Причины кардиомегалии
Увеличение объема и массы сердечной мышцы не всегда связано с заболеваниями. Например, у профессиональных спортсменов это явление является нормальным следствием общего роста мышечной массы. В таком случае увеличенное сердце свидетельствует о высокой физической подготовленности и выносливости, а также о способности эффективно обеспечивать кровоснабжение органов и мышц во время интенсивных нагрузок. Чем больше мышечная масса, тем больше крови необходимо доставлять к мышцам, что требует от сердца более интенсивной работы по сравнению с сердцем людей, не занимающихся спортом.
Аналогично можно рассмотреть сердце людей с гипертеническим типом телосложения, у которых размеры и масса тела значительно превышают средние показатели. Важно отметить, что речь идет о наличии хорошо развитой мускулатуры.
Кроме физиологических факторов, способствующих увеличению размеров сердца, кардиомегалия может развиваться под воздействием различных заболеваний. К числу таких заболеваний относятся:
Кардиомегалия, или увеличение сердца, формируется в результате различных заболеваний, таких как гипертония, ишемическая болезнь или пороки сердца. Врачи отмечают, что симптомы могут варьироваться от одышки и усталости до болей в груди. Важно помнить, что у детей кардиомегалия может проявляться иначе: они могут испытывать задержку в развитии или частые инфекции дыхательных путей. Диагностика включает в себя рентгенографию, эхокардиографию и МРТ, что позволяет точно оценить размеры и функции сердца. Лечение зависит от причины заболевания и может включать медикаментозную терапию, изменение образа жизни или хирургическое вмешательство. Врачи подчеркивают важность раннего выявления и комплексного подхода к лечению для предотвращения серьезных осложнений.

1) Болезни сердечно-сосудистой системы
Чаще всего кардиомегалия возникает из-за пороков клапанов сердца и гипертонической болезни. Гипертрофия миокарда развивается, когда сердцу необходимо прикладывать больше усилий для продвижения крови. Это происходит при нарушениях гемодинамики, например, при клапанных заболеваниях, или при высоком сопротивлении сосудистой стенки, как в случае гипертонии. Увеличение силы сердечных сокращений приводит к наращиванию мышечных волокон, что и вызывает гипертрофию миокарда. В конечном итоге, прогрессирующее увеличение сердечной мышцы затрагивает все камеры сердца, что приводит к кардиомегалии.
Кроме указанных заболеваний, кардиомегалия может развиваться из-за вирусных миокардитов — воспалительных процессов в сердечной мышце — и кардиомиопатий (КМП). КМП могут быть алиментарно-токсическими, возникающими под воздействием алкоголя у людей, регулярно его употребляющих, или дисгормональными, связанными с патологическим влиянием некоторых гормонов на сердечную функцию, таких как гормоны щитовидной железы или надпочечников.
Опухоли сердца, такие как рабдомиомы и миксомы, также приводят к увеличению массы сердца и изменению его формы.
Тем не менее, кардиосклероз, например, после перенесенного инфаркта миокарда, даже в случае крупноочагового, редко вызывает кардиомегалию. Это связано с тем, что при кардиосклерозе значительная часть нормальной сердечной мышцы заменяется рубцовой тканью, и компенсаторная гипертрофия миокарда непораженных участков не приводит к общему увеличению размеров и массы сердца.
