Россия, Тамбов
Телефон:
+7 (953) 704-00-.. Показать номер
Пн-сб: 10:00—19:00четные дни: сб выходной
whatsapp telegram vk email

Митральная недостаточность: развитие, симптомы, диагностика, как лечить, прогноз

Что происходит при митральной недостаточности?

Патология двух створок митрального клапана проявляется в двух основных формах: сужение кольца (стеноз) и недостаточность створок клапана.

При стенозе происходит сужение отверстия, что создает препятствие для кровотока из предсердия в желудочек. В случае недостаточности наблюдается неполное смыкание створок клапана, в результате чего часть крови возвращается обратно в предсердие. Это нарушает нормальное движение крови в сердечных полостях. Предсердие растягивается из-за увеличенного объема крови, и, согласно закону Франка-Старлинга, сердечная мышца предсердия начинает сокращаться с большей силой. При постоянном таком состоянии миокард предсердия утолщается, развивается дилатация и утолщение стенки предсердия. Объем крови в предсердии продолжает увеличиваться, и, поскольку поступающей из легочной системы крови становится слишком много, возникает застойная сердечная недостаточность.

Кроме того, кровь, возвращающаяся в предсердие, не попадает в аорту, что снижает сердечный выброс. Это может привести к уменьшению перфузии внутренних органов, особенно головного мозга. Таким образом, митральная недостаточность негативно сказывается не только на сердце, но и на функционировании всех внутренних органов человека.

Митральная недостаточность представляет собой распространенное сердечно-сосудистое заболевание, которое требует внимательного подхода со стороны врачей. Специалисты отмечают, что развитие этого состояния может быть связано с различными факторами, включая ревматизм, ишемическую болезнь сердца и возрастные изменения. Симптомы, такие как одышка, усталость и сердцебиение, могут проявляться постепенно, что затрудняет раннюю диагностику. Врачи подчеркивают важность регулярных обследований, включая эхокардиографию, для своевременного выявления проблемы. Лечение может варьироваться от медикаментозной терапии до хирургического вмешательства, в зависимости от степени тяжести заболевания. Прогноз при адекватном лечении зачастую благоприятный, однако важно учитывать индивидуальные особенности пациента и стадию болезни.

Пролапс митрального клапана. Симптомы и лечениеПролапс митрального клапана. Симптомы и лечение

Распространенность митральной недостаточности

Изолированный самостоятельный порок сердца встречается редко, его частота составляет примерно 0,6% и 5-10% от общего числа врожденных и приобретенных сердечных аномалий. Обычно такая патология сопровождается стенозом клапана или аортальными пороками. В группе пороков, вызванных ревматизмом, митральные аномалии в комбинированной форме (стеноз и недостаточность) составляют около 14%.

Стадия развития митральной недостаточности Симптомы Диагностика и лечение
Компенсированная стадия: Сердце способно компенсировать недостаточность, минимальные изменения в структуре сердца. Отсутствуют или слабо выражены: незначительная одышка при физической нагрузке, легкая утомляемость. Физикальное обследование (аускультация), ЭКГ, ЭхоКГ. Консервативное лечение: ограничение физической нагрузки, диета с ограничением соли, лекарственные препараты (ингибиторы АПФ, бета-блокаторы, диуретики) для контроля симптомов и замедления прогрессирования.
Декомпенсированная стадия: Сердце не справляется с компенсацией, появляются признаки застоя крови. Одышка в покое, кашель, отек легких, боли в груди, тахикардия, отеки нижних конечностей, утомляемость, головокружение, обмороки. Физикальное обследование, ЭКГ, ЭхоКГ, рентгенография грудной клетки, коронарография (при необходимости). Лечение: медикаментозная терапия (как в компенсированной стадии, но в более высоких дозах), хирургическое вмешательство (пластика митрального клапана, замена митрального клапана).
Терминальная стадия: Тяжелое поражение сердца, выраженная сердечная недостаточность. Выраженная одышка, цианоз, отеки, асцит, гепатомегалия, нарушение функции почек, потеря сознания. Физикальное обследование, ЭКГ, ЭхоКГ, рентгенография грудной клетки. Паллиативная терапия, поддержка жизненно важных функций. Хирургическое вмешательство может быть противопоказано из-за тяжести состояния.
Прогноз: Зависит от стадии заболевания, наличия сопутствующих заболеваний, эффективности лечения. В компенсированной стадии прогноз благоприятный при адекватном лечении. В декомпенсированной и терминальной стадиях прогноз серьезный, возможны осложнения и летальный исход. Регулярное наблюдение у кардиолога, соблюдение рекомендаций по лечению, своевременная коррекция терапии.

