медицинском спирте (20 г на 100 мл спирта). Растворить 10 капель настойки в половине стакана прокипячённой охлаждённой воды и полоскать этим составом горло 5-6 раз в день.
- Паста для нанесения на миндалины. В состав таких препаратов обычно входят части растений, обладающих смягчающим и противомикробным эффектом. Например, один рецепт народной медицины предлагает использовать в качестве компонентов пасты семя льна, горчицы (не горчичный порошок!), редиса огородного и петрушки, а также небольшой корешок хрена. Измельчив все компоненты до состояния густой массы, её можно слегка разбавить кипячёной водой для того, чтобы легче было смазывать миндалины.
- Ингаляции с применением эфирных масел чайного дерева, эвкалипта и ромашки проводятся или привычным всем способом с применением кастрюльки с горячей водой, или при помощи небулайзера. Этот способ помогает устранить воспаление и помогает уменьшить кашель. Стоит напомнить, что наибольшая эффективность от лечения хронического тонзиллита ингаляциями наступает, если их проводят в период ремиссии, то есть при отсутствии ярко выраженного воспаления в миндалинах.
Несмотря на то что народная медицина многими считается абсолютно безопасной и безобидной, не стоит забывать, что при применении некоторых рецептов могут возникнуть серьёзные осложнения. К таким «опасным» методам лечения специалисты относят использование для устранения воспаления нёбных миндалин керосина и других нефтепродуктов. Помните, что такие специфические и не всегда оправданные средства могут привести к тяжелейшим отравлениям и ожогам пищеварительного тракта.
Напитки для лечения хронического тонзиллита
Вы спросите: «Как лечат хронический тонзиллит с помощью чая?» Всё просто! Во-первых, целебные напитки включают в себя множество очень полезных не только для горла, но и для организма в целом трав. Во-вторых, целебные напитки намного вкуснее и приятнее в применении, чем пасты, которые приходится наносить на миндалины, или частые полоскания. И в-третьих, это просто вкусно!
Наиболее эффективными в отношении хронического тонзиллита считаются напитки, содержащие продукцию пчеловодства: мёд и прополис, а также цитрусовые, имбирь, чеснок и лук. Такие компоненты чаёв и настоев помогают бороться не только с воспалением нёбных миндалин, но и непосредственно с инфекцией в них. Вот лишь некоторые рецепты лечебных напитков, применение которых, по мнению народных целителей, помогает избавиться от хронического тонзиллита.
- В 0,5 литра тёплой кипячёной воды добавить сок от двух плодов лайма и двух лимонов, 10 ст. л. натурального пчелиного мёда, хорошо размешать. Полученный напиток выпить в течение дня. Данное средство может использоваться для лечения пациентов с самого раннего возраста и во время беременности при условии отсутствия аллергии на входящие в состав напитка компоненты.
- В стакан горячего молока добавить по щепотке куркумы и белого молотого перца, размешать и выпить напиток перед сном. Употреблять это средство необходимо в течение 3-4 дней.
- Для приготовления имбирного целебного чая понадобится кусочек корня имбиря размером с большой палец, пара некрупных лимонов, один крупный зубчик чеснока и мёд по вкусу. Корень измельчают на тёрке, лимон и чеснок также измельчают и помещают в посуду, заливают 0,5 л чистой воды. Смесь доводят до кипения и нагревают в течение получаса, не давая сильно бурлить. После процеживания можно добавить в напиток мёд. Этот чай можно использовать для лечения хронического тонзиллита у беременных и детей.
- При беременности народная медицина советует использовать в качестве лекарства от хронического тонзиллита чай, в состав которого входят: по 30 г высушенных листьев подорожника и дикой мальвы и столько же корня алтея. На 1 стакан кипятка потребуется 1 ст. л. приготовленной целебной смеси. Настаивать напиток необходимо в термосе в течение часа, а принимать по 1/2 стакана два раза в день перед едой.
