Что происходит на «кладбище» нейронов?
Существует мнение, что нервные клетки не восстанавливаются или делают это очень медленно, поэтому их следует беречь. Однако такие утверждения часто лишены глубокого смысла, так как в большинстве случаев подразумевается необходимость избегать стрессов. Важно понимать, что:
- Нейроны — основные структурные единицы нервной ткани, отвечающие за генерацию и передачу сигналов.
- Эпендима — клетки, формирующие выстилку желудочков головного мозга и центрального канала спинного мозга.
- Нейроглия — вспомогательные клетки, поддерживающие обменные процессы и образующие рубцовую ткань после гибели нейронов.
Что происходит в случае массовой гибели нейронов? Глиальные клетки, представляющие собой нейроглию, начинают занимать место погибших нервных клеток. Нейроглия, или просто глия, состоит из различных клеток, производных глиобластов, таких как эпендимоциты, клетки Шванна и астроциты. Глия располагается между нейронами и активно взаимодействует с ними, помогая передавать информацию от места возбуждения к тканям организма. Таким образом, глиальные клетки играют важную роль в центральной нервной системе. Они составляют до 40% от всей массы, находящейся в черепе, создавая оптимальные условия для функционирования ЦНС и поддерживая биохимические реакции, необходимые для метаболизма. Кроме того, глия берет на себя функции нервных клеток в критических ситуациях.
Глиоз часто сравнивают с процессом заживления ран на коже, однако в контексте головного мозга это можно представить иначе. Нейроны погибают, а на их месте появляются живые, но отличающиеся по своей природе клетки, которые, несмотря на все усилия, не могут полностью заменить функции нейронов.
Тем не менее, новые клетки, подобно «шраму», насыщенному «преемниками», в начале пытаются выполнять важные функции нервной ткани:
- Поддерживают обменные процессы в мозге.
- Принимают и передают сигналы вместо нейронов, насколько это возможно.
- Участвуют в образовании новых нервных волокон и защищают здоровые ткани.
Однако, несмотря на все старания нейроглии стать полноценными нейронами, это невозможно, так как они представляют собой совершенно другие структуры. Более того, размножаясь и увеличиваясь в количестве, новые «хозяева» запускают процесс, известный как глиоз.
Таким образом, глиоз головного мозга является следствием гибели нейронов и восстановительных процессов, происходящих после воздействия различных повреждающих факторов. Суть глиоза заключается в замещении погибших нейронов другими клетками, которые формируют своеобразный рубец (процесс необратимый), насыщенный глиальными элементами. Новые клетки, заменившие нейроны, изолируют очаги глиоза и тем самым защищают оставшиеся здоровые ткани.
Врачи отмечают, что глиоз головного мозга представляет собой реакцию на повреждение нервной ткани, что может быть вызвано различными факторами, такими как травмы, инсульты, инфекции или хронические заболевания. Признаки глиоза могут варьироваться в зависимости от локализации и степени поражения, включая головные боли, нарушения памяти, изменения в поведении и моторные расстройства. Для диагностики заболевания используются методы нейровизуализации, такие как МРТ, которые позволяют выявить участки глиоза. Лечение, как правило, направлено на устранение первопричины и может включать медикаментозную терапию, реабилитацию и в некоторых случаях хирургическое вмешательство. Врачи подчеркивают важность ранней диагностики и комплексного подхода к лечению для улучшения качества жизни пациентов.

Причины повреждения нежной ткани
Причины разрушения нервной ткани, приводящие к избыточному размножению глиальных клеток и образованию рубцов, могут быть разнообразными:
- Наследственные заболевания, такие как болезнь Тея-Сакса. Это лизосомная болезнь накопления с аутосомно-рецессивным типом наследования, которая вызывает массовую гибель нейронов и проявляется у детей в возрасте около полугода, часто заканчиваясь их жизнью до 5 лет.
- Туберозный склероз — редкое генетическое заболевание, характеризующееся множественными поражениями органов и систем с образованием доброкачественных опухолей.