Почему развивается недостаточность митрального клапана?

Все причины, способные вызвать деформацию створок и клапанного кольца, можно условно разделить на несколько категорий.

1. Ревматическая недостаточность. Ревматизм — это хроническое заболевание, возникающее после стрептококковой инфекции. Оно затрагивает сердечные и суставные ткани, а также может влиять на головной мозг (хорея) и кожу (кольцевидная эритема, ревматические узелки). Основная причина ревматизма — инфекционно-аутоиммунное воздействие на сердечные ткани. Чаще всего заболевание развивается у детей и молодежи после ангин, хронического тонзиллита, стрептодермии и скарлатины, а также может быть вызвано носительством бета-гемолитического стрептококка группы А. Поражение сердечных тканей, особенно внутренней оболочки, покрывающей клапаны, связано с феноменом антигенной мимикрии. Антигены бактерий БГСА схожи с молекулами клеток эндокарда, что приводит к повреждению собственных клеток сердечных, суставных и кожных тканей. Поэтому через две-три недели после ангины у пациента может проявиться ревматическая лихорадка.

2. Неревматический порок сердца. Этот диагноз ставится пациентам с ишемической болезнью сердца (ИБС), особенно после инфарктов миокарда и развития постинфарктного кардиосклероза (ПИКС). Даже при отсутствии инфарктов, если при обследовании выявляются признаки застойной сердечной недостаточности, следует рассмотреть возможность неревматического порока сердца, вызванного атеросклерозом аорты, устья аортального клапана и стенозом коронарных артерий. В таких случаях может быть диагностирован митральный порок комбинированного типа (стеноз и недостаточность) или сочетанный порок, затрагивающий митральные, аортальные и трикуспидальные створки.

3. Аутоиммунные заболевания. Поражение сердца наблюдается при различных аутоиммунных заболеваниях, таких как волчанка, синдром Леффлера, ревматоидный артрит, склеродермия и других. Это может проявляться как поражение эндокарда с образованием порока, так и повреждением сердечной мышцы (миокарда).

4. Патология системы кровообращения. Заболевания, такие как кардиомиопатии (дилатационная, гипертрофическая, рестриктивная), миокардиодистрофии и длительная артериальная гипертензия, особенно рефрактерная к лечению, могут приводить к относительной недостаточности. Это происходит, когда стенки утолщенного или перерастянутого левого желудочка расходятся настолько, что створки клапана не могут полностью смыкаться. Такой тип митральной недостаточности называется относительным, так как первичного поражения клапана в этих случаях не наблюдается.

5. Острая митральная недостаточность может развиться в результате травматического повреждения сухожильной хорды или разрыва сосочковой мышцы, отвечающих за движение створок. Такие травмы могут быть вызваны внезапным началом острого инфаркта, сильной травмой грудной клетки с ушибом сердца (поэтому торакальные хирурги особенно опасаются ушиба сердца при переломах ребер или грудины), а также бактериальным эндокардитом, который может привести к септическому расплавлению клапанного аппарата.

6. Врожденная митральная недостаточность в изолированном виде встречается редко. Обычно эта патология сочетается с более серьезными врожденными пороками развития сердца, такими как дефекты межжелудочковой и межпредсердной перегородок, открытый аортальный (Боталовым) проток и тетрада Фалло.

Митральная недостаточность — это заболевание, при котором митральный клапан не закрывается полностью, что приводит к обратному току крови в сердце. Люди, страдающие от этого состояния, часто отмечают такие симптомы, как одышка, усталость и сердечные перебои. На начальных стадиях болезнь может протекать бессимптомно, что затрудняет диагностику. Врач может заподозрить митральную недостаточность при прослушивании сердца, а для подтверждения диагноза назначаются эхокардиография и другие исследования.

Лечение зависит от степени тяжести заболевания. В легких случаях достаточно наблюдения и изменения образа жизни, в то время как более серьезные случаи могут требовать медикаментозной терапии или хирургического вмешательства. Прогноз при адекватном лечении может быть благоприятным, однако важно своевременно обращаться к врачу и следить за состоянием сердца.

Митральная недостаточность: степени, симптомы. Диагностика и лечение митральной недостаточностиМитральная недостаточность: степени, симптомы. Диагностика и лечение митральной недостаточности

Как классифицируется недостаточность МК?