| Аспект Кардиомегалии | Описание | Особенности у детей |
|---|---|---|
| Формирование (Этиология) | Врожденные пороки сердца, приобретенные заболевания сердца (ишемическая болезнь сердца, гипертензия, кардиомиопатии, заболевания клапанов сердца, инфекционный эндокардит), миокардиты, перикардиты, тяжелые системные заболевания (например, тиреотоксикоз), перегрузка объемом (например, при клапанных пороках), перегрузка давлением (например, при гипертензии). | Часто связана с врожденными пороками сердца, инфекциями, генетическими нарушениями. Симптомы могут быть неспецифичными и проявляться позже, чем у взрослых. |
| Симптомы | Одышка, утомляемость, боли в груди, отеки ног, кашель, тахикардия, головокружение, обмороки. Симптомы могут быть слабо выраженными или отсутствовать на ранних стадиях. | Плохой аппетит, отставание в развитии, частые респираторные инфекции, бледность кожи, цианоз. |
| Диагностика | Электрокардиография (ЭКГ), эхокардиография (ЭхоКГ) – основной метод, рентгенография грудной клетки, магнитно-резонансная томография (МРТ) сердца, коронарная ангиография (при подозрении на ишемическую болезнь сердца), кровь на биохимические показатели (маркеры сердечной недостаточности). | ЭхоКГ – основной метод, необходимо учитывать возрастные особенности при интерпретации результатов. |
| Лечение | Лечение основного заболевания, лекарственная терапия (диуретики, ингибиторы АПФ, бета-блокаторы, гликозиды), хирургическое вмешательство (при необходимости коррекции врожденных пороков, замены клапанов, шунтирования). | Лечение зависит от причины кардиомегалии и возраста ребенка. Может потребоваться хирургическое вмешательство. |
2) Прочие заболевания
Помимо сердечных заболеваний, кардиомегалия может быть вызвана и другими серьезными недугами.
Например, сахарный диабет часто приводит к нарушениям обмена жиров и белков, что негативно сказывается на состоянии сердца и коронарных артерий. Накопление избыточного холестерина на стенках коронарных сосудов связано с токсическим воздействием повышенного уровня глюкозы на эндотелий — внутреннюю оболочку сосудов. Это может привести к ишемической болезни сердца, которая, в свою очередь, вызывает гипертрофию миокарда и кардиомегалию.
Анемия, выраженное истощение, голодание, соблюдение строгих и потенциально опасных диет, а также значительное ожирение могут привести к кардиомиодистрофии. Это состояние нарушает функционирование сердечных мышечных клеток, что вызывает компенсаторное увеличение отдельных отделов сердца и всего органа.
Кардиомегалия — это увеличение сердца, которое может быть вызвано различными факторами, включая гипертонию, сердечные заболевания и генетические предрасположенности. Симптомы могут варьироваться от одышки и усталости до болей в груди и отеков. Важно отметить, что у детей кардиомегалия может проявляться иначе, часто сопровождаясь задержкой в развитии или проблемами с физической активностью. Диагностика включает в себя рентгенографию, эхокардиографию и электрокардиограмму, что позволяет оценить размеры сердца и его функции. Лечение зависит от причины заболевания и может включать медикаментозную терапию, изменение образа жизни или хирургическое вмешательство. Раннее выявление и адекватное лечение играют ключевую роль в улучшении прогноза для пациентов.

Симптомы “бычьего сердца”
Если кардиомегалия связана с профессиональной деятельностью в спорте или индивидуальными особенностями организма, у человека не должно быть сердечных симптомов.
Однако при наличии заболеваний других органов могут проявляться клинические симптомы, которые не являются строго специфичными и зависят от основной патологии. Если у пациента развиваются сердечные заболевания, такие как хроническая сердечная недостаточность, он может испытывать повышенную утомляемость, одышку при физической активности, периодические боли в груди и другие проявления.
Также могут наблюдаться отеки голеней и стоп, перебои в сердечном ритме, постоянная слабость и снижение выносливости при физической нагрузке. При возникновении таких жалоб пациенту следует незамедлительно обратиться к врачу, особенно если у него уже есть хронические заболевания.
Кардиомегалия у плода и детей
Увеличение сердца, наблюдаемое в период внутриутробного развития, является серьезным врожденным заболеванием. Кардиомегалия у плода может возникнуть под воздействием негативных факторов на беременную женщину в момент формирования сердечно-сосудистой системы, которая начинает развиваться очень рано — с 2 по 8 недели беременности. Уже на 17-й день начинается формирование кардиогенной пластинки, а к началу третьего месяца у эмбриона образуется четырехкамерное сердце.
Негативные факторы, влияющие на сердечно-сосудистую систему будущего ребенка:
- Ионизирующее излучение, включая рентгеновские лучи и радиацию,
- Вирусные инфекции у матери, особенно краснуха, тяжелые формы гриппа, цитомегаловирусная инфекция, герпес и другие,
- Употребление табака, алкоголя и наркотиков,
- Прием некоторых медикаментов, таких как противосудорожные средства и барбитураты,
- Строгое соблюдение диеты, голодание, истощение, серьезные авитаминозы.