Лечение народными методами хронического тонзиллита всегда более продолжительное, чем лекарствами из аптеки. Поэтому, выбирая такой способ избавления от болезни, необходимо запастись терпением.
syl.ru>
Симптомы патологии
Признаки тонзиллита у всех детей могут быть разными. Одни малыши не испытывают никакого беспокойства, другие же переносят все неприятные проявления болезни. Признаки недуга сильно отличаются в зависимости от его характера. Для острого течения патологии характерны следующие симптомы:
- сильная боль в гортани, которая становится невыносимой при глотании;
- потеря аппетита и слюнотечение;
- лихорадочный синдром (температура может повышаться до 40 градусов);
- хриплый и сиплый голос, нередко сопровождающийся сухим кашлем;
- недомогание, слабость и головная боль;
- нарушение пищеварения в виде тошноты и рвоты, интоксикация;
- покраснение и увеличение миндалин;
- когда речь идет о бактериальной форме тонзиллита, то на гландах обнаруживается налет в виде точек.
Хроническая форма болезни имеет менее агрессивное течение, однако она более неприятна. При ней иногда держится постоянная температура тела в диапазоне 37-37,2 градуса. Во время осмотра обнаруживаются рыхлые увеличенные миндалины, которые, по сути, теряют свои защитные функции.
Определение заболевания
Тонзиллит – это образование острого воспаления нёбных миндалин, которые чаще всего называют гландами. Поскольку он чаще всего вызван бактериальной инфекцией, то это заболевание острозаразно. Тонзиллит возможен у детей, начиная с 6 месяцев, поскольку именно с этого возраста начинают расти миндалины.
Начинать лечение болезни нужно как можно раньше, чтобы не допустить патологического изменения ткани миндалин.
Существует несколько форм острого тонзиллита, или ангины, от которых зависит степень поражения миндалин. Это может быть:
- Катаральная ангина;
- Фолликулярная ангина;
- Лакунарная ангина;
- Некротическая ангина.
Существуют также специфические формы, вызванные грибковой или герпесной инфекцией. Это может быть ангина Симановского-Венсана, для лечения которой не используются антибиотики. Наиболее тяжело вылечить некротическую ангину, при которой часто происходит омертвение ткани миндалин.
Признаки сходных заболеваний, которые не проявляются при ангине
Главный признак того, что речь идёт не об ангине — это появление гноя или отдельных гнойничков, а также воспаления слизистых оболочек за пределами миндалин. Сама ангина — это именно тонзиллит, воспаление гланд, и если в патологический процесс вовлекаются не они, значит, это не ангина.
В частности, воспаление задней стенки горла — это не ангина. На фото показаны варианты вирусных фарингитов, которые нередко принимают за ангину:
Следующие признаки:
- Воспаление только одной миндалины — при истинной ангине не наблюдается;
- Белый гноеподобный налёт, который достаточно легко снимается без боли и повреждений под ним — признак грибкового поражения миндалин или инфекционного мононуклеоза;
- Отек горла — признак ларингита. При ангине горло в процесс воспаления не вовлекается.
Важными диагностическими признаками являются насморк и кашель. При ангине они не возникают, но они же являются нормой для вирусных инфекций. Однако насморк и кашель не возникают также и при грибковых поражениях горла, а значит, они позволяют дифференцировать ОРВИ от ангины, но абсолютно надежными признаками не являются.
Кроме того, на ранних сроках болезни (в первые день-два), когда горло только начинает болеть, но значительного воспаления ещё нет, горло при ангине такое же, как и при типичных ОРВИ, а надёжно диагностировать болезнь только по внешним признакам практически невозможно.
Как предотвратить ангину?
Есть несколько правил, которые помогут предотвратить заражение ангиной и другими инфекциями:
- ребенок должен мыть руки после прихода с улицы;
- если кто-то в семье заболел, то держите малыша подальше от больного, не используйте для них одну посуду, а также такие вещи, как полотенце;
- избегайте переохлаждений. Для этого следует одевать свое чадо по погоде и не давать ему слишком холодную воду. Тем, кто подвержен развитию тонзиллита, желательно не есть мороженное;
- укрепляйте иммунитет при помощи витаминов и здоровой еды. Частая ангина у ребенка может быть связана именно со слабой защитой организма;
- заботьтесь о чистоте в доме, проветривайте комнату ребенка, чтобы в ней не скапливались пыль и бактерии.
Надеемся, наши советы будут Вам полезны!
Будьте здоровы!
Диагностика
Стандартная диагностика ангины включает:
- фарингоскопию,
- лабораторные исследования,
- мазок из зева.