- Рассеянный склероз — процесс, при котором возникают очаги демиелинизации из-за разрушения миелина в различных участках головного и спинного мозга.
- Хроническое нарушение мозгового кровообращения (ХНМК) и последствия острых инсультов (ОНМК), такие как инфаркт мозга или кровоизлияние, считаются основными факторами, способствующими развитию глиоза сосудистого генеза.
- Черепно-мозговые травмы и их последствия.
- Отек мозга.
- Эпилепсия.
- Травмы, полученные при родах (у новорожденных).
- Артериальная гипертензия и энцефалопатия, вызванная стойким повышением артериального давления.
- Гипоксемия (пониженное содержание кислорода в организме) и гиперкапния (увеличение уровня углекислого газа в крови), которые приводят к кислородному голоданию тканей.
- Низкий уровень сахара в крови (гипогликемия), вызывающий гибель нейронов из-за недостатка энергии, необходимой для их функционирования, в частности, аденозинтрифосфата (АТФ), образующегося при окислении органических соединений, прежде всего глюкозы.
- Инфекционно-воспалительные заболевания, такие как нейроинфекции, например, энцефалит.
- Хирургические операции, проведенные в связи с патологиями краниоспинальной системы.
- Чрезмерное употребление продуктов с высоким содержанием животных жиров, так как многие исследователи утверждают, что жирная пища может способствовать гибели нейронов.
Также стоит упомянуть о значительных факторах, таких как алкоголь и наркотики, которые могут способствовать развитию сосудистого глиоза. Спиртосодержащие напитки, по мнению медиков и любителей, в умеренных количествах могут расширять кровеносные сосуды, улучшать мозговой кровоток и нормализовать обменные процессы в мозге (особенно это касается коньяка и качественного красного вина). Однако при чрезмерном употреблении они наносят вред нейронам и разрушают нервные ткани. Употребление наркотиков (даже в медицинских целях) может вызывать атрофические изменения и приводить к воспалительным и некротическим процессам, что в конечном итоге приводит к сосудистому глиозу головного мозга.
| Причина глиоза головного мозга | Признаки глиоза головного мозга | Методы диагностики глиоза головного мозга |
|---|---|---|
| Травмы головы (ЧМТ) | Неврологические дефициты (слабость, парез, паралич, нарушение чувствительности), головная боль, эпилептические припадки, когнитивные нарушения (снижение памяти, внимания, концентрации), изменения личности | Неврологический осмотр, МРТ головного мозга, КТ головного мозга, ЭЭГ |
| Инсульт (ишемический или геморрагический) | Фокальные неврологические дефициты, соответствующие пораженной области мозга, головная боль, нарушение речи, зрения, координации движений | Неврологический осмотр, МРТ головного мозга, КТ головного мозга, ангиография |
| Инфекционные заболевания головного мозга (менингит, энцефалит) | Лихорадка, головная боль, рвота, ригидность затылочных мышц, судороги, спутанность сознания, кома | Неврологический осмотр, анализ крови и спинномозговой жидкости, МРТ головного мозга, КТ головного мозга |
| Воспалительные заболевания головного мозга ( рассеянный склероз) | Разнообразные неврологические симптомы, зависящие от локализации поражения, парезы, нарушения чувствительности, зрения, координации, нарушения речи и глотания | Неврологический осмотр, МРТ головного мозга с контрастом, анализ спинномозговой жидкости, исследование зрительных вызванных потенциалов |
| Демиелинизирующие заболевания | Нарушение проводимости нервных импульсов, слабость, парезы, нарушение чувствительности, нарушение зрения, атаксия | Неврологический осмотр, МРТ головного мозга, исследование спинномозговой жидкости, исследование зрительных вызванных потенциалов |
| Врожденные аномалии развития головного мозга | Неврологические дефициты, зависящие от характера аномалии, задержка психомоторного развития | Неврологический осмотр, МРТ головного мозга, КТ головного мозга |
| Опухоли головного мозга | Фокальные неврологические дефициты, головная боль, судороги, изменения личности, повышение внутричерепного давления | Неврологический осмотр, МРТ головного мозга с контрастом, КТ головного мозга, биопсия |
| Токсическое воздействие | Разнообразные неврологические симптомы, зависящие от токсина и степени воздействия | Неврологический осмотр, анализ крови и мочи, МРТ головного мозга |
Места образования «шрамов» и виды глиоза
На месте некротического процесса, который приводит к разрушению нервных волокон, освобождаются пространства для размножения клеток нейроглии, формирующих очаги глиоза.