Также важна наследственность, особенно по материнской линии.
В результате указанных факторов у плода могут развиться пороки сердца, такие как аномалия Эбштейна, которая чаще всего приводит к умеренной кардиомегалии. Обычно кардиомегалия у плода сопровождается другими аномалиями развития и врожденными хромосомными нарушениями, например, синдромом Дауна. В редких случаях причины кардиомегалии остаются неизвестными, и такой тип заболевания называется идиопатической кардиомегалией.
Симптомы этого врожденного заболевания достаточно характерны: у новорожденного сразу после рождения могут наблюдаться цианоз лица или всего тела, одышка при плаче и сосании, а также выраженная тахикардия. Для подтверждения диагноза у новорожденных применяются рентгенография грудной клетки и УЗИ сердца.
Прогноз для новорожденных с врожденной кардиомегалией остается неопределенным: выживают лишь 45% детей, 30% погибают, а оставшиеся имеют серьезные нарушения сердечной деятельности, но могут продолжать жить.
Если удается установить причину, например, врожденный порок сердца, вызвавший кардиомегалию, врачам проще действовать, чем в случае идиопатической формы, когда причина остается неясной. Современное оборудование в некоторых перинатальных центрах и центрах сердечно-сосудистой хирургии позволяет проводить операции на новорожденных в первые дни после рождения, что дает шанс на здоровую жизнь.
Кардиомегалия у детей раннего, дошкольного и школьного возраста может развиться в результате некорригированных врожденных или приобретенных пороков сердца. Основные симптомы включают:
- Усталость и повышенную утомляемость,
- Плохой аппетит,
- Проблемы со сном,
- Низкие результаты в учебе,
- Неврологические расстройства,
- Эмоциональную нестабильность.
Диагностика и лечение приобретенной кардиомегалии в основном аналогичны тем, что применяются у взрослых.

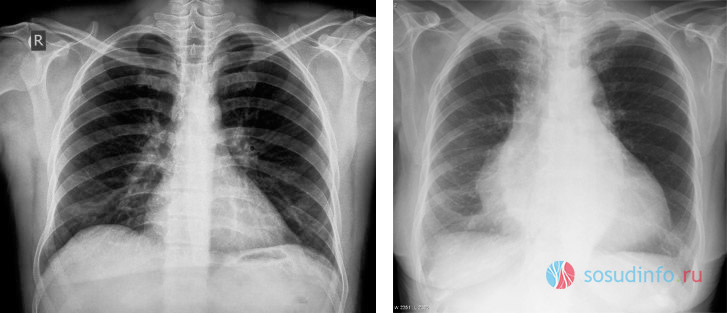
Диагностика кардиомегалии
Когда диагноз кардиомегалии считается обоснованным и какие методы могут его подтвердить? Наивысшую диагностическую ценность имеет эхокардиоскопия (УЗИ сердца).
Нормальные размеры сердца по УЗИ:
- КДО – конечный диастолический объем – 110-145 мл,
- КСО – конечный систолический объем – 45-75 мл,
- ФВ – фракция выброса – 55-65%,
- УО – ударный объем – 60-80 мл.
При кардиомегалии указанные объемные параметры увеличиваются. Также измеряются размеры полостей сердца и толщина гипертрофированных стенок предсердий и желудочков. Фракция выброса может значительно снижаться у пациентов с хронической сердечной недостаточностью или дилатационной кардиомиопатией. Визуально оцениваются форма сердца и функционирование клапанного аппарата.
В дополнение к эхокардиоскопии применяются рентгенография органов грудной клетки, электрокардиограмма, МРТ сердца и пункционная биопсия сердечных тканей (в случае подозрения на опухоль сердца, что происходит крайне редко).
УЗИ сердца по-прежнему считается «золотым стандартом» в диагностике сердечно-сосудистых заболеваний, особенно у новорожденных и детей первого года жизни. Это исследование обязательно следует проводить спортсменам и людям с гиперстеническим типом телосложения для исключения серьезных кардиологических заболеваний.