Этот тип порока сердца классифицируется по объему регургитации, то есть количеству крови, возвращающемуся в предсердие. Такой подход позволяет не только проанализировать работу створок митрального клапана, но и предсказать темпы развития сердечной недостаточности.

Каждая степень регургитации соответствует определенной стадии митральной недостаточности:

  • 1 степень (объем регургитируемой крови составляет 20-24% от нормального объема, выбрасываемого в аорту во время систолы) – стадия компенсации,
  • 2 степень (объем регургитируемой крови 25-49%) – стадия субкомпенсации,
  • 3 степень (объем 50% и более) – стадия декомпенсации (выраженная недостаточность).

Важно отметить, что у 5-6% здоровых людей может наблюдаться регургитация 1 степени.

Как проявляется порок?

Симптомы МН могут проявляться с задержкой. У некоторых пациентов признаки заболевания отсутствуют на протяжении нескольких месяцев или даже лет, так как мышцы способны компенсировать нарастающие проблемы в функционировании органа.

Со временем начинают появляться первые симптомы МН: приступы одышки, ощущение нехватки воздуха, частая усталость и снижение способности справляться с привычными физическими нагрузками.

При дальнейшем прогрессировании возникают признаки застойной сердечной недостаточности: эпизоды сердечной (не путать с бронхиальной!) астмы, отек легких, выраженные отеки на ногах, увеличение живота и болезненность при пальпации в области правого подреберья. На поздних стадиях затрудненное дыхание становится постоянным даже в состоянии покоя, отеки усиливаются, живот значительно увеличивается, а в плевральной полости накапливается жидкость, сжимая легкие. Без адекватного лечения такие изменения могут быстро привести к летальному исходу. У многих пациентов также наблюдаются постоянные формы фибрилляции предсердий, экстрасистолы и другие нарушения сердечного ритма.

Факты о сердце. Митральная недостаточностьФакты о сердце. Митральная недостаточность

Какое обследование необходимо?

При любых жалобах на работу сердечно-сосудистой системы пациенту необходимо пройти стандартные обследования. В первую очередь это электрокардиограмма (ЭКГ) и ультразвуковое исследование сердца (кардио-скопия). Эти методы доступны в большинстве многопрофильных медицинских учреждений и играют ключевую роль в диагностике сердечных заболеваний. Например, на ЭКГ можно выявить признаки гипертрофии левого предсердия (Р-mitrale — расширенный и раздвоенный зубец Р) и гипертрофии других отделов сердца, что может указывать на прогрессирование болезни.

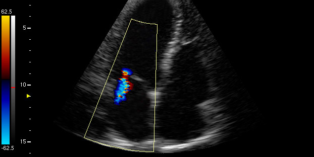
На ультразвуковом исследовании сердца врач определит степень митральной регургитации, оценит увеличение сердечных камер и общую сократительную функцию миокарда.

Кроме того, могут быть назначены рентгенография грудной клетки, длительное мониторирование артериального давления и ЭКГ, а при необходимости — магнитно-резонансная томография сердца.

Какое лечение назначается при митральной недостаточности?

Лечение порока сердца зависит от степени регургитации. При первой степени достаточно медикаментозной терапии. При второй и третьей степенях требуется хирургическое вмешательство из-за риска быстрого развития застойной сердечной недостаточности.

Медикаментозная терапия включает не только кардиотропные средства, но и препараты для лечения основного заболевания, вызвавшего порок. При ангине и тонзиллите рекомендуются антибиотики, предпочтительно из группы пенициллинов. Если они не переносятся, можно использовать цефалоспорины или макролиды. Также необходимо проводить профилактику с помощью бицилина при обнаружении бактерий группы БГСА. При аутоиммунных и ревматических заболеваниях целесообразно назначение глюкокортикостероидов и нестероидных противовоспалительных средств (НПВП).

Среди кардиотропных препаратов часто применяются диуретики, а также средства, снижающие пред- и постнагрузку на сердце, такие как нитраты, бета-блокаторы, ингибиторы АТФ и антагонисты рецепторов ангиотензина II (препараты с окончанием -прил и -сартан).

Хирургическое лечение может включать подшивание створок или кольца клапана, а также имплантацию протеза в клапанное отверстие. При комбинированном пороке чаще всего применяется именно последний вариант вмешательства.