Фарингоскопия
В ходе фарингоскопии врач исследует следующие изменения:
- отек небных дужек;
- налет на миндалинах;
- наличие пузырьков на мягком небе;
- увеличение миндалин;
- наличие гнойных пробок.
Лабораторная диагностика
Исследования в лаборатории включают:
- ОАК, он показывает:
- сдвиг количества лейкоцитов;
- изменение процентного соотношения моноцитов и лимфоцитов.
- ПЦР (полимеразная цепная реакция) позволяет быстро и точно найти возбудителей инфекции.
- ИФА (иммуноферментный анализ) определяет наличие вирусов и пр.
Исследование мазка из зева
Патоген, который стал причиной тонзиллита, определяется в ходе исследований:
- Бактериоскопического метода, позволяющего с помощью специальной окраски выявить в мазке нити грибков и стрептококки.
- Серологического анализа, который предназначен для выявления β-гемолитического стрептококка.
- Бактериологического анализа.
Применение местных антисептиков
Если появились признаки того, что возникла ангина у детей (3 года), чем лечить при этой патологии горло? На самой ранней стадии недуга малышам назначаются местные антисептики. Это такие препараты, как «Мирамистин», «Ингалипт», «Тангум верде», «Ангал С спрей» и другие. Они снизят боли в горле и продезинфицируют полость рта. Если обнаружена ангина у детей (3 года), лечение патологии должно включать в себя применение растворов для полоскания. Малышам назначают такие препараты, как: — 0,1 процентный калия перманганат; — раствор фурацилина; — смесь из ½ ч.л. пищевой соды с солью, в которую добавлены 2-3 капельки йода; — 1% раствор борной кислоты; — «Стоматолин».
Если малыш пока не может самостоятельно полоскать горлышко, то гной с миндалин снимают тампонами, смоченными в лекарстве. Для этого родители должны намотать на указательный палец своей руки вату, окунуть ее в препарат и смазать ребенку горло. Такая процедура будет намного эффективнее полоскания.
Для смазывания горла подойдут такие препараты, как «Стоматолин», «Хлорофилипт» (масляный), а также «Леуголь» и перекись с малым содержанием воды.
Особенности ангины у детей 2 и 3 лет
Тонзиллитом или ангиной (от лат. «ango» — «сжимаю, сдавливаю, душу) называют заболевание воспалительного характера, которое поражает лимфоидную ткань горла (миндалины). Поскольку миндалины у детей являются первой линией защиты организма от вирусов или бактерий, они легко заражаются или воспаляются. В период полового созревания их функция упрощается, поэтому случаи тонзиллита во взрослом возрасте более редки.
При заражении миндалины происходят следующие процессы:
- отек тканей;
- выделение гнойно-слизистого экссудата;
- интоксикация организма.
Все это значительно влияет на состояние человека, тем более дети тяжелее переносят подобные ЛОР-заболевания. Кроме того, интоксикация сопровождается повышением температуры, а это может стать опасным для малыша.
Интересно, что под обычной ангиной подразумевают воспаление небных миндалин, так как они поражаются чаще всего. При поражении других частей лимфатического глоточного кольца указывают название воспаленной миндалины, например, «ангина язычной миндалины», или «носоглоточной миндалины».
Описание заболевания
Ангина – это острое инфекционно-воспалительное заболевание (острый тонзиллит). Возбудители: стафилококки, пневмококки, стрептококки, реже – грибковая флора, иные патогенные вирусы и бактерии. Формирование патологии происходит при наличии благоприятной среды для размножения, например:
- переохлаждение;
- скудное питание;
- авитаминоз;
- малоактивный образ жизни;
- постоянное физическое и психологическое напряжение;
- вирусные инфекции.
Поражение распространяется на небные миндалины – воспаление начинается с гиперемии, увеличения в размерах, отека. Родители не всегда понимают всей тяжести заболевания ангиной.
От интоксикации и быстрого течения патологии страдает весь организм. Больному становится тяжело дышать: если своевременно не обратиться за врачебной помощью и не провести лечение, то маленький ребенок (особенно до года) рискует умереть от асфиксии.