В зависимости от морфологических характеристик, особенностей и местоположения различают несколько типов глиоза головного мозга:
- Форма – поражение проявляется в виде волокон.
- Вариант – отдельные островки возникают на внутренней оболочке желудочков.
- Глиоз – отличается четкой локализацией (в подоболочечной области).
- Вид – противоположен маргинальному глиозу; островки располагаются произвольно (хаотично).
- Глиоз – волокна распределяются относительно равномерно (в правильной последовательности).
- Тип – наиболее распространенный вариант глиозного разрастания. Размножение глиальных клеток происходит вдоль сосудов (сосудистый глиоз), пораженных атеросклерозом. Этот тип имеет специфический вариант – глиоз.
- Поражение – ограниченные участки (очаги глиоза), возникающие в результате инфекционно-воспалительных процессов.
- Глиоз – участки, занятые глиальными клетками, располагаются на поверхности головного мозга.
- Форма – проявляется множественным глиозным поражением тканей головного и спинного мозга.
Островки патологического разрастания глиальных клеток, образовавшиеся на месте гибели нейронов, могут быть ограниченными (не более трех очагов) или распространяться, как глиозное поражение мозга. Например, единичные очаги глиоза могут наблюдаться после родовой травмы или как естественный процесс, характерный для старения. Эти участки могут оставаться единичными, что делает их в большинстве случаев незаметными без специального оборудования.
Глиоз головного мозга — это процесс замещения нейронов глиальными клетками, который может возникать по различным причинам, включая травмы, инсульты и воспалительные заболевания. Люди, столкнувшиеся с этой проблемой, часто отмечают разнообразные симптомы, такие как головные боли, нарушения памяти и координации. Диагностика глиоза обычно включает МРТ, которое позволяет визуализировать изменения в мозговой ткани. Лечение зависит от причины и степени глиоза: в некоторых случаях достаточно наблюдения, в других — требуется медикаментозная терапия или даже хирургическое вмешательство. Важно помнить, что ранняя диагностика и адекватное лечение могут значительно улучшить качество жизни пациентов.

Поражение сосудов и разрастание нейроглии
Инсульты могут быть острыми (ишемическими и геморрагическими) или хроническими, например, из-за сдавления сосудов, атеросклероза или атрофических изменений в нервной ткани. В этом контексте возникает глиоз сосудистого генеза, который усиливает и дополняет существующие клинические проявления, такие как нарушения внимания, головокружение, головные боли и колебания артериального давления. Термин «глиоз сосудистого генеза» указывает на конкретные причины патологических изменений — острые нарушения мозгового кровообращения (ОНМК), такие как инсульты, или хронические нарушения мозгового кровообращения (ХНМК), каждая из которых имеет свои факторы развития.
Глиоз сосудистого генеза представляет собой специфическую форму периваскулярного разрастания нейроглии вокруг сосудов, пораженных атеросклерозом. Для этой формы характерно расположение пораженных участков под палаткой мозжечка — отростком твердой мозговой оболочки, который проходит между затылочной долей и мозжечком. Такая локализация и окружающая среда (несжимаемые пространства, заполненные цереброспинальной жидкостью) делают затылочную долю особенно уязвимой не только при черепно-мозговых травмах и родовых повреждениях, но и в контексте развития сосудистого глиоза.
Симптомы и последствия
Единичные очаги глиоза могут не проявлять симптомов и быть выявлены случайно, например, при МРТ или ангиографии. Однако по мере прогрессирования процесса (размножение глиальных клеток, формирование новых участков и атрофические изменения в мозговой ткани) начинают проявляться клинические признаки заболевания.