Подходы к терапии в детском возрасте

Учитывая, что у детей могут быть как врожденные, так и приобретенные пороки сердца, эта возрастная группа требует особого внимания со стороны детских кардиологов и кардиохирургов. Если у малыша выявлены серьезные комбинированные пороки сердца, ему необходима хирургическая коррекция, зачастую в первые дни после рождения. Это связано с тем, что в раннем новорожденном периоде происходит значительная перестройка кровеносной системы, отличающаяся от системы кровообращения плода. В результате, в первые дни жизни у ребенка может резко ухудшиться состояние из-за сердечной недостаточности, что может привести к летальному исходу. Своевременное хирургическое вмешательство не только спасает жизнь, но и предотвращает дальнейшие анатомические изменения в сердце по мере роста малыша.

Детям с диагнозом митральной недостаточностью необходимо ежегодно проходить ультразвуковое исследование сердца для оценки ключевых показателей, а также делать ЭКГ каждые шесть месяцев. Если врач назначает кардиотропные препараты в соответствующей возрастной дозировке, родителям важно строго следовать его рекомендациям. Самовольная отмена медикаментов может привести к резкому ухудшению состояния ребенка.

Осложнения и прогноз

К сожалению, естественный ход заболевания неблагоприятен. Возможности сердечной мышцы ограничены, и рано или поздно произойдет декомпенсация. У некоторых это случится раньше, у других — позже. Часто даже при регулярном приеме всех необходимых медикаментов сердечная недостаточность продолжает прогрессировать. В таких случаях стоит рассмотреть возможность хирургического вмешательства для коррекции порока.

Тем не менее, при строгом соблюдении всех рекомендаций врача прогнозы обнадеживающие. Продолжительность жизни пациентов с исправленным пороком значительно увеличивается, и они могут жить десятилетиями даже после операции.

Среди возможных осложнений выделяются нарушения сердечного ритма, тромбоэмболические осложнения и острая левожелудочковая недостаточность (отек легких). Никто не застрахован от этих ситуаций, однако риск их возникновения значительно снижается у пациентов, которые строго следуют указаниям врача и регулярно проходят плановые обследования, как минимум раз в год.

После хирургической коррекции порока могут возникнуть осложнения, такие как инфицирование протеза, рецидив митральной недостаточности и несостоятельность клапана. Эти осложнения встречаются довольно редко, поэтому не стоит опасаться операций по лечению митральной недостаточности.

Видео: лекции о недостаточности митрального клапана

Вопрос-ответ

Можно ли вылечить митральную недостаточность?

Митральная недостаточность – это заболевание, которое можно держать под контролем. Полностью устранить патологию можно только с помощью хирургического вмешательства.

Как быстро прогрессирует митральная недостаточность?

Данная патология опасна своими последствиями для больного. Прогрессирование митральной регургитации при недуге выявляют среди 5-10% пациентов. Прогноз выживаемости при митральной недостаточности составляет 5 лет в 80% случаев и 10 лет в 60% случаев.

Чем опасна митральная недостаточность?

Несвоевременное лечение ведет к глубокой инвалидизации пациентов. Больные не могут встать с кровати без одышки, отеки не поддаются лечению мочегонными препаратами, присоединяется поражение клапанов правых отделов сердца. При отсутствии лечения заболевание протекает длительно и неизбежно приводит к смерти.

Как восстановить митральный клапан?

Отверстие этого клапана сильно ограничено, и восстановить его невозможно. Поэтому его необходимо заменить. При операциях по замене клапана используются механические (металлические) или биологические (свиньи, крупного рогатого скота, лошади и т. д.) клапаны.

Советы

СОВЕТ №1

Регулярно проходите медицинские обследования, особенно если у вас есть предрасположенность к сердечно-сосудистым заболеваниям. Это поможет выявить митральную недостаточность на ранних стадиях и начать лечение вовремя.

СОВЕТ №2

Обратите внимание на симптомы, такие как одышка, усталость или учащенное сердцебиение. Если вы заметили их у себя, не откладывайте визит к врачу, так как это может быть признаком ухудшения состояния сердца.

СОВЕТ №3

Следите за своим образом жизни: придерживайтесь сбалансированной диеты, занимайтесь физической активностью и избегайте стрессов. Здоровый образ жизни может значительно улучшить состояние сердца и замедлить прогрессирование митральной недостаточности.

СОВЕТ №4

Обсуждайте с врачом все доступные варианты лечения, включая медикаментозную терапию и хирургические вмешательства. Понимание своего состояния и активное участие в процессе лечения помогут вам лучше справляться с заболеванием.

Ссылка на основную публикацию
Похожее