Инкубационный период и заразность ангины
Ангина заразна для окружающих любого возраста. При ослабленной иммунной системе достаточно непродолжительного контакта с человеком, который является носителем возбудителя патологии. Заражение возможно и в инкубационный период, то есть в период времени от проникновения инфекции в организм до появления первых симптомов. Длительность инкубационного периода зависит от:
- этиологии патогенного агента;
- общего состояния организма;
- наличия у больного хронических заболеваний;
- разновидности ангины;
- степени функционирования иммунной системы.
В зависимости от этих факторов инкубационный период ангины у детей по продолжительности варьируется в пределах от 12 часов до 12 дней. За это время болезнетворные бактерии и микроорганизмы обосновываются в полости рта и начинают активное размножение. Инфицирование возможно не только в разгар патологии, ангина у ребенка заразна для окружающих во время терапии и приема антибиотиков.
Начальная стадия заболевания
Когда период инкубации проходит, самочувствие ребенка резко ухудшается. На ранней стадии развития ангины появляется насморк, боль в горле, температура тела повышается, возникают головные и мышечные спазмы, «ломота» во всем теле.
При визуальном осмотре просматривается увеличение миндалин и гиперемия горла, шейные и подчелюстные лимфоузлы также становятся значительно больше нормы. На начальной стадии ангины первым делом следует обратиться к педиатру: он установит диагноз и назначит лечение, направленность которого зависит от возбудителя заболевания и формы патологии.
Дальнейшее течение болезни
Если после возникновения начальных признаков ангины не проводилось соответствующее лечение, то болезнь очень быстро прогрессирует и тяжело протекает. Аппетит малыша резко снижается или вовсе отсутствует, он чувствует усталость, капризничает, проявляет минимальную активность, во сне ведет себя неспокойно.
Нельзя точно сказать сколько длится ангина у детей. Интоксикация распространяется на весь организм, и клиническая картина дополнительно может пополниться следующими признаками:
- тошнота;
- расстройство пищеварительной системы;
- понос;
- лихорадка;
- рвота;
- на поверхности языка образуется белый налет;
- на миндалинах открываются гнойники.
На фото можно увидеть, какие высыпания определяют данную инфекционную патологию.
Профилактика заболевания
Для того чтобы как можно дольше избегать обострений тонзиллита, требуется проводить профилактические мероприятия. Они представляют собой:
- исключить самовольное использование медикаментозных препаратов;
- проводить закаливающие процедуры и умеренные физические нагрузки;
- правильно питаться, рацион питания ребенка должен быть насыщен витаминами, минералами и другими полезными веществами;
- соблюдать режим дня;
- избегать перегревания ребенка;
- предупреждать развитие аллергии.
Также не следует пренебрегать температурным контрастом. Ребенку иногда полезно кушать мороженое, играть в подвижные игры в зимнее время, пить холодную воду.
Благодаря таким мероприятиям у малыша будет укрепляться иммунная система, что является основополагающим фактором предупреждения болезни.
Разновидности и атипичные формы
У маленьких детей встречаются следующие разновидности ангины:
- грибковая (микотическая),
- некротическая,
- катаральная,
- флегмонозная,
- лакунарная,
- герпетическая,
- фолликулярная,
- вирусная.
Для атипичной формы тонзиллита у малышей характерно болезнетворное воздействие бактерий, грибков и вирусов, которые обычно не являются патогенными. Также для такого вида заболевания типична смешанная этиология, т.е. ангина вызвана сразу несколькими патогенами (и вирусом, и бактерией).
Также ангину можно разделить:
- Первичная: болезнь возникает как самостоятельный процесс.
- Вторичная: патология сопровождает иные инфекционные болезни:
- мононуклеоз,
- скарлатину.
Применение антибиотиков
Если в случае поражения стрептококковой инфекцией возникает ангина у ребенка (3 года), чем лечить ее? Устранение патологии потребует применения антибиотиков. Эти препараты назначаются в том случае, если появляется налет на миндалинах, болезненность лимфатических узлов на шее, поднимается высокая температура и при этом отсутствует кашель. При наличии трех из вышеперечисленных признаков в период, когда протекает ангина у ребенка (3 года), антибиотики назначаются врачом даже без проведения микробиологических обследований. Если присутствует один или два симптома, данные препараты могут быть выписаны малышу только после получения положительных результатов анализов.