Обратите внимание на следующие симптомы, указывающие на возможные проблемы со здоровьем:
- Постоянные интенсивные головные боли, плохо поддающиеся лечению спазмолитиками;
- Колебания артериального давления;
- Хроническое головокружение и снижение работоспособности;
- Проблемы со слухом и зрением;
- Нарушения памяти и концентрации;
- Проблемы с двигательными функциями.
Проявления болезни зависят от области мозга, где произошло глиозное поражение:
- При супратенториальном глиозе наиболее заметны нарушения зрения (выпадение полей зрения, трудности в распознавании предметов, искажение их размеров и форм, зрительные галлюцинации и др.);
- Частые и сильные головные боли характерны для глиозного поражения височных долей и сосудистого глиоза, который может вызывать резкие изменения артериального давления;
- Увеличение судорожной активности и эпилептические припадки наблюдаются при глиозном поражении белого вещества мозга. Головокружение и судороги часто являются следствием черепно-мозговых травм и операций;
- Глиозное замещение ткани лобных долей связано с возрастными изменениями, возникающими в процессе старения. В этом случае глиоз мозга можно считать первичной патологией, если отсутствуют другие заболевания, способные вызвать увеличение клеток глии. Размножение структурных единиц нейроглии на месте погибших нейронов объясняет ухудшение памяти, нечеткость движений и замедление реакций у пожилых людей.
Тем не менее, замечая тревожные симптомы, не стоит думать, что процесс останется на одном уровне и без лечения не будет прогрессировать. Например, на первый взгляд безобидное состояние, связанное с сосудистым глиозом, может привести к серьезным последствиям: нарушениям в органах и тканях из-за проблем с кровообращением, утрате речи, развитию параличей, когнитивным расстройствам и деменции. При глиозе возможен летальный исход, хотя это происходит крайне редко, если заболевание не имеет генетической природы.

Прежде чем перейти к лечению
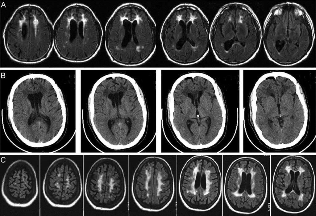
Перед началом лечения глиоза важно провести тщательное обследование пациента, особенно головного мозга. Для этого применяются современные диагностические методы, такие как МРТ, КТ и ангиография. Наиболее предпочтительным вариантом является магнитно-резонансная томография, так как она предоставляет полную информацию о количестве очагов глиоза, их размерах, расположении, степени поражения и состоянии соседних структур без необходимости в дополнительных исследованиях.
Кроме того, в процессе диагностики может быть выявлена причина патологических изменений. Это открывает возможности для замедления прогрессирования заболевания. Хотя необратимые изменения, возникающие в результате гибели нейронов и их замещения глиальными клетками, не позволяют полностью излечить эту патологию, отказываться от попыток помочь пациенту недопустимо. Если лечение, направленное на устранение первопричины (основного заболевания), окажется достаточно эффективным, дальнейшее развитие глиозного замещения, скорее всего, удастся остановить.
Создать препятствия для прогрессирования
Основная задача лечения — замедлить прогрессирование заболевания. Это достигается за счет сохранения функционирования оставшихся нейронов, обеспечения адекватного питания мозговых тканей, устранения гипоксии и поддержания нормального уровня метаболических процессов.
Лечение глиоза головного мозга представляет собой комплексный подход, включающий различные группы медикаментов:
- Средства, активизирующие обмен веществ в клетках мозга и улучшающие питание тканей (актовегин, винпоцетин, кавинтон, циннаризин);
- Препараты, предотвращающие агрегацию тромбоцитов (тромбо АСС и другие препараты с аспирином) и укрепляющие стенки артерий (аскорутин, витаминные комплексы);
- Ноотропные средства, повышающие устойчивость центральной нервной системы к негативным воздействиям (пирацетам, фезам, ноотропил);
- Гиполипидемические препараты (статины и фибраты), замедляющие развитие атеросклероза (аторвастатин, розувастатин, фенофибрат);
- Обезболивающие средства, помогающие справиться с головной болью.