Видео: кардиомегалия, дилатационная кардиомиопатия на ЭхоКГ
Лечение кардиомегалии
Когда речь идет о лечении “бычьего сердца” у новорожденных и детей раннего возраста без врожденных пороков, основным методом терапии становится медикаментозное лечение. Назначается каптоприл в дозировке 1.8 мг на килограмм массы тела, принимаемый 3-4 раза в день. Этот препарат, ингибитор ангиотензин-превращающего фермента (АПФ), защищает сердечные ткани. Если при применении каптоприла наблюдается снижение конечного диастолического объема (КДО) и конечного систолического объема (КСО) по данным ультразвукового исследования, это свидетельствует о начале выздоровления. Восстановление нормальной сердечной функции происходит постепенно, обычно в течение двух-трех лет.
Если у ребенка выявлен врожденный порок сердца, требуется хирургическое вмешательство, сроки которого определяет врач (детский кардиохирург) на основании осмотра.
У взрослых лечение направлено на устранение основного заболевания, приведшего к увеличению сердца. При наличии пороков сердца также рекомендуется операция. При хронической сердечной недостаточности назначаются диуретики, такие как индапамид в дозировке 1.5 мг утром и верошпирон в дозировке 25-50 мг также утром. При гипертонии используются гипотензивные препараты, например, периндоприл по 5 мг один раз в день или эналаприл по 5 мг дважды в день. Если имеются гормональные нарушения, необходима коррекция гормонального фона под контролем эндокринолога.
В особо тяжелых случаях, когда качество жизни пациента значительно ухудшается и он испытывает трудности с выполнением минимальных бытовых задач, может быть проведена операция по пересадке сердца. Такие операции осуществляются как в России, так и за границей.
Прогноз при увеличенном сердце
Прогностическая ценность кардиомегалии зависит от особенностей, стадии и продолжительности основного заболевания. Например, хроническая сердечная недостаточность, вызванная дилатационной кардиомиопатией, может быстро прогрессировать до тяжелых форм всего за два-три года. Смертность среди таких пациентов выше, чем у людей с прооперированным сердечным пороком, у которых нет сердечной недостаточности. Прогноз можно установить только на основе наблюдений лечащего врача за состоянием пациента, при этом важную роль играют результаты эхокардиографии.
Вопрос-ответ
Каковы признаки кардиомегалии?
Симптомы кардиомегалии: болевые ощущения и дискомфорт в области сердца, одышка, утомляемость, отеки конечностей.
Как лечат кардиомегалию?
Лечение кардиомегалии. Если же кардиомегалия вызвана повреждением сердечных клапанов, врач-кардиохирург проводит их восстановление хирургическим путем. В тех ситуациях, когда причина патологии – наркотики или алкоголь, состояние пациента улучшится, только если он откажется от вредной привычки.
- Как долго человек может жить с увеличенным сердцем? После появления симптомов увеличенное сердце обычно имеет нисходящий ход. По оценкам, около половины пациентов с симптоматической сердечной недостаточностью живут всего 5-10 лет.
Какова продолжительность жизни человека с кардиомегалией?
Не существует однозначного ответа на вопрос о том, как долго можно жить с увеличенным сердцем. Увеличенное сердце может быть признаком серьёзного заболевания, которое может даже представлять угрозу для жизни, если его не лечить. Однако при правильном уходе и изменении образа жизни люди с увеличенным сердцем могут вести здоровую и полноценную жизнь.
Советы
СОВЕТ №1
Регулярно проходите медицинские обследования, особенно если у вас есть предрасположенность к сердечно-сосудистым заболеваниям. Это поможет выявить кардиомегалию на ранних стадиях и начать лечение вовремя.
СОВЕТ №2
Обратите внимание на симптомы, такие как одышка, усталость и отеки. Если вы заметили их у себя или у ребенка, не откладывайте визит к врачу для диагностики и консультации.
СОВЕТ №3
Следите за своим образом жизни: сбалансированное питание, регулярные физические нагрузки и отказ от вредных привычек могут значительно снизить риск развития кардиомегалии и других сердечно-сосудистых заболеваний.
СОВЕТ №4
Если у вас уже диагностирована кардиомегалия, строго следуйте рекомендациям врача и не пренебрегайте назначенным лечением. Это поможет контролировать состояние и предотвратить осложнения.