Ангина является заболеванием инфекционным. Именно поэтому ее течение происходит в тяжелой форме. Основное условие успешного избавления от недуга – своевременно принятые меры. Это позволит не только облегчить состояние больного, но и предотвратить тяжелые осложнения.
Стрептококковая инфекция, вызывающая ангину, наиболее чувствительна к пенициллину. Поэтому врачом для малыша выписываются именно эти средства. Так, препаратом пенициллиновой группы является «Амоксициллин». Выпускается он в различных формах. Это могут быть таблетки, сиропы или капсулы.
Если ангина у детей (3 года), лечение проводят, как правило, с применением суспензий. Иногда малышам назначают уколы. В том случае, когда у ребенка наблюдается непереносимость пенициллина, либо бактерии к этому веществу нечувствительны, назначаются антибиотики, относящиеся к макролидовой группе. Эти лекарственные средства уничтожают большое количество патогенных микроорганизмов и являются высокоэффективными. Первый препарат данной группы – «Эритромицин». В настоящее время широкое распространение получили его аналоги – «Зитролид», «Сумамед» и «Хемомицин».
Какие препараты наиболее эффективны, если ангина у ребенка (3 года)? Быстрее устраняют патологию такие лекарственные средства, как «Амоксиклав», «Сумамед», «Флемоксин-солютаб», «Аугментин», «Супракс» и «Амосин».
Почему он развивается?
Небные миндалины (которые также довольно часто называют «гланды») – это лимфоидные парные анатомические структуры, которые располагаются в между двумя дужками нёба в полости рта по задней глоточной стенке. Миндалины – это защитный барьер номер один, с которым патогенные возбудители сталкиваются при проникновении в организм ребенка. Главная «обязанность» гланд заключается в недопущении дальнейшего продвижения вирусов и бактерий и в создании местного иммунитета. Указанный орган имеет пористую структуру и 10-15 лакун (щелей).
Тонзиллит фото горла ребенка:
При тонзиллите у детей воспаляются и увеличиваются в размерах миндалины
Иногда при проникновении инфекционного агента в организм миндалины не могут отразить его атаку и оказываются пораженными патогенными микроорганизмами. Это могут быть:
- Стафилококки,
- стрептококки, стафилококки,
- гемофильная палочка,
- пневмококки,
- другие бактериальные формы,
- микоплазмы или хламидии,
- вирусные агенты.
Тогда миндалины увеличиваются в размерах, становятся отечными и воспаленными, теряют защитные свойства – развивается тонзиллит.
Инфицирование ребенка патогенными возбудителями происходит преимущественно воздушно-капельным путем (через кашель и чиханье), а также после пользования общими игрушками, предметами гигиены, посудой. Поэтому чаще всего заражаются те дети, которые ходят в детские сады, ясли, кружки, школы, посещают общественные места с большим скоплением людей. Помимо этого, тонзиллит может сформироваться и самостоятельно, когда организм ребенка ослабляется, и условно-патогенные или же патогенные микроорганизмы, обитающие на слизистых, начинают очень быстро размножаться. Это, например, может произойти после переохлаждения или вследствие развития иммунодефицитных состояний различного генеза.
Советы народной медицины
Если ангина у ребенка (3 года), как лечить ее продуктами, данными нам природой? По мнению экспертов в области здравоохранения, народные средства способствуют лишь облегчению состояния больного малыша. Они снимают болевые симптомы в горле и помогают детскому организму быстрее справиться с болезнью. Однако они не могут заменить антибиотики.
Если ангина у ребенка (3 года), как лечить народными средствами маленького пациента? Для этого существует множество рецептов.
Первый совет – утеплить горло. Его нужно обвязать мохеровым или шерстяным шарфом. Такая несложная процедура позволит улучшить кровоснабжение и усилить лимфоток. Кроме того, ребенку следует начинать давать обильное и теплое питье. При этом подойдет чай с лимоном, фруктовый кисель, морсы, отвар шиповника или калины, минеральная вода и т. д. Употребление большого количества жидкости поможет организму быстрее избавиться от токсических продуктов, которые накапливаются в организме во время болезни.