Радикальное нейрохирургическое вмешательство применяется крайне редко, например, в случаях, когда крупный очаг глиоза вызывает повышенную судорожную готовность мозга (определенные формы эпилепсии). Множественные участки глиозного разрастания не поддаются хирургическому лечению, поэтому пациентам остается полагаться на консервативную терапию на протяжении всей жизни.
Несколько слов о предупреждении глиоза
Тем, кто слышал о глиозе мозга и беспокоится о его возможном развитии, стоит обратить внимание на профилактические меры. Важно своевременно лечить вирусные и бактериальные инфекции, чтобы предотвратить их распространение на головной мозг. Также следует учитывать негативное влияние атеросклероза и его роль среди других заболеваний. Атеросклероз способствует глиозному замещению нейронов и образованию глиоза сосудистого генеза.
Таким образом, необходимо исключить факторы, способствующие изменению сосудистых стенок и образованию атеросклеротических бляшек. Это включает отказ от вредных привычек (алкоголь, наркотики, курение), соблюдение диеты с минимальным содержанием животных жиров, регулярные физические нагрузки, активный отдых на свежем воздухе, полноценный сон, укрепление иммунной системы и философский подход к стрессовым ситуациям.
Перейти в раздел:
- Заболевания мозга и сосудов головы, цереброваскулярная диагностика, анатомия, фармакология
Рекомендации для читателей СосудИнфо предоставляют квалифицированные специалисты с высшим медицинским образованием и опытом работы в данной области.
Вопрос-ответ
От чего появляется глиоз головного мозга?
Глиозные очаги. Причины: перенесённые инсульты (микро- или крупные), травмы, воспаления, нейроинфекции, токсические влияния (алкоголь, наркотики), рассеянный склероз и другие. МРТ-характеристика: на T2-взвешенных (и FLAIR) изображениях глиоз проявляется как гиперинтенсивные (более «светлые») зоны.
Как лечить глиозную зону в головном мозге?
Лечение. Стероидные препараты могут помочь замедлить рост глиозных очагов или уменьшить их размер. Антикоагулянты (препараты, разжижающие кровь) могут помочь замедлить распространение некроза. Нейрохирург может удалить некротизирующие клетки во время операции на головном мозге.
Как определить глиоз?
Глиоз можно определить с помощью нейровизуализационных методов, таких как магнитно-резонансная томография (МРТ) или компьютерная томография (КТ), которые позволяют выявить изменения в мозговой ткани, характерные для этого состояния. Также важны клинические данные, включая симптомы и историю болезни пациента, а в некоторых случаях может потребоваться биопсия для подтверждения диагноза.
Чем опасен глиоз мозга?
Иногда даже небольшой очаг глиоза, но располагающийся в височной доле, может «заявлять о себе», вызывая появление эпилептических приступов. Или участок глиоза может привести к нарушению передачи импульсов от головного мозга к спинному, вызвав паралич одной конечности.
Советы
СОВЕТ №1
Регулярно проходите медицинские обследования, особенно если у вас есть предрасположенность к заболеваниям нервной системы. Это поможет выявить возможные проблемы на ранней стадии и начать лечение вовремя.
СОВЕТ №2
Обратите внимание на свое питание и образ жизни. Здоровая диета, физическая активность и отказ от вредных привычек могут значительно снизить риск развития заболеваний, связанных с глиозом.
СОВЕТ №3
Если вы заметили изменения в своем состоянии, такие как ухудшение памяти, головные боли или изменения в поведении, не откладывайте визит к врачу. Ранняя диагностика может сыграть ключевую роль в успешном лечении.
СОВЕТ №4
Изучите информацию о глиозе и его последствиях. Понимание этого состояния поможет вам лучше общаться с врачами и принимать обоснованные решения о своем здоровье.