Уже на первом этапе недуга малыша необходимо уложить в постель. Этот режим необходимо будет соблюдать не только в период повышения температуры, но и спустя два-три дня после ее нормализации. Это необходимо для того, чтобы избежать нарушений в работе сердечно-сосудистой системы, которые нередки при ангине. Именно поэтому опасный период желательно провести в постели.
Если ангина у ребенка (3 года), лечить ее можно при помощи ингаляций. Для этого подойдут подручные средства, которые есть в каждом доме. Очень эффективны луковые ингаляции. Целебный овощ натирается на терке и кладется в стакан. Далее берется полотенце и скручивается в виде воронки. Через эту самодельную трубку следует подышать луком. Сеанс обычно длится около трех-пяти минут и повторяется каждые три часа. Стоит иметь в виду, что лук должен быть свежее натертым. В противном случае эффективность продукта значительно снижается.
Подобные ингаляции могут быть проведены с чесноком и луком. Эффективно дышать и над только что сваренной картошкой.
Народные знахари рекомендуют прогревать горло гречкой. Для этого крупу следует насыпать на сковородку и прокалить на огне. После этого горячую гречку помещают в мешочек и греют им горло. Особенно хорош этот способ на начальных этапах недуга. Однако следует иметь в виду, что прогревания запрещены при повышении температуры тела.
Не стоит забывать о малиновом варенье и меде. Эти продукты не только помогут больному горлышку, но и станут развлечением для малыша. Намажьте вареньем или медом глубокую тарелку и предложите ребенку облизать ее. Обычно дети с удовольствием соглашаются это сделать. В процессе вылизывания продукта будет напрягаться корень языка и улучшаться кровообращение в глотке. Одновременно продезинфицируется горлышко.
Народные медики советуют лечить ангину при помощи лимона. Две-три дольки этого фрукта следует очистить от кожуры и снять с них белую пленку. Поочередно кусочки лимона необходимо будет класть в рот ребенка поближе к горлу. Идеальным вариантом является тот, при котором малыш рассасывает дольки. Но даже если ребенок не сможет это сделать, целебный фрукт окажет свое обеззараживающее действие. Процедуры повторяют каждые три часа. На начальных стадиях болезни такой метод способен даже несколько приостановить распространение инфекции.
При налете на миндалинах понадобятся полоскания. Для этого готовят раствор из 1 ч.л. спиртовой настойки зверобоя, календулы или эвкалипта и ста грамм теплой воды. Этим снадобьем горлышко ребенку следует промывать пять-шесть раз в день. Для полосканий можно взять измельченную в кашицу и залитую стаканом теплой кипяченой воды головку чеснока. Во время проведения процедуры раствор не должен попадать через глотку в ушки. Чтобы избежать этого, с малышом надо будет поиграть в курочку, запрокинув его голову назад и попросив его непрерывно повторять «ко-ко-ко».
По окончании процедуры полоскания желательно дать ребенку препарат с антисептиком в форме леденца. При ангине хороший эффект оказывают лекарственные средства, основным компонентом которых являются фенол, хлоргексидин или деквалиния хлорида. Лечебные леденцы могут быть изготовлены и самостоятельно. В рецептуру такого снадобья входят следующие ингредиенты: — 2 ст. л. моркови, натертой на мелкой терке; — 1 ст. л. меда; — 20 капелек настойки прополиса (продается в аптеках); — 1 ч. л. лимонного сока; — 1 ч. л. масла облепихи или шиповника.
Все компоненты следует перемешать, затем положить под язык ребенку пол чайной ложечки снадобья. Такой леденец малыш должен рассасывать медленно.
Облегчит состояние ребенка согревающий компресс. Для его приготовления понадобится взять две части меда, одну – алоэ и 3 – водки. Данной смесью пропитывается несколько слоев бинта, который следует положить на горлышко малышу поближе к челюсти. Это все покрывается пленкой и обматывается теплым шарфиком. Меняется такой компресс три раза в течение дня. Кроме того, его обязательно нужно сделать новый на ночь.
На остром этапе заболевания малышу поможет компресс из творога. Он снимет даже самую острую боль. Для проведения такой процедуры в полотняную ткань следует завернуть сто грамм отжатого творога комнатной температуры. Подготовленный таким образом продукт прикладывают под челюсть малышу. Сверху ткань с творогом накрывается пленкой, а горлышко заматывается шарфом.